Suppr超能文献

正丁烯基苯酞调控胶质母细胞瘤中肿瘤干细胞基因EZH2/AXL并降低其迁移和侵袭能力

n-Butylidenephthalide Regulated Tumor Stem Cell Genes EZH2/AXL and Reduced Its Migration and Invasion in Glioblastoma.

作者信息

Yen Ssu-Yin, Chuang Hong-Meng, Huang Mao-Hsuan, Lin Shinn-Zong, Chiou Tzyy-Wen, Harn Horng-Jyh

机构信息

Department of Life Science and Graduate Institute of Biotechnology, National Dong Hwa University, Hualien 974, Taiwan.

Buddhist Tzu Chi Bioinnovation Center, Tzu Chi Foundation, Hualien 970, Taiwan.

出版信息

Int J Mol Sci. 2017 Feb 10;18(2):372. doi: 10.3390/ijms18020372.

Abstract

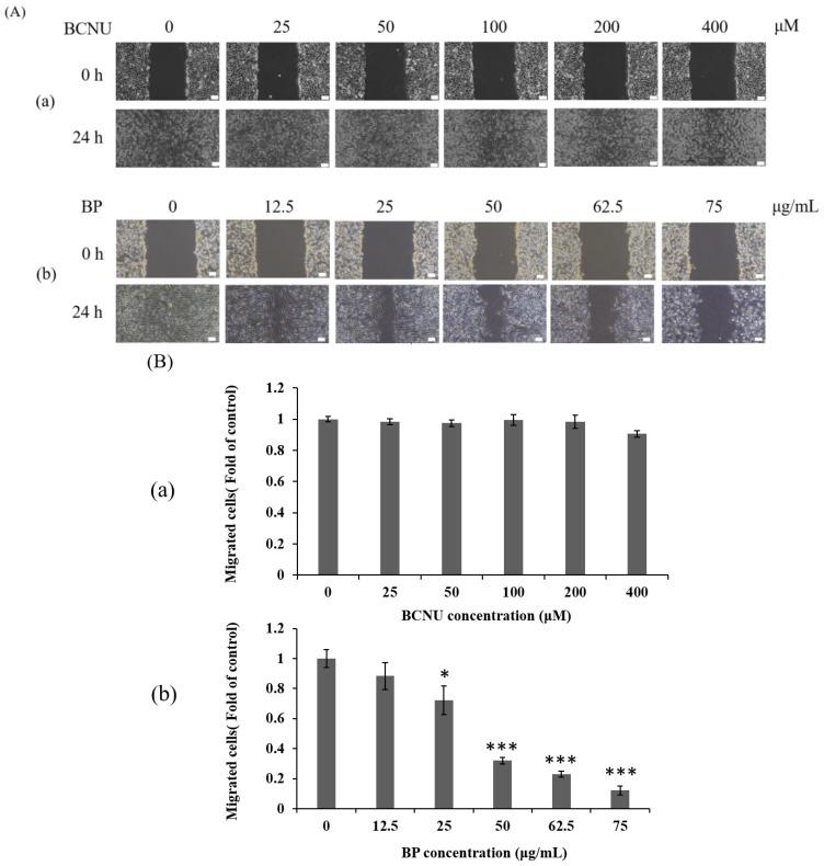
Glioblastoma (GBM) is one of the most common and aggressive types of brain tumor. Due to its highly recurrent rate and poor prognosis, the overall survival time with this type of tumor is only 20-21 months. Recent knowledge suggests that its recurrence is in part due to the presence of cancer stem cells (CSCs), which display radioresistant, chemoresistant, self-renewal and tumorigenic potential. Enhancers of Zeste 2 (EZH2) and AXL receptor tyrosine kinase (AXL) are both highly expressed in GBM. Additionally, they are an essential regulator involved in CSCs maintenance, migration, invasion, epithelial-to-mesenchymal transition (EMT), stemness, metastasis and patient survival. In this study, we used a small molecule, n-butylidenephthalide (BP), to assess the anti-GBM stem-like cells potential, and then tried to find out the associated genes involved with regulation in migration and invasion. We demonstrated that BP reduced the expression of AXL and stemness related genes in a dose-dependent manner. The migratory and invasive capabilities of GBM stem-like cells could be reduced by AXL/EZH2. Finally, in the overexpression of AXL, EZH2 and Sox2 by transfection in GBM stem-like cells, we found that AXL/EZH2/TGF-ꞵ1, but not Sox2, might be a key regulator in tumor invasion, migration and EMT. These results might help in the development of a new anticancer compound and can be a target for treating GBM.

摘要

胶质母细胞瘤(GBM)是最常见且侵袭性最强的脑肿瘤类型之一。由于其高复发率和不良预后,这类肿瘤患者的总生存时间仅为20 - 21个月。最近的研究表明,其复发部分归因于癌症干细胞(CSCs)的存在,这些细胞具有抗辐射、抗化疗、自我更新和致瘤潜力。Zeste 2增强子(EZH2)和AXL受体酪氨酸激酶(AXL)在GBM中均高表达。此外,它们是参与CSCs维持、迁移、侵袭、上皮 - 间质转化(EMT)、干性、转移及患者生存的重要调节因子。在本研究中,我们使用小分子正丁烯基苯酞(BP)来评估其抗GBM干细胞样细胞的潜力,然后试图找出与迁移和侵袭调控相关的基因。我们证明BP以剂量依赖的方式降低了AXL和干性相关基因的表达。AXL/EZH2可降低GBM干细胞样细胞的迁移和侵袭能力。最后,在GBM干细胞样细胞中通过转染过表达AXL、EZH2和Sox2后,我们发现AXL/EZH2/TGF-β1而非Sox2可能是肿瘤侵袭、迁移和EMT的关键调节因子。这些结果可能有助于开发新的抗癌化合物,并可成为治疗GBM的靶点。

https://cdn.ncbi.nlm.nih.gov/pmc/blobs/e1c8/5343907/df3427c944f5/ijms-18-00372-g001.jpg

文献检索

告别复杂PubMed语法,用中文像聊天一样搜索,搜遍4000万医学文献。AI智能推荐,让科研检索更轻松。

立即免费搜索

文件翻译

保留排版,准确专业,支持PDF/Word/PPT等文件格式,支持 12+语言互译。

免费翻译文档

深度研究

AI帮你快速写综述,25分钟生成高质量综述,智能提取关键信息,辅助科研写作。

立即免费体验