Farsad A S, Malekzadeh-Shafaroudi S, Moshtaghi N, Fotouhi F, Zibaee S
Ph.D. Student in Plant Biotechnology, Department of Biotechnology and Plant Breeding, Faculty of Agriculture, Ferdowsi University of Mashhad, Mashhad, Iran.
Department of Biotechnology and Plant Breeding, Faculty of Agriculture, Ferdowsi University of Mashhad, Mashhad, Iran.
Iran J Vet Res. 2016 Fall;17(4):237-242.
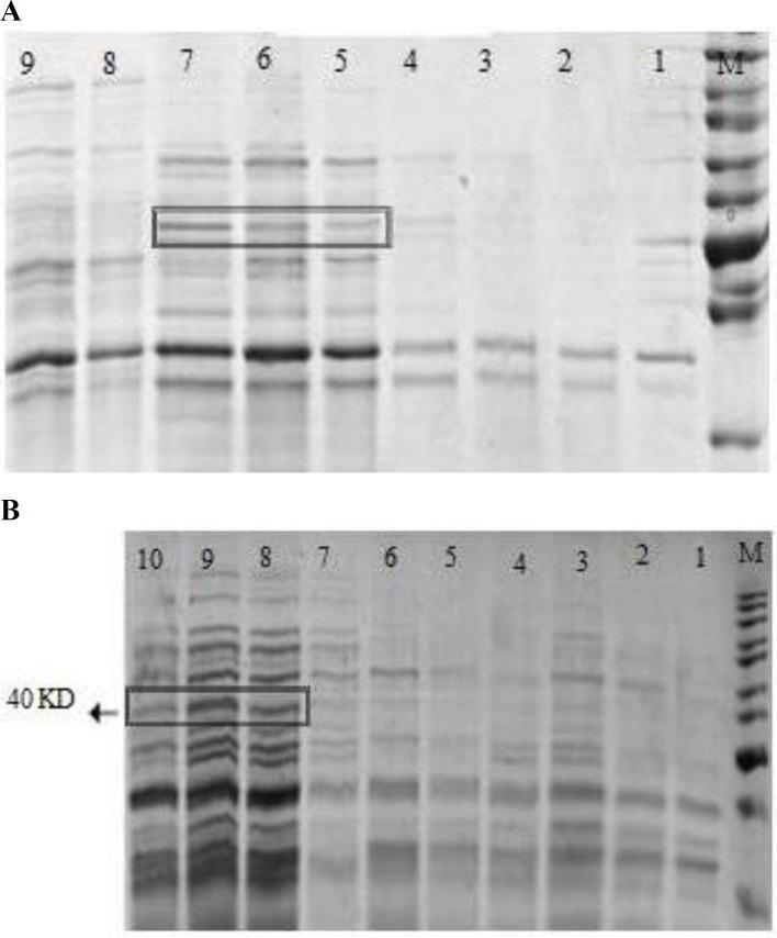
The impending influenza virus pandemic requires global vaccination to prevent large-scale mortality and morbidity, but traditional influenza virus vaccine production is too slow for rapid responses. In this study, bacterial system has been developed for expression and purification of properly folded HA1 antigen as a rapid response to emerging pandemic strains. Here, a recombinant H5N1 (A/Indonesia/05/05) hemagglutinin globular domain, the synthesized HA1 (1-320 amino acids), was amplified and cloned into pET-28a bacterial expression vector. Then, his-tagged HA1 protein was expressed in BL21 under 1 mM IPTG induction. The protein expression was optimized under a time-course induction study and further purified using Ni-NTA chromatography. Migration size of protein was detected at 40 KDa by Western blot using anti-His tag monoclonal antibody and demonstrated no discrepancy compared to its calculated molecular weight. Since most antigenic sites are in the HA1 domain of HA, using this domain of influenza virus as antigen is of great importance in vaccine development. The ability of the antibody stimulation against HA1 expressed in bacterial cells is also examined using enzyme-linked immunosorbent assay (ELISA) analysis. Upon immunization of rabbits, oligomeric HA1 elicited potent neutralizing antibodies and high levels of serum antibody binding to HA1. Our findings suggest that HA1-based vaccines can be produced efficiently in bacterial systems and can be easily upscaled in response to a pandemic influenza virus threat.
即将到来的流感病毒大流行需要全球接种疫苗以防止大规模死亡和发病,但传统流感病毒疫苗生产速度太慢,无法快速应对。在本研究中,已开发出细菌系统用于表达和纯化正确折叠的HA1抗原,作为对新出现的大流行毒株的快速反应。在此,重组H5N1(A/印度尼西亚/05/05)血凝素球状结构域,即合成的HA1(1-320个氨基酸),被扩增并克隆到pET-28a细菌表达载体中。然后,带有His标签的HA1蛋白在1 mM IPTG诱导下在BL21中表达。通过时间进程诱导研究优化了蛋白表达,并使用Ni-NTA色谱进一步纯化。使用抗His标签单克隆抗体通过蛋白质印迹法在40 KDa处检测到蛋白的迁移大小,与其计算分子量相比无差异。由于大多数抗原位点位于HA的HA1结构域中,因此在疫苗开发中使用流感病毒的该结构域作为抗原非常重要。还使用酶联免疫吸附测定(ELISA)分析检查了针对在细菌细胞中表达的HA1的抗体刺激能力。给兔子免疫后,寡聚HA1引发了有效的中和抗体以及与HA1结合的高水平血清抗体。我们的研究结果表明,基于HA1的疫苗可以在细菌系统中高效生产,并且可以轻松扩大规模以应对大流行性流感病毒威胁。