Suppr超能文献

在胆管癌流行地区被误诊为恶性肿瘤的孤立性IgG4相关性硬化性胆管炎:一例报告

Isolated IgG4-related sclerosing cholangitis misdiagnosed as malignancy in an area with endemic cholangiocarcinoma: a case report.

作者信息

Rungsakulkij Narongsak, Sornmayura Pattana, Tannaphai Penampai

机构信息

Department of Surgery, Ramathibodi Hospital, Mahidol University, Bangkok, 10400, Thailand.

Department of Pathology, Ramathibodi Hospital, Mahidol University, Bangkok, 10400, Thailand.

出版信息

BMC Surg. 2017 Feb 15;17(1):17. doi: 10.1186/s12893-017-0214-1.

Abstract

BACKGROUND

The most common cause of perihilar obstruction is cholangiocarcinoma, especially in Thailand. Benign perihilar stricture represents less than 20% of cases. IgG4-related disease and IgG4-related sclerosing cholangitis, however, have been receiving increased recognition. Isolated IgG4-related sclerosing cholangitis is less common. The preoperative diagnosis of IgG4-related sclerosing cholangitis without pancreatic involvement is very difficult because the clinical presentation and preoperative evaluation are extremely difficult to distinguish from perihilar cholangiocarcinoma.

CASE PRESENTATION

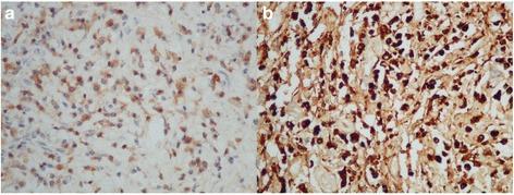
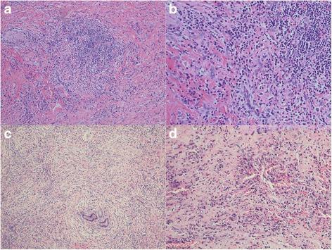
We report the case of a 56-year-old man who presented with obstructive jaundice with preoperative imaging showing proximal common bile duct obstruction. He underwent right lobe liver hepatectomy with extrahepatic bile duct resection and regional lymph node dissection due to high suspicion of malignancy. The pathological report showed severe acute and chronic inflammation of the bile duct with morphology and immunohistochemistry suggestive of IgG4-related sclerosing cholangitis.

CONCLUSIONS

IgG4-related sclerosing cholangitis with perihilar obstruction should be considered even in areas where cholangiocarcinoma is endemic.

摘要

背景

肝门部梗阻最常见的病因是胆管癌,在泰国尤其如此。良性肝门部狭窄病例占比不到20%。然而,IgG4相关疾病和IgG4相关硬化性胆管炎越来越受到关注。孤立性IgG4相关硬化性胆管炎较为少见。术前诊断无胰腺受累的IgG4相关硬化性胆管炎非常困难,因为其临床表现和术前评估极难与肝门部胆管癌相区分。

病例报告

我们报告一例56岁男性患者,因梗阻性黄疸就诊,术前影像学检查显示肝总管近端梗阻。因高度怀疑恶性肿瘤,患者接受了右半肝肝切除术、肝外胆管切除术及区域淋巴结清扫术。病理报告显示胆管存在严重的急慢性炎症,形态学及免疫组化结果提示为IgG4相关硬化性胆管炎。

结论

即使在胆管癌高发地区,对于伴有肝门部梗阻的情况,也应考虑IgG4相关硬化性胆管炎。

https://cdn.ncbi.nlm.nih.gov/pmc/blobs/9bac/5311850/4230c9c2422d/12893_2017_214_Fig1_HTML.jpg

文献检索

告别复杂PubMed语法,用中文像聊天一样搜索,搜遍4000万医学文献。AI智能推荐,让科研检索更轻松。

立即免费搜索

文件翻译

保留排版,准确专业,支持PDF/Word/PPT等文件格式,支持 12+语言互译。

免费翻译文档

深度研究

AI帮你快速写综述,25分钟生成高质量综述,智能提取关键信息,辅助科研写作。

立即免费体验