Suppr超能文献

潘贾山羊的M型超声心动图参考值。

M-mode echocardiographic reference values in Pantja goats.

作者信息

Singh Parul, Jadon Narendra Singh, Bodh Deepti, Kandpal Manjul

机构信息

Department of Veterinary Surgery & Radiology, College of Veterinary & Animal Sciences, GBPUAT, Pantnagar - 263 145, Uttarakhand, India.

出版信息

Vet World. 2017 Jan;10(1):22-28. doi: 10.14202/vetworld.2017.22-28. Epub 2017 Jan 10.

Abstract

AIM

The aim of this study was to establish M-mode echocardiographic reference values in Pantja goats and to study the effect of gender and body weight (BW) on these parameters.

MATERIALS AND METHODS

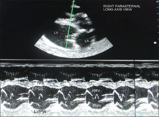
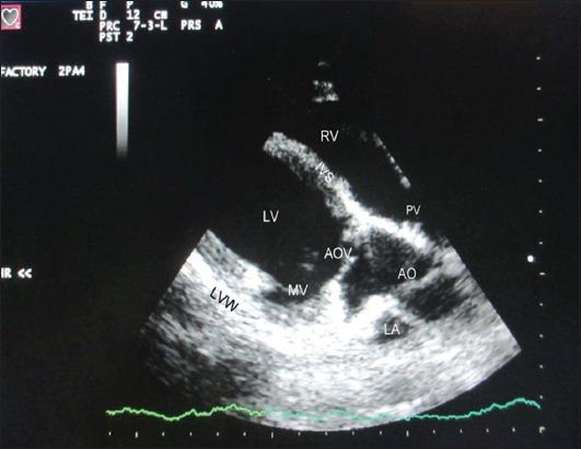
A total of 18, clinically healthy, adult Pantja goats of either sex, aged 2-4 years and weighing 10-44 kg were included in the study. Echocardiographic examination was performed in the standing unsedated animal. All measurements were made from the right parasternal long-axis left ventricular outflow tract view of the heart. The following parameters were recorded: Left ventricular internal diameter at diastole and systole, interventricular septal thickness at diastole and systole, left ventricular posterior wall (LVPW) thickness at diastole and systole, end diastolic and systolic volumes, stroke volume, fractional shortening, ejection fraction, percent systolic thickening of interventricular septum, percent systolic thickening of LVPW, cardiac output, left atrial (LA) diameter at diastole and systole, aortic (AO) root diameter at diastole and systole, LA/AO, LA posterior wall thickness at diastole and systole, left ventricular ejection time, DE amplitude, EF slope, AC interval and e-point to septal separation.

RESULTS

This study demonstrated specific reference ranges of M-mode echocardiographic parameters and indices in healthy Pantja goats. Normal echocardiographic values obtained in Pantja goats were quite different from other goat breeds. Gender had no influence on echocardiographic parameters, while high correlations were found between most echocardiographic parameters and BW.

CONCLUSION

The echocardiographic values obtained in the study may serve as a reference for future studies in this breed, for cardiovascular disease diagnosis and for utilizing the goat as a model for cardiac disorders in humans.

摘要

目的

本研究旨在建立潘贾山羊的M型超声心动图参考值,并研究性别和体重对这些参数的影响。

材料与方法

本研究共纳入18只2至4岁、体重10至44千克、临床健康的成年潘贾山羊,雌雄不限。在未使用镇静剂的站立动物身上进行超声心动图检查。所有测量均从心脏右胸骨旁长轴左心室流出道视图进行。记录以下参数:舒张末期和收缩末期左心室内径、舒张末期和收缩末期室间隔厚度、舒张末期和收缩末期左心室后壁(LVPW)厚度、舒张末期和收缩末期容积、每搏输出量、缩短分数、射血分数、室间隔收缩期增厚百分比、LVPW收缩期增厚百分比、心输出量、舒张末期和收缩末期左心房(LA)直径、舒张末期和收缩末期主动脉(AO)根部直径、LA/AO、舒张末期和收缩末期LA后壁厚度、左心室射血时间、DE幅度、EF斜率、AC间期以及e点至室间隔距离。

结果

本研究展示了健康潘贾山羊M型超声心动图参数和指标的特定参考范围。潘贾山羊获得的正常超声心动图值与其他山羊品种有很大差异。性别对超声心动图参数无影响,而大多数超声心动图参数与体重之间存在高度相关性。

结论

本研究获得的超声心动图值可为该品种未来的研究、心血管疾病诊断以及将山羊用作人类心脏疾病模型提供参考。

https://cdn.ncbi.nlm.nih.gov/pmc/blobs/d04b/5301175/022c05092641/VetWorld-10-22-g001.jpg

文献检索

告别复杂PubMed语法,用中文像聊天一样搜索,搜遍4000万医学文献。AI智能推荐,让科研检索更轻松。

立即免费搜索

文件翻译

保留排版,准确专业,支持PDF/Word/PPT等文件格式,支持 12+语言互译。

免费翻译文档

深度研究

AI帮你快速写综述,25分钟生成高质量综述,智能提取关键信息,辅助科研写作。

立即免费体验