Suppr超能文献

惰性肺实变:肺炎性假瘤的十年随访

Indolent lung opacity: Ten years follow-up of pulmonary inflammatory pseudo-tumor.

作者信息

Degheili Jad A, Kanj Nadim A, Koubaissi Salwa A, Nasser Mouhamad J

机构信息

Jad A Degheili, Division of General Surgery, Department of Surgery, American University of Beirut-Medical Center, 1107 2020 Beirut, Lebanon.

出版信息

World J Clin Cases. 2017 Feb 16;5(2):61-66. doi: 10.12998/wjcc.v5.i2.61.

Abstract

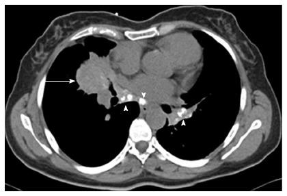
Inflammatory pseudotumor (IPT) has always been considered a diagnostic challenge. Its rarity and resemblance to other more common pathological entities imposes that neither clinical nor radiological characteristics can lead to a definitive diagnosis. The surgical excision of the lesion is the ultimate approach for accurate diagnosis and cure. Moreover the true nature of IPT, its origin as a neoplastic entity or an over-reactive inflammatory reaction to an unknown trigger, has been a long debated matter. Surgery remains the treatment of choice. IPT is mostly an indolent disease with minimal morbidity and mortality. Local invasion and metastasis predict a poor prognosis. We hereby present a unique case of pulmonary IPT that was surgically excised, but recurred contralaterally, shortly thereafter. Despite no medical or surgical treatment for ten years, the lesion has remained stable in size, with neither symptoms nor extra-pulmonary manifestations.

摘要

炎性假瘤(IPT)一直被认为是一个诊断难题。其罕见性以及与其他更常见病理实体的相似性使得临床和放射学特征都无法得出明确诊断。病变的手术切除是准确诊断和治愈的最终方法。此外,IPT的真正性质,即其作为肿瘤实体的起源或对未知触发因素的过度反应性炎症反应,一直是一个长期争论的问题。手术仍然是首选治疗方法。IPT大多是一种惰性疾病,发病率和死亡率极低。局部侵袭和转移预示着预后不良。我们在此报告一例独特的肺部IPT病例,该病例经手术切除,但此后不久在对侧复发。尽管十年未进行药物或手术治疗,病变大小一直保持稳定,既无症状也无肺外表现。

https://cdn.ncbi.nlm.nih.gov/pmc/blobs/2c8a/5314263/d6319187d36f/WJCC-5-61-g001.jpg

文献AI研究员

20分钟写一篇综述,助力文献阅读效率提升50倍。

立即体验

用中文搜PubMed

大模型驱动的PubMed中文搜索引擎

马上搜索

文档翻译

学术文献翻译模型,支持多种主流文档格式。

立即体验