• 文献检索
  • 文档翻译
  • 深度研究
  • 学术资讯
  • Suppr Zotero 插件Zotero 插件
  • 邀请有礼
  • 套餐&价格
  • 历史记录
应用&插件
Suppr Zotero 插件Zotero 插件浏览器插件Mac 客户端Windows 客户端微信小程序
定价
高级版会员购买积分包购买API积分包
服务
文献检索文档翻译深度研究API 文档MCP 服务
关于我们
关于 Suppr公司介绍联系我们用户协议隐私条款
关注我们

Suppr 超能文献

核心技术专利:CN118964589B侵权必究
粤ICP备2023148730 号-1Suppr @ 2026

文献检索

告别复杂PubMed语法,用中文像聊天一样搜索,搜遍4000万医学文献。AI智能推荐,让科研检索更轻松。

立即免费搜索

文件翻译

保留排版,准确专业,支持PDF/Word/PPT等文件格式,支持 12+语言互译。

免费翻译文档

深度研究

AI帮你快速写综述,25分钟生成高质量综述,智能提取关键信息,辅助科研写作。

立即免费体验

人组织相容性抗原(HLA - A和HLA - B)在羧基末端细胞内结构域的体内和体外磷酸化作用。

Phosphorylation in vivo and in vitro of human histocompatibility antigens (HLA-A and HLA-B) in the carboxy-terminal intracellular domain.

作者信息

Pober J S, Guild B C, Strominger J L

出版信息

Proc Natl Acad Sci U S A. 1978 Dec;75(12):6002-6. doi: 10.1073/pnas.75.12.6002.

DOI:10.1073/pnas.75.12.6002
PMID:282620
原文链接:https://pmc.ncbi.nlm.nih.gov/articles/PMC393105/
Abstract

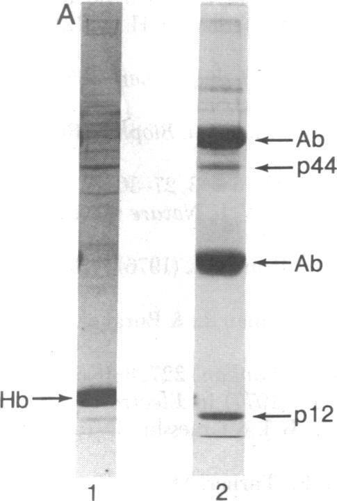
HLA-A and -B antigens are phosphorylated in transformed lymphoblastoid cells and peripheral blood lymphocytes, both incubated with 32Pi. The phosphate group is attached to HLA-A and -B heavy chain (p44) as identified by immunoprecipitation with anti-beta2-microglobulin IgG, sodium dodecyl sulfate/polyacrylamide gel electrophoresis, isoelectric focusing, and susceptibility to limited proteolysis by papain and trypsin. The site(s) of phosphorylation is identified as a serine residue(s) located in the hydrophilic carboxy terminus of the p44 chain. HLA antigens are also phosphorylated in isolated membranes from transformed lymphoblastoid cells that are incubated with [gamma32P]ATP. The phosphorylation of the carboxy terminus of HLA-A and -B antigens in vivo is good evidence that this portion of the molecule is intracellular. Furthermore, this modification suggests a general way in which interactions between membrane proteins and cytoskeletal elements may be regulated.

摘要

在与³²Pi一起孵育的转化淋巴母细胞和外周血淋巴细胞中,HLA - A和 - B抗原发生了磷酸化。通过用抗β2 - 微球蛋白IgG进行免疫沉淀、十二烷基硫酸钠/聚丙烯酰胺凝胶电泳、等电聚焦以及木瓜蛋白酶和胰蛋白酶有限蛋白水解敏感性鉴定,磷酸基团附着在HLA - A和 - B重链(p44)上。磷酸化位点被确定为位于p44链亲水性羧基末端的一个或多个丝氨酸残基。在与[γ³²P]ATP一起孵育的转化淋巴母细胞的分离膜中,HLA抗原也发生了磷酸化。HLA - A和 - B抗原羧基末端在体内的磷酸化充分证明该分子的这一部分位于细胞内。此外,这种修饰提示了一种调节膜蛋白与细胞骨架成分之间相互作用的一般方式。

https://cdn.ncbi.nlm.nih.gov/pmc/blobs/33a9/393105/1f849a8fe03b/pnas00022-0269-d.jpg
https://cdn.ncbi.nlm.nih.gov/pmc/blobs/33a9/393105/0524bc05545f/pnas00022-0267-a.jpg
https://cdn.ncbi.nlm.nih.gov/pmc/blobs/33a9/393105/3bc2d3c20d2d/pnas00022-0267-b.jpg
https://cdn.ncbi.nlm.nih.gov/pmc/blobs/33a9/393105/b3d1e3b0b2fe/pnas00022-0268-a.jpg
https://cdn.ncbi.nlm.nih.gov/pmc/blobs/33a9/393105/4b8b55d22267/pnas00022-0268-b.jpg
https://cdn.ncbi.nlm.nih.gov/pmc/blobs/33a9/393105/42e4843dda84/pnas00022-0268-c.jpg
https://cdn.ncbi.nlm.nih.gov/pmc/blobs/33a9/393105/a8e8c2bbff36/pnas00022-0269-a.jpg
https://cdn.ncbi.nlm.nih.gov/pmc/blobs/33a9/393105/345d1a0489f9/pnas00022-0269-b.jpg
https://cdn.ncbi.nlm.nih.gov/pmc/blobs/33a9/393105/29f495d0bf9b/pnas00022-0269-c.jpg
https://cdn.ncbi.nlm.nih.gov/pmc/blobs/33a9/393105/1f849a8fe03b/pnas00022-0269-d.jpg
https://cdn.ncbi.nlm.nih.gov/pmc/blobs/33a9/393105/0524bc05545f/pnas00022-0267-a.jpg
https://cdn.ncbi.nlm.nih.gov/pmc/blobs/33a9/393105/3bc2d3c20d2d/pnas00022-0267-b.jpg
https://cdn.ncbi.nlm.nih.gov/pmc/blobs/33a9/393105/b3d1e3b0b2fe/pnas00022-0268-a.jpg
https://cdn.ncbi.nlm.nih.gov/pmc/blobs/33a9/393105/4b8b55d22267/pnas00022-0268-b.jpg
https://cdn.ncbi.nlm.nih.gov/pmc/blobs/33a9/393105/42e4843dda84/pnas00022-0268-c.jpg
https://cdn.ncbi.nlm.nih.gov/pmc/blobs/33a9/393105/a8e8c2bbff36/pnas00022-0269-a.jpg
https://cdn.ncbi.nlm.nih.gov/pmc/blobs/33a9/393105/345d1a0489f9/pnas00022-0269-b.jpg
https://cdn.ncbi.nlm.nih.gov/pmc/blobs/33a9/393105/29f495d0bf9b/pnas00022-0269-c.jpg
https://cdn.ncbi.nlm.nih.gov/pmc/blobs/33a9/393105/1f849a8fe03b/pnas00022-0269-d.jpg

相似文献

1
Phosphorylation in vivo and in vitro of human histocompatibility antigens (HLA-A and HLA-B) in the carboxy-terminal intracellular domain.人组织相容性抗原(HLA - A和HLA - B)在羧基末端细胞内结构域的体内和体外磷酸化作用。
Proc Natl Acad Sci U S A. 1978 Dec;75(12):6002-6. doi: 10.1073/pnas.75.12.6002.
2
Identification of lymphocyte integral membrane proteins as substrates for protein kinase C. Phosphorylation of the interleukin-2 receptor, class I HLA antigens, and T200 glycoprotein.鉴定淋巴细胞整合膜蛋白作为蛋白激酶C的底物。白细胞介素-2受体、I类HLA抗原和T200糖蛋白的磷酸化。
J Biol Chem. 1986 Jun 25;261(18):8334-41.
3
Sequence of the COOH-terminal hydrophilic region of histocompatibility antigens HLA-A2 and HLA-B7.组织相容性抗原HLA - A2和HLA - B7羧基末端亲水区域的序列
J Biol Chem. 1978 Aug 10;253(15):5319-24.
4
HLA-A2 antigen phosphorylation in vitro by cyclic AMP-dependent protein kinase. Sites of phosphorylation and segmentation in class i major histocompatibility complex gene structure.HLA - A2抗原在体外被环磷酸腺苷依赖性蛋白激酶磷酸化。I类主要组织相容性复合体基因结构中的磷酸化位点和片段。
J Biol Chem. 1984 Nov 10;259(21):13504-10.
5
Phosphorylation of class I histocompatibility antigens in human B lymphocytes. Regulation by phorbol esters and insulin.人类B淋巴细胞中I类组织相容性抗原的磷酸化。佛波酯和胰岛素的调节作用。
Biochem J. 1988 Dec 15;256(3):763-8. doi: 10.1042/bj2560763.
6
Both chains of HLA-DR bind to the membrane with a penultimate hydrophobic region and the heavy chain is phosphorylated at its hydrophilic carboxyl terminus.HLA-DR的两条链都通过倒数第二个疏水区域与膜结合,重链在其亲水性羧基末端被磷酸化。
Proc Natl Acad Sci U S A. 1979 Dec;76(12):6304-8. doi: 10.1073/pnas.76.12.6304.
7
HLA-A2 and HLA-B7 antigens are phosphorylated in vitro by rous sarcoma virus kinase (pp60v-src) at a tyrosine residue encoded in a highly conserved exon of the intracellular domain.
Proc Natl Acad Sci U S A. 1983 May;80(10):2894-8. doi: 10.1073/pnas.80.10.2894.
8
Heterogeneity in the membrane proteins of human lymphoid cell lines as seen in sodium dodecyl sulfate-polyacrylamide electrophoresis slab gels.在十二烷基硫酸钠-聚丙烯酰胺电泳平板凝胶中观察到的人类淋巴细胞系膜蛋白的异质性。
Cancer Res. 1978 Nov;38(11 Pt 1):3604-10.
9
Detergent-soluble HLA antigens contain a hydrophilic region at the COOH-terminus and a penultimate hydrophobic region.
Proc Natl Acad Sci U S A. 1976 Jul;73(7):2481-5. doi: 10.1073/pnas.73.7.2481.
10
Structural characterization of H-2 antigens purified from mouse liver.从小鼠肝脏中纯化的H-2抗原的结构表征。
Proc Natl Acad Sci U S A. 1978 Jul;75(7):3322-6. doi: 10.1073/pnas.75.7.3322.

引用本文的文献

1
Cryptic protein-protein interaction motifs in the cytoplasmic domain of MHCI proteins.主要组织相容性复合体I类(MHCI)蛋白胞质结构域中的隐秘蛋白质-蛋白质相互作用基序。
BMC Immunol. 2016 Jul 19;17(1):24. doi: 10.1186/s12865-016-0154-z.
2
Natural splice variant of MHC class I cytoplasmic tail enhances dendritic cell-induced CD8+ T-cell responses and boosts anti-tumor immunity.天然剪接的 MHC Ⅰ类细胞胞质尾区变体增强树突状细胞诱导的 CD8+ T 细胞应答并增强抗肿瘤免疫。
PLoS One. 2011;6(8):e22939. doi: 10.1371/journal.pone.0022939. Epub 2011 Aug 10.
3
Downregulation of class I major histocompatibility complex surface expression by varicella-zoster virus involves open reading frame 66 protein kinase-dependent and -independent mechanisms.

本文引用的文献

1
Cleavage of structural proteins during the assembly of the head of bacteriophage T4.在噬菌体T4头部组装过程中结构蛋白的切割
Nature. 1970 Aug 15;227(5259):680-5. doi: 10.1038/227680a0.
2
A phosphorylated light-chain component of myosin.肌球蛋白的一种磷酸化轻链成分。
Biochem J. 1972 Jul;128(3):105P-106P. doi: 10.1042/bj1280105p.
3
Papain-solubilized HL-A antigens from cultured human lymphocytes contain two peptide fragments.从培养的人淋巴细胞中用木瓜蛋白酶溶解的HL-A抗原含有两个肽片段。
水痘带状疱疹病毒对I类主要组织相容性复合体表面表达的下调涉及开放阅读框66蛋白激酶依赖性和非依赖性机制。
J Virol. 2007 Sep;81(17):9034-49. doi: 10.1128/JVI.00711-07. Epub 2007 Jun 13.
4
Interaction of class I human leukocyte antigen (HLA-I) molecules with insulin receptors and its effect on the insulin-signaling cascade.I类人类白细胞抗原(HLA-I)分子与胰岛素受体的相互作用及其对胰岛素信号级联反应的影响。
Mol Biol Cell. 1997 Dec;8(12):2463-74. doi: 10.1091/mbc.8.12.2463.
5
Molecular characterization of HLA-A, B homologues in owl monkeys and other nonhuman primates.猫头鹰猴及其他非人灵长类动物中HLA - A、B同源物的分子特征
Immunogenetics. 1980;11(2):131-43. doi: 10.1007/BF01567779.
6
Intramembrane particles and the organization of lymphocyte membrane proteins.膜内颗粒与淋巴细胞膜蛋白的组织
J Cell Biol. 1981 Mar;88(3):591-8. doi: 10.1083/jcb.88.3.591.
7
Qa-2 does not display structural genetic polymorphism detectable on isoelectric-focusing gels.Qa - 2在等电聚焦凝胶上未显示出可检测到的结构遗传多态性。
Immunogenetics. 1982;16(4):363-6. doi: 10.1007/BF00372308.
8
Ly-5 (T200) structural polymorphism: the identification of intramolecular sites of phosphorylation.Ly-5(T200)结构多态性:磷酸化分子内位点的鉴定。
Immunogenetics. 1982;16(5):485-90. doi: 10.1007/BF00372106.
9
Structure of the heavy chain of the H-2Kk histocompatibility antigen.H-2Kk组织相容性抗原重链的结构
Proc Natl Acad Sci U S A. 1980 Jul;77(7):4239-43. doi: 10.1073/pnas.77.7.4239.
10
HLA-A2 and HLA-B7 antigens are phosphorylated in vitro by rous sarcoma virus kinase (pp60v-src) at a tyrosine residue encoded in a highly conserved exon of the intracellular domain.
Proc Natl Acad Sci U S A. 1983 May;80(10):2894-8. doi: 10.1073/pnas.80.10.2894.
Proc Natl Acad Sci U S A. 1973 May;70(5):1603-7. doi: 10.1073/pnas.70.5.1603.
4
Phosphorylation of an endogenous membrane protein by an endogenous, membrane-associated cyclic adenosine 3',5'-monophosphate-dependent protein kinase in human erythrocyte ghosts.人红细胞血影中一种内源性膜相关环磷酸腺苷依赖性蛋白激酶对一种内源性膜蛋白的磷酸化作用。
J Biol Chem. 1972 Dec 25;247(24):8145-53.
5
Dephosphorylation of the inhibitor component of troponin by phosphorylase phosphatase.磷酸化酶磷酸酶对肌钙蛋白抑制成分的去磷酸化作用。
J Biol Chem. 1972 Aug 25;247(16):5275-7.
6
Phosphorylation of the inhibitor component of troponin by phosphorylase kinase.磷酸化酶激酶对肌钙蛋白抑制成分的磷酸化作用。
J Biol Chem. 1972 Aug 25;247(16):5272-4.
7
Heterogeneity of HL-A antigen preparations is due to variable sialic acid content.HL - A抗原制剂的异质性是由于唾液酸含量可变。
Proc Natl Acad Sci U S A. 1974 Oct;71(10):3998-4001. doi: 10.1073/pnas.71.10.3998.
8
Transmembrane control of the receptors on normal and tumor cells. I. Cytoplasmic influence over surface components.正常细胞和肿瘤细胞上受体的跨膜调控。I. 细胞质对表面成分的影响。
Biochim Biophys Acta. 1976 Apr 13;457(1):57-108. doi: 10.1016/0304-4157(76)90014-9.
9
Amino-acid sequence and oligosaccharide attachment sites of human erythrocyte glycophorin.人红细胞血型糖蛋白的氨基酸序列和寡糖连接位点
Proc Natl Acad Sci U S A. 1975 Aug;72(8):2964-8. doi: 10.1073/pnas.72.8.2964.
10
Orientation of cell-surface antigens in the lipid bilayer of lymphocyte plasma membrane.淋巴细胞质膜脂质双层中细胞表面抗原的取向
Nature. 1977 Sep 22;269(5626):307-11. doi: 10.1038/269307a0.