Suppr超能文献

无典型MRI表现的Rasmussen综合征中的功能性大脑半球切除术

Functional hemispherotomy in Rasmussen syndrome in the absence of classic MRI findings.

作者信息

Nagahama Yasunori, Joshi Charuta, Dlouhy Brian, Wu Angela Y, Abel Taylor J, Baumbach Gary, Kawasaki Hiroto

机构信息

Department of Neurosurgery, University of Iowa Hospitals and Clinics, Iowa City, IA, USA.

Department of Pediatrics, University of Iowa Hospitals and Clinics, Iowa City, IA, USA.

出版信息

Epilepsy Behav Case Rep. 2016 Dec 5;7:24-27. doi: 10.1016/j.ebcr.2016.11.003. eCollection 2017.

Abstract

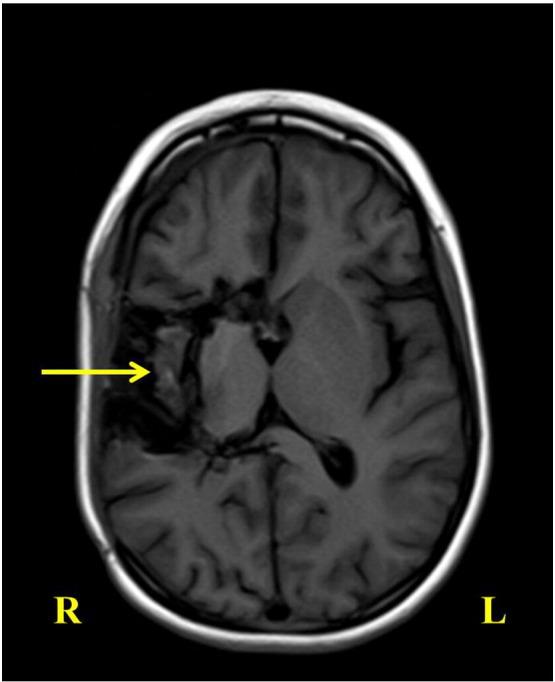
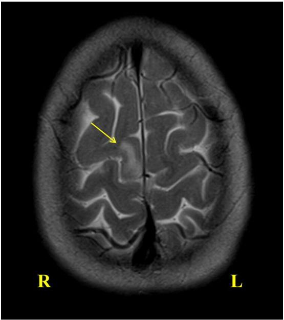
A 7-year-old previously healthy girl presented with a left-sided focal seizure without impaired consciousness and subsequently developed epilepsia partialis continua. Initial MRI was normal, and the subsequent images only showed a focal T2/FLAIR hyperintense area without cortical atrophy. She was diagnosed with Rasmussen syndrome by pathology and promptly treated with functional hemispherotomy. Rasmussen syndrome is a rare progressive neurological disorder, the only definitive cure for which is hemispheric disconnection. The disease presents a management dilemma, especially early in disease course without characteristic neuroimaging features. A high index of suspicion, multidisciplinary approach, and clear timely communication with the family are critical.

摘要

一名7岁的既往健康女孩出现左侧局灶性癫痫发作,意识未受损,随后发展为持续性部分性癫痫。初次MRI检查正常,后续影像仅显示一个局灶性T2/FLAIR高信号区,无皮质萎缩。经病理诊断为拉斯穆森综合征,并立即接受了功能性大脑半球切除术治疗。拉斯穆森综合征是一种罕见的进行性神经疾病,唯一的确切治疗方法是大脑半球离断术。该疾病带来了治疗难题,尤其是在病程早期没有特征性神经影像学表现时。高度的怀疑指数、多学科方法以及与家属清晰及时的沟通至关重要。

https://cdn.ncbi.nlm.nih.gov/pmc/blobs/bb8a/5315437/3a7cc26dafcc/gr1.jpg

文献AI研究员

20分钟写一篇综述,助力文献阅读效率提升50倍。

立即体验

用中文搜PubMed

大模型驱动的PubMed中文搜索引擎

马上搜索

文档翻译

学术文献翻译模型,支持多种主流文档格式。

立即体验