Suppr超能文献

异戊烯半胱氨酸羧甲基转移酶是突变型 KRAS 影响 TAZ 蛋白水平和癌细胞自我更新所必需的。

Isoprenylcysteine carboxylmethyltransferase is required for the impact of mutant KRAS on TAZ protein level and cancer cell self-renewal.

机构信息

Program in Cancer and Stem Cell Biology, Duke-NUS Medical School, Singapore, 169857, Singapore.

Department of Biochemistry, National University of Singapore, Singapore, 117596, Singapore.

出版信息

Oncogene. 2020 Jul;39(31):5373-5389. doi: 10.1038/s41388-020-1364-7. Epub 2020 Jun 19.

Abstract

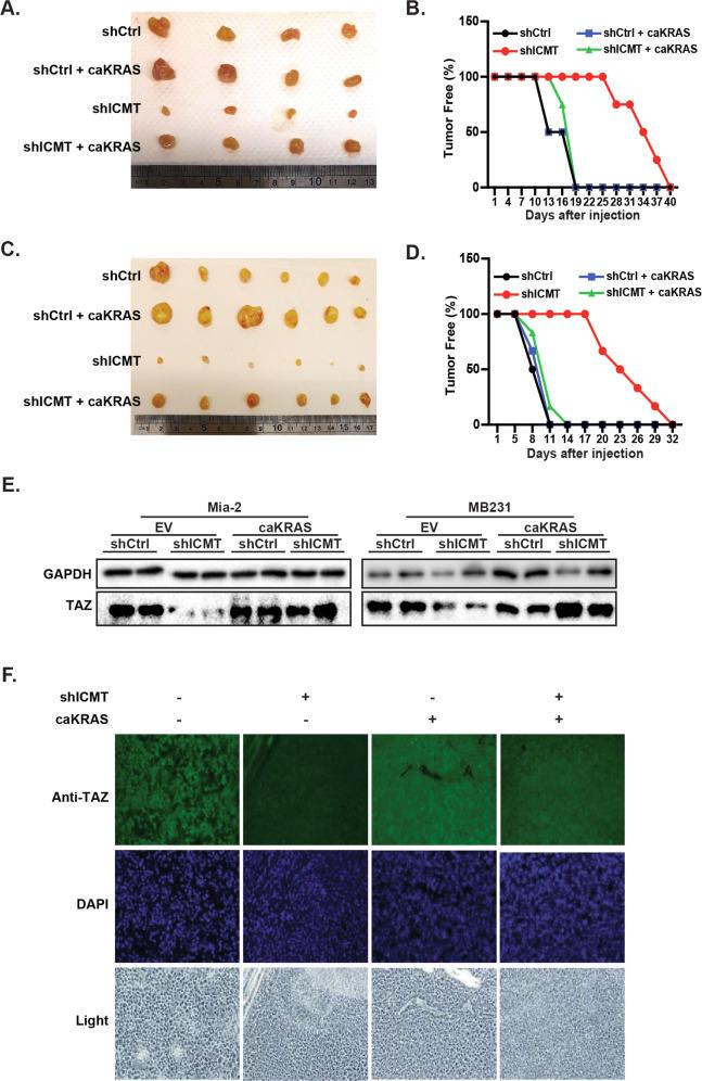
Cancer stem cells possess the capacity for self-renewal and resistance to chemotherapy. It is therefore crucial to understand the molecular regulators of stemness in the quest to develop effective cancer therapies. TAZ is a transcription activator that promotes stem cell functions in post-development mammalian cells; suppression of TAZ activity reduces or eliminates cancer stemness in select cancers. Isoprenylcysteine carboxylmethyltransferase (ICMT) is the unique enzyme of the last step of posttranslational prenylation processing pathway that modifies several oncogenic proteins, including RAS. We found that suppression of ICMT results in reduced self-renewal/stemness in KRAS-driven pancreatic and breast cancer cells. Silencing of ICMT led to significant reduction of TAZ protein levels and loss of self-renewal ability, which could be reversed by overexpressing mutant KRAS, demonstrating the functional impact of ICMT modification on the ability of KRAS to control TAZ stability and function. Contrary to expectation, YAP protein levels appear to be much less susceptible than TAZ to the regulation by ICMT and KRAS, and YAP is less consequential in regulating stemness characteristics in these cells. Further, we found that the ICMT-dependent KRAS regulation of TAZ was mediated through RAF, but not PI3K, signaling. Functionally, we demonstrate that a signaling cascade from ICMT modification of KRAS to TAZ protein stability supports cancer cell self-renewal abilities in both in vitro and in vivo settings. In addition, studies using the proof-of-concept small molecule inhibitors of ICMT confirmed its role in regulating TAZ and self-renewal, demonstrating the potential utility of targeting ICMT to control aggressive KRAS-driven cancers.

摘要

癌症干细胞具有自我更新和抵抗化疗的能力。因此,了解干性的分子调节因子对于开发有效的癌症疗法至关重要。TAZ 是一种转录激活因子,它促进哺乳动物细胞发育后的干细胞功能;抑制 TAZ 活性可降低或消除某些癌症中的癌症干细胞特性。异戊烯基半胱氨酸羧甲基转移酶(ICMT)是修饰包括 RAS 在内的几种致癌蛋白的翻译后 prenylation 加工途径的最后一步的独特酶。我们发现,抑制 ICMT 可降低 KRAS 驱动的胰腺和乳腺癌细胞的自我更新/干性。ICMT 的沉默导致 TAZ 蛋白水平显著降低和自我更新能力丧失,而过表达突变型 KRAS 可逆转这种情况,这表明 ICMT 修饰对 KRAS 控制 TAZ 稳定性和功能的能力具有功能影响。与预期相反,YAP 蛋白水平似乎比 TAZ 对 ICMT 和 KRAS 的调节要少得多,并且 YAP 在调节这些细胞中的干性特征方面的作用要小得多。此外,我们发现 ICMT 依赖性 KRAS 对 TAZ 的调节是通过 RAF 介导的,而不是通过 PI3K 信号转导。功能上,我们证明了 ICMT 修饰的 KRAS 到 TAZ 蛋白稳定性的信号级联反应支持了体外和体内环境中癌细胞的自我更新能力。此外,使用 ICMT 的概念验证小分子抑制剂的研究证实了其在调节 TAZ 和自我更新中的作用,这表明靶向 ICMT 以控制侵袭性 KRAS 驱动的癌症具有潜在的应用价值。

https://cdn.ncbi.nlm.nih.gov/pmc/blobs/b75a/7391290/d116da5991ce/41388_2020_1364_Fig1_HTML.jpg

文献检索

告别复杂PubMed语法,用中文像聊天一样搜索,搜遍4000万医学文献。AI智能推荐,让科研检索更轻松。

立即免费搜索

文件翻译

保留排版,准确专业,支持PDF/Word/PPT等文件格式,支持 12+语言互译。

免费翻译文档

深度研究

AI帮你快速写综述,25分钟生成高质量综述,智能提取关键信息,辅助科研写作。

立即免费体验