• 文献检索
  • 文档翻译
  • 深度研究
  • 学术资讯
  • Suppr Zotero 插件Zotero 插件
  • 邀请有礼
  • 套餐&价格
  • 历史记录
应用&插件
Suppr Zotero 插件Zotero 插件浏览器插件Mac 客户端Windows 客户端微信小程序
定价
高级版会员购买积分包购买API积分包
服务
文献检索文档翻译深度研究API 文档MCP 服务
关于我们
关于 Suppr公司介绍联系我们用户协议隐私条款
关注我们

Suppr 超能文献

核心技术专利:CN118964589B侵权必究
粤ICP备2023148730 号-1Suppr @ 2026

文献检索

告别复杂PubMed语法,用中文像聊天一样搜索,搜遍4000万医学文献。AI智能推荐,让科研检索更轻松。

立即免费搜索

文件翻译

保留排版,准确专业,支持PDF/Word/PPT等文件格式,支持 12+语言互译。

免费翻译文档

深度研究

AI帮你快速写综述,25分钟生成高质量综述,智能提取关键信息,辅助科研写作。

立即免费体验

氰基丙烯酸酯相关异物性肉芽肿性胃炎:三例报告

Cyanoacrylate Associated Foreign Body Granulomatous Gastritis: A Report of Three Cases.

作者信息

Guner Gunes, Kurtulan Olcay, Kav Taylan, Sokmensuer Cenk, Gedikoglu Gokhan, Akyol Aytekin

机构信息

Department of Pathology, Faculty of Medicine, Hacettepe University, Sıhhiye, 06100 Ankara, Turkey.

Gastroenterology Division, Department of Internal Medicine, Faculty of Medicine, Hacettepe University, Sıhhiye, 06100 Ankara, Turkey.

出版信息

Case Rep Pathol. 2017;2017:2753487. doi: 10.1155/2017/2753487. Epub 2017 Jan 19.

DOI:10.1155/2017/2753487
PMID:28203472
原文链接:https://pmc.ncbi.nlm.nih.gov/articles/PMC5288507/
Abstract

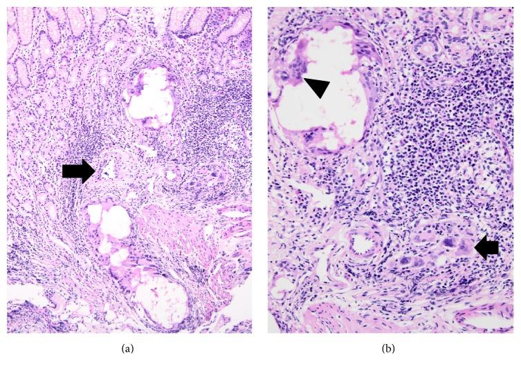
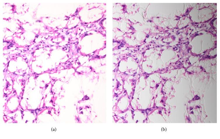
Granulomas are rarely seen in gastric biopsies mostly as an involvement of granulomatous diseases like sarcoidosis, Crohn's disease, infections, neoplasms, and vasculitis. Here, we claim cyanoacrylate as a foreign body type granuloma-causing agent in the stomach after vascular embolisation. We present cyanoacrylate associated gastric changes of three cases: two endoscopic biopsies and one gastric resection. In two cases, cyanoacrylate associated ulcers and granulomatous inflammation were observed in gastric mucosal biopsies following endoscopic examination after 7 months and 6 years of the glue injections, respectively. In the third case, the cyanoacrylate injection was performed 2 months prior to the surgery. Then the patient underwent distal pancreatectomy for pancreatic adenocarcinoma and during the operation a gastric mass was resected with a suspicion of tumoral infiltration. These three cases demonstrated that glue exposure causes active chronic inflammation with foreign body type granulomas, mucosal ulceration, and bleeding in the gastric mucosa. Even further, it can induce mass formation in the injection sites.

摘要

肉芽肿在胃活检中很少见,主要是由于结节病、克罗恩病、感染、肿瘤和血管炎等肉芽肿性疾病累及所致。在此,我们指出氰基丙烯酸酯是血管栓塞术后胃内引起异物型肉芽肿的一种介质。我们呈现3例与氰基丙烯酸酯相关的胃部改变:2例内镜活检和1例胃切除术。在2例中,分别于注射胶水7个月和6年后行内镜检查,在胃黏膜活检中观察到与氰基丙烯酸酯相关的溃疡和肉芽肿性炎症。在第3例中,在手术前2个月进行了氰基丙烯酸酯注射。随后患者因胰腺腺癌接受了远端胰腺切除术,术中切除了一个怀疑有肿瘤浸润的胃肿物。这3例病例表明,接触胶水会导致胃黏膜出现伴有异物型肉芽肿的活动性慢性炎症、黏膜溃疡和出血。甚至,它还可在注射部位诱发肿物形成。

https://cdn.ncbi.nlm.nih.gov/pmc/blobs/3d09/5288507/280839af315e/CRIPA2017-2753487.004.jpg
https://cdn.ncbi.nlm.nih.gov/pmc/blobs/3d09/5288507/415614532642/CRIPA2017-2753487.001.jpg
https://cdn.ncbi.nlm.nih.gov/pmc/blobs/3d09/5288507/94f307b0ef95/CRIPA2017-2753487.002.jpg
https://cdn.ncbi.nlm.nih.gov/pmc/blobs/3d09/5288507/fae4fe3d352f/CRIPA2017-2753487.003.jpg
https://cdn.ncbi.nlm.nih.gov/pmc/blobs/3d09/5288507/280839af315e/CRIPA2017-2753487.004.jpg
https://cdn.ncbi.nlm.nih.gov/pmc/blobs/3d09/5288507/415614532642/CRIPA2017-2753487.001.jpg
https://cdn.ncbi.nlm.nih.gov/pmc/blobs/3d09/5288507/94f307b0ef95/CRIPA2017-2753487.002.jpg
https://cdn.ncbi.nlm.nih.gov/pmc/blobs/3d09/5288507/fae4fe3d352f/CRIPA2017-2753487.003.jpg
https://cdn.ncbi.nlm.nih.gov/pmc/blobs/3d09/5288507/280839af315e/CRIPA2017-2753487.004.jpg

相似文献

1
Cyanoacrylate Associated Foreign Body Granulomatous Gastritis: A Report of Three Cases.氰基丙烯酸酯相关异物性肉芽肿性胃炎:三例报告
Case Rep Pathol. 2017;2017:2753487. doi: 10.1155/2017/2753487. Epub 2017 Jan 19.
2
Gastric adenocarcinoma associated with isolated granulomatous gastritis.伴有孤立性肉芽肿性胃炎的胃腺癌
Ann Surg Oncol. 1998 Jul-Aug;5(5):407-10. doi: 10.1007/BF02303858.
3
Granuloma formation following cyanoacrylate glue injection in peripheral veins and arteriovenous malformation.外周静脉及动静脉畸形注射氰基丙烯酸酯胶水后形成肉芽肿。
Phlebology. 2020 Mar;35(2):115-123. doi: 10.1177/0268355519856756. Epub 2019 Jun 15.
4
Granulomatous gastritis: a morphological and diagnostic approach.肉芽肿性胃炎:一种形态学及诊断方法
Histopathology. 1993 Jul;23(1):55-61. doi: 10.1111/j.1365-2559.1993.tb01183.x.
5
Granulomatous gastritis associated with Campylobacter pylori.与幽门螺杆菌相关的肉芽肿性胃炎
APMIS. 1989 Aug;97(8):723-7. doi: 10.1111/j.1699-0463.1989.tb00468.x.
6
Granulomatous gastritis: a clinicopathologic analysis of 18 biopsy cases.肉芽肿性胃炎:18例活检病例的临床病理分析
Am J Surg Pathol. 2004 Jul;28(7):941-5. doi: 10.1097/00000478-200407000-00015.
7
Granulomatous gastritis presenting as gastric outlet obstruction: a case report.以胃出口梗阻为表现的肉芽肿性胃炎:一例报告
Ital J Gastroenterol Hepatol. 1998 Aug;30(4):410-3.
8
Endoscopic and bioptic study of the upper gastrointestinal tract in Crohn's disease patients.克罗恩病患者上消化道的内镜及活检研究
Pathol Res Pract. 1985 Jan;179(3):377-87. doi: 10.1016/s0344-0338(85)80147-3.
9
A clinicopathologic study of 42 patients with granulomatous gastritis. Is there really an "idiopathic" granulomatous gastritis?42例肉芽肿性胃炎患者的临床病理研究。真的存在“特发性”肉芽肿性胃炎吗?
Am J Surg Pathol. 1996 Apr;20(4):462-70. doi: 10.1097/00000478-199604000-00009.
10
Inflammatory tumor in pancreatic tail induced by endoscopic ablation with cyanoacrylate glue for gastric varices.
J Gastroenterol. 2004;39(5):475-8. doi: 10.1007/s00535-003-1318-1.

引用本文的文献

1
Foreign Body Granuloma After Embolization of Internal Iliac Artery Aneurysm Using N-Butyl-2-Cyanoacrylate: A Case Report.使用N-丁基-2-氰基丙烯酸酯栓塞髂内动脉瘤后发生的异物肉芽肿:一例报告
Cureus. 2024 May 13;16(5):e60187. doi: 10.7759/cureus.60187. eCollection 2024 May.
2
The story of N-butyl cyanoacrylate saphenous vein ablation.氰基丙烯酸正丁酯大隐静脉消融术的故事。
J Vasc Surg Venous Lymphat Disord. 2023 Jul;11(4):889-890. doi: 10.1016/j.jvsv.2023.04.001.

本文引用的文献

1
Gastric foreign body granuloma caused by an embedded fishbone: a case report.鱼刺嵌顿致胃内异物肉芽肿1例报告
World J Gastroenterol. 2014 Mar 28;20(12):3388-90. doi: 10.3748/wjg.v20.i12.3388.
2
Histopathological study of vascular changes after intra-arterial and intravenous injection of N-butyl-2-cyanoacrylate.经动脉内和静脉内注射正丁基-2-氰基丙烯酸酯后血管变化的组织病理学研究
Chin J Dig Dis. 2006;7(3):175-9. doi: 10.1111/j.1443-9573.2006.00264.x.
3
Inflammatory tumor in pancreatic tail induced by endoscopic ablation with cyanoacrylate glue for gastric varices.
J Gastroenterol. 2004;39(5):475-8. doi: 10.1007/s00535-003-1318-1.
4
Tissue response to N-butyl-2-cyanoacrylate after percutaneous injection into cutaneous vascular lesions.经皮注射正丁基-2-氰基丙烯酸酯后组织对皮肤血管病变的反应。
Ann Plast Surg. 2002 Nov;49(5):520-6. doi: 10.1097/00000637-200211000-00013.
5
A clinicopathologic study of 42 patients with granulomatous gastritis. Is there really an "idiopathic" granulomatous gastritis?42例肉芽肿性胃炎患者的临床病理研究。真的存在“特发性”肉芽肿性胃炎吗?
Am J Surg Pathol. 1996 Apr;20(4):462-70. doi: 10.1097/00000478-199604000-00009.
6
Intraabdominal abscess after esophageal variceal sclerotherapy.食管静脉曲张硬化治疗后腹腔内脓肿
J Clin Gastroenterol. 1994 Apr;18(3):238-9. doi: 10.1097/00004836-199404000-00014.
7
Solitary brain abscess following endoscopic injection sclerosis of esophageal varices.内镜下食管静脉曲张注射硬化治疗后出现的孤立性脑脓肿。
Gastrointest Endosc. 1985 Oct;31(5):331-3. doi: 10.1016/s0016-5107(85)72217-1.
8
Pneumatosis intestinalis and pneumoperitoneum after sclerotherapy.硬化治疗后肠壁积气和腹腔积气
AJR Am J Roentgenol. 1988 Nov;151(5):953-4. doi: 10.2214/ajr.151.5.953.