• 文献检索
  • 文档翻译
  • 深度研究
  • 学术资讯
  • Suppr Zotero 插件Zotero 插件
  • 邀请有礼
  • 套餐&价格
  • 历史记录
应用&插件
Suppr Zotero 插件Zotero 插件浏览器插件Mac 客户端Windows 客户端微信小程序
定价
高级版会员购买积分包购买API积分包
服务
文献检索文档翻译深度研究API 文档MCP 服务
关于我们
关于 Suppr公司介绍联系我们用户协议隐私条款
关注我们

Suppr 超能文献

核心技术专利:CN118964589B侵权必究
粤ICP备2023148730 号-1Suppr @ 2026

文献检索

告别复杂PubMed语法,用中文像聊天一样搜索,搜遍4000万医学文献。AI智能推荐,让科研检索更轻松。

立即免费搜索

文件翻译

保留排版,准确专业,支持PDF/Word/PPT等文件格式,支持 12+语言互译。

免费翻译文档

深度研究

AI帮你快速写综述,25分钟生成高质量综述,智能提取关键信息,辅助科研写作。

立即免费体验

对免疫疗法有反应的慢性T细胞性脑炎

Chronic T Cell Encephalitis Responsive to Immunotherapy.

作者信息

Elavarasi Arunmozhimaran, Shukla Garima, Vibha Deepti, Suri Vaishali, Bal Chandra Sekhar

机构信息

Department of Neurology, All India Institute of Medical Sciences, New Delhi, India.

Department of Medicine, Queen's University, Kingston, ON, Canada.

出版信息

Ann Indian Acad Neurol. 2022 May-Jun;25(3):495-498. doi: 10.4103/aian.aian_982_21. Epub 2022 Mar 21.

DOI:10.4103/aian.aian_982_21
PMID:35936618
原文链接:https://pmc.ncbi.nlm.nih.gov/articles/PMC9350788/
Abstract

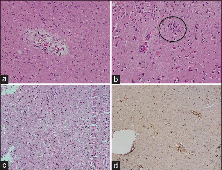
Chronic encephalitis manifesting as an epilepsy syndrome most commonly presents as Rasmussen's syndrome, usually characterized by epilepsia partialis continua, hemiparesis, and progressive cortical deficits such as aphasia, hemianopia, and cognitive decline. It is characterized by progressive hemispheric cortical atrophy on imaging and is usually seen in childhood. Adult-onset of the syndrome is rare, and only a few cases have been reported with bilateral symptoms. We present a patient with pseudobulbar affect and frontal lobe dysfunction who developed multifocal myoclonic jerks, right hemibody focal motor seizures, and right hemiparesis with bilateral cerebellar signs. Magnetic resonance imaging showed progressive hemispheric atrophy and bilateral features in Positron emission tomography-computed tomography (PET CT). Brain biopsy revealed chronic T-cell infiltrate. We discuss this case as the patient had several features that were atypical for Rasmussen's encephalitis (or syndrome).

摘要

表现为癫痫综合征的慢性脑炎最常见的是拉斯穆森综合征,通常表现为持续性部分性癫痫、偏瘫以及进行性皮质功能缺损,如失语、偏盲和认知衰退。其影像学特征为进行性半球皮质萎缩,多见于儿童期。该综合征成人发病罕见,仅有少数双侧症状的病例报道。我们报告一例伴有假性球麻痹和额叶功能障碍的患者,该患者出现多灶性肌阵挛性抽搐、右侧半身局灶性运动性癫痫发作以及伴有双侧小脑体征的右侧偏瘫。磁共振成像显示进行性半球萎缩,正电子发射断层扫描-计算机断层扫描(PET CT)有双侧表现。脑活检显示慢性T细胞浸润。我们讨论此病例,因为该患者有几个特征不符合拉斯穆森脑炎(或综合征)的典型表现。

https://cdn.ncbi.nlm.nih.gov/pmc/blobs/9ff2/9350788/233a66dfc7c7/AIAN-25-495-g004.jpg
https://cdn.ncbi.nlm.nih.gov/pmc/blobs/9ff2/9350788/5df840a2d2fc/AIAN-25-495-g001.jpg
https://cdn.ncbi.nlm.nih.gov/pmc/blobs/9ff2/9350788/01787966b720/AIAN-25-495-g002.jpg
https://cdn.ncbi.nlm.nih.gov/pmc/blobs/9ff2/9350788/89f628d52018/AIAN-25-495-g003.jpg
https://cdn.ncbi.nlm.nih.gov/pmc/blobs/9ff2/9350788/233a66dfc7c7/AIAN-25-495-g004.jpg
https://cdn.ncbi.nlm.nih.gov/pmc/blobs/9ff2/9350788/5df840a2d2fc/AIAN-25-495-g001.jpg
https://cdn.ncbi.nlm.nih.gov/pmc/blobs/9ff2/9350788/01787966b720/AIAN-25-495-g002.jpg
https://cdn.ncbi.nlm.nih.gov/pmc/blobs/9ff2/9350788/89f628d52018/AIAN-25-495-g003.jpg
https://cdn.ncbi.nlm.nih.gov/pmc/blobs/9ff2/9350788/233a66dfc7c7/AIAN-25-495-g004.jpg

相似文献

1
Chronic T Cell Encephalitis Responsive to Immunotherapy.对免疫疗法有反应的慢性T细胞性脑炎
Ann Indian Acad Neurol. 2022 May-Jun;25(3):495-498. doi: 10.4103/aian.aian_982_21. Epub 2022 Mar 21.
2
Presentation, diagnosis and treatment of bilateral Rasmussen's encephalitis in a 12-year-old female.一位 12 岁女性双侧拉斯穆森脑炎的表现、诊断和治疗。
Epileptic Disord. 2013 Sep;15(3):324-32. doi: 10.1684/epd.2013.0594.
3
Epilepsia partialis continua and unilateral cortical-subcortical FLAIR-hyperintense lesion in Rasmussen's encephalitis: Is it diagnostic?Rasmussen 脑炎中连续性部分性癫痫发作和单侧皮质下 FLAIR 高信号病变:具有诊断意义吗?
Epileptic Disord. 2023 Jun;25(3):321-330. doi: 10.1002/epd2.20033. Epub 2023 Apr 20.
4
Rasmussen's encephalitis presenting as focal cortical dysplasia.表现为局灶性皮质发育异常的拉斯穆森脑炎。
Epilepsy Behav Case Rep. 2014 Mar 12;2:86-9. doi: 10.1016/j.ebcr.2014.01.009. eCollection 2014.
5
Utility of Ictal SPECT in the presurgical evaluation of Rasmussen's encephalitis.发作期单光子发射计算机断层扫描在Rasmussen脑炎术前评估中的应用价值。
Can J Neurol Sci. 2006 Feb;33(1):107-10. doi: 10.1017/s0317167100004807.
6
Autoantibodies and cell-mediated autoimmunity to NMDA-type GluRepsilon2 in patients with Rasmussen's encephalitis and chronic progressive epilepsia partialis continua.拉斯穆森脑炎和慢性进行性持续性部分性癫痫患者中针对N-甲基-D-天冬氨酸(NMDA)型谷氨酸受体ε2亚基的自身抗体和细胞介导的自身免疫反应
Epilepsia. 2005;46 Suppl 5:152-8. doi: 10.1111/j.1528-1167.2005.01024.x.
7
Rasmussen's Encephalitis: A Rare Cause of Intractable Seizures.拉森氏脑炎:一种导致难治性癫痫的罕见病因。
J Coll Physicians Surg Pak. 2022 Jan;32(1):108-110. doi: 10.29271/jcpsp.2022.01.108.
8
Dystonia, athetosis, and epilepsia partialis continua in a patient with late-onset Rasmussen's encephalitis.一名迟发性拉斯穆森脑炎患者出现肌张力障碍、手足徐动症和持续性部分性癫痫。
Mov Disord. 2002 May;17(3):609-12. doi: 10.1002/mds.10131.
9
Lingual epilepsia partialis continua in Rasmussen's encephalitis.拉斯穆森脑炎中的持续性部分性舌部癫痫
Epileptic Disord. 2006 Jun;8(2):114-7.
10
Adult-onset Rasmussen's Syndrome with associated cortical dysplasia.成人起病的拉斯姆森综合征伴相关皮质发育异常。
Epilepsy Behav Case Rep. 2018 Nov 28;11:54-57. doi: 10.1016/j.ebcr.2018.11.004. eCollection 2019.

本文引用的文献

1
Neuropathology of autoimmune encephalitides.自身免疫性脑炎的神经病理学
Handb Clin Neurol. 2016;133:107-20. doi: 10.1016/B978-0-444-63432-0.00007-4.
2
Rasmussen's Encephalitis with Faciobrachial Dystonic Attacks and Bilateral Hemispheric Involvement.伴有面臂肌张力障碍发作及双侧半球受累的拉斯穆森脑炎
Chin Med J (Engl). 2016 Jan 20;129(2):248-9. doi: 10.4103/0366-6999.173554.
3
Clinical, electrophysiological, imaging, pathological and therapeutic observations among 18 patients with Rasmussen's encephalitis.18例拉斯穆森脑炎患者的临床、电生理、影像学、病理学及治疗观察
J Clin Neurosci. 2016 Mar;25:96-104. doi: 10.1016/j.jocn.2015.05.062. Epub 2015 Dec 7.
4
Rasmussen's encephalitis: clinical features, pathobiology, and treatment advances.拉森氏脑炎:临床特征、病理生物学和治疗进展。
Lancet Neurol. 2014 Feb;13(2):195-205. doi: 10.1016/S1474-4422(13)70260-6.
5
Faciobrachial dystonic seizures: the influence of immunotherapy on seizure control and prevention of cognitive impairment in a broadening phenotype.面臂型发作性肌张力障碍:免疫疗法对发作控制和预防认知障碍的影响,表型不断扩大。
Brain. 2013 Oct;136(Pt 10):3151-62. doi: 10.1093/brain/awt212. Epub 2013 Sep 6.
6
Presentation, diagnosis and treatment of bilateral Rasmussen's encephalitis in a 12-year-old female.一位 12 岁女性双侧拉斯穆森脑炎的表现、诊断和治疗。
Epileptic Disord. 2013 Sep;15(3):324-32. doi: 10.1684/epd.2013.0594.
7
Pathogenesis, diagnosis and treatment of Rasmussen encephalitis: a European consensus statement.拉斯姆森脑炎的发病机制、诊断与治疗:欧洲共识声明
Brain. 2005 Mar;128(Pt 3):454-71. doi: 10.1093/brain/awh415. Epub 2005 Feb 2.
8
Focal seizures due to chronic localized encephalitis.慢性局限性脑炎所致局灶性癫痫发作
Neurology. 1958 Jun;8(6):435-45. doi: 10.1212/wnl.8.6.435.
9
Plasmapheresis in Rasmussen's encephalitis.拉斯姆森脑炎的血浆置换术
Neurology. 1996 Jan;46(1):242-6. doi: 10.1212/wnl.46.1.242.
10
Rasmussen's chronic encephalitis in adults.成人拉斯穆森慢性脑炎
Arch Neurol. 1993 Mar;50(3):269-74. doi: 10.1001/archneur.1993.00540030035011.