Suppr超能文献

病例报告:灾区的脑脓肿——超越职责范围。

Case report: a brain abscess in a disaster zone- beyond the call of duty.

作者信息

Weiser Giora, Mendlovic Joseph, Dagan David, Albukrek Dov, Shpriz Manor, Merin Ofer

机构信息

Medical Corps, Israel Defense Forces, Tel Hashomer, Israel.

Shaare Zedek Medical Center, 12 Shmuel Bait street, Jerusalem, 93722 Israel.

出版信息

Disaster Mil Med. 2015 Jun 8;1:13. doi: 10.1186/s40696-015-0003-2. eCollection 2015.

Abstract

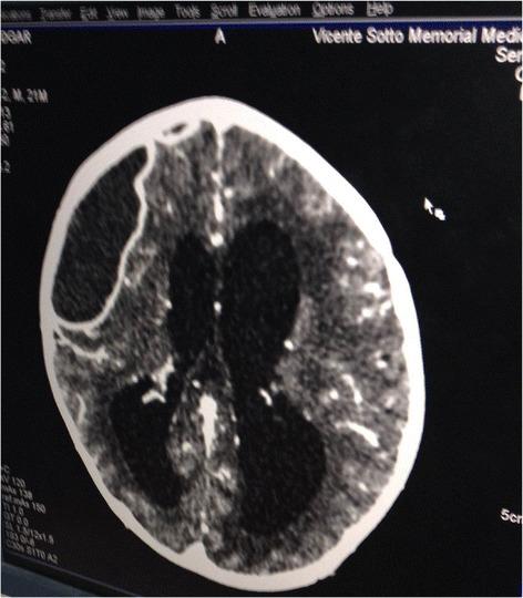
We present a case of a child with a suspected brain abscess treated by a military field hospital in post-typhoon Philippines. We review our intervention and decision process both at the field hospital and following his transfer to a referral center. These interventions were critical for his successful outcome.

摘要

我们介绍了一名疑似脑脓肿儿童的病例,该病例由菲律宾台风过后的一家军队野战医院进行治疗。我们回顾了在野战医院以及他转至转诊中心后的干预措施和决策过程。这些干预措施对其成功康复至关重要。

https://cdn.ncbi.nlm.nih.gov/pmc/blobs/847b/5329920/1c29ef0c66b6/40696_2015_3_Fig1_HTML.jpg

相似文献

1
Case report: a brain abscess in a disaster zone- beyond the call of duty.
Disaster Mil Med. 2015 Jun 8;1:13. doi: 10.1186/s40696-015-0003-2. eCollection 2015.
2
Pediatric Emergency Care in Disaster-Affected Areas: A Firsthand Perspective after Typhoons Bopha and Haiyan in the Philippines.
J Pediatr Intensive Care. 2017 Mar;6(1):19-27. doi: 10.1055/s-0036-1584910. Epub 2016 Jul 1.
3
Typhoon Haiyan disaster in the Philippines: paediatric field hospital perspectives.
Emerg Med J. 2014 Dec;31(12):951-3. doi: 10.1136/emermed-2014-203777. Epub 2014 Sep 22.
4
Improvised Neonatal Care-Realizing the Gaps in a Disaster Zone.
Prehosp Disaster Med. 2016 Feb;31(1):111-3. doi: 10.1017/S1049023X15005403. Epub 2015 Dec 9.
5
Pediatric otolaryngology in a field hospital in the Philippines.
Int J Pediatr Otorhinolaryngol. 2014 May;78(5):807-11. doi: 10.1016/j.ijporl.2014.02.019. Epub 2014 Mar 5.
6
Characterizing Hospital Admissions to a Tertiary Care Hospital After Typhoon Haiyan.
Disaster Med Public Health Prep. 2016 Apr;10(2):240-7. doi: 10.1017/dmp.2015.165. Epub 2016 Feb 1.
7
Clinical Characteristics of the 2013 Haiyan Typhoon Victims Presenting to the Belgian First Aid and Support Team.
Disaster Med Public Health Prep. 2019 Apr;13(2):265-278. doi: 10.1017/dmp.2018.54. Epub 2018 Jul 4.
8
Management of Diabetic Surgical Patients in a Deployed Field Hospital: A Model for Acute Non-Communicable Disease Care in Disaster.
Prehosp Disaster Med. 2017 Dec;32(6):657-661. doi: 10.1017/S1049023X17006707. Epub 2017 Jul 27.

本文引用的文献

1
Osmotherapy in brain edema: a questionable therapy.
J Neurosurg Anesthesiol. 2012 Oct;24(4):407-12. doi: 10.1097/01.ana.0000419730.29492.8b.
2
Pediatric infectious diseases: 2009 update for the Rogers' Textbook of Pediatric Intensive Care.
Pediatr Crit Care Med. 2010 Jan;11(1):117-23. doi: 10.1097/PCC.0b013e3181c8790c.
3
Brain abscess in children.
Neurosurg Focus. 2008;24(6):E6. doi: 10.3171/FOC/2008/24/6/E6.
4
Lumbar puncture and the risk of herniation: when should we first perform CT?
J Neurol. 2002 Feb;249(2):129-37. doi: 10.1007/pl00007855.

文献AI研究员

20分钟写一篇综述,助力文献阅读效率提升50倍。

立即体验

用中文搜PubMed

大模型驱动的PubMed中文搜索引擎

马上搜索

文档翻译

学术文献翻译模型,支持多种主流文档格式。

立即体验