• 文献检索
  • 文档翻译
  • 深度研究
  • 学术资讯
  • Suppr Zotero 插件Zotero 插件
  • 邀请有礼
  • 套餐&价格
  • 历史记录
应用&插件
Suppr Zotero 插件Zotero 插件浏览器插件Mac 客户端Windows 客户端微信小程序
定价
高级版会员购买积分包购买API积分包
服务
文献检索文档翻译深度研究API 文档MCP 服务
关于我们
关于 Suppr公司介绍联系我们用户协议隐私条款
关注我们

Suppr 超能文献

核心技术专利:CN118964589B侵权必究
粤ICP备2023148730 号-1Suppr @ 2026

文献检索

告别复杂PubMed语法,用中文像聊天一样搜索,搜遍4000万医学文献。AI智能推荐,让科研检索更轻松。

立即免费搜索

文件翻译

保留排版,准确专业,支持PDF/Word/PPT等文件格式,支持 12+语言互译。

免费翻译文档

深度研究

AI帮你快速写综述,25分钟生成高质量综述,智能提取关键信息,辅助科研写作。

立即免费体验

胎儿食管上皮、食管癌及癌旁食管上皮的蛋白质组学分析以及一种代表性差异蛋白PRX6的免疫组织化学特征

Proteomic profiling of fetal esophageal epithelium, esophageal cancer, and tumor-adjacent esophageal epithelium and immunohistochemical characterization of a representative differential protein, PRX6.

作者信息

Guo Jun-Hui, Xing Guo-Lan, Fang Xin-Hui, Wu Hui-Fang, Zhang Bo, Yu Jin-Zhong, Fan Zong-Min, Wang Li-Dong

机构信息

Jun-Hui Guo, Henan Province Hospital of TCM, Zhengzhou 450000, Henan Province, China.

出版信息

World J Gastroenterol. 2017 Feb 28;23(8):1434-1442. doi: 10.3748/wjg.v23.i8.1434.

DOI:10.3748/wjg.v23.i8.1434
PMID:28293090
原文链接:https://pmc.ncbi.nlm.nih.gov/articles/PMC5330828/
Abstract

AIM

To understand the molecular mechanism of esophageal cancer development and provide molecular markers for screening high-risk populations and early diagnosis.

METHODS

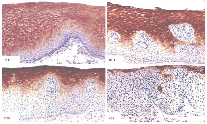
Two-dimensional electrophoresis combined with mass spectrometry were adopted to screen differentially expressed proteins in nine cases of fetal esophageal epithelium, eight cases of esophageal cancer, and eight cases of tumor-adjacent normal esophageal epithelium collected from fetuses of different gestational age, or esophageal cancer patients from a high-risk area of esophageal cancer in China. Immunohistochemistry (avidin-biotin-horseradish peroxidase complex method) was used to detect the expression of peroxiredoxin (PRX)6 in 91 cases of esophageal cancer, tumor-adjacent normal esophageal tissue, basal cell hyperplasia, dysplasia, and carcinoma , as well as 65 cases of esophageal epithelium from fetuses at a gestational age of 3-9 mo.

RESULTS

After peptide mass fingerprint analysis and search of protein databases, 21 differential proteins were identified; some of which represent a protein isoform. Varying degrees of expression of PRX6 protein, which was localized mainly in the cytoplasm, were detected in adult and fetal normal esophageal tissues, precancerous lesions, and esophageal cancer. With the progression of esophageal lesions, PRX6 protein expression showed a declining trend ( < 0.05). In fetal epithelium from fetuses at gestational age 3-6 mo, PRX6 protein expression showed a declining trend with age ( < 0.05). PRX6 protein expression was significantly higher in well-differentiated esophageal cancer tissues than in poorly differentiated esophageal cancer tissues ( < 0.05).

CONCLUSION

Development and progression of esophageal cancer result from interactions of genetic changes (accumulation or superposition). PRX6 protein is associated with fetal esophageal development and cancer differentiation.

摘要

目的

了解食管癌发生发展的分子机制,为高危人群筛查及早期诊断提供分子标志物。

方法

采用二维电泳结合质谱技术,对收集自不同孕周胎儿或中国食管癌高发区食管癌患者的9例胎儿食管上皮、8例食管癌及8例癌旁正常食管上皮中的差异表达蛋白进行筛选。采用免疫组织化学法(抗生物素蛋白-生物素-辣根过氧化物酶复合物法)检测91例食管癌、癌旁正常食管组织、基底细胞增生、发育异常及癌组织,以及65例孕龄3-9个月胎儿食管上皮中过氧化物酶(PRX)6的表达。

结果

经肽质量指纹图谱分析及蛋白质数据库检索,鉴定出21种差异蛋白;其中部分为蛋白质异构体。在成人及胎儿正常食管组织、癌前病变及食管癌组织中均检测到PRX6蛋白不同程度的表达,其主要定位于细胞质。随着食管病变进展,PRX6蛋白表达呈下降趋势(P<0.05)。在孕龄3-6个月胎儿的食管上皮中,PRX6蛋白表达随年龄增长呈下降趋势(P<0.05)。高分化食管癌组织中PRX6蛋白表达明显高于低分化食管癌组织(P<0.05)。

结论

食管癌的发生发展是基因改变(积累或叠加)相互作用的结果。PRX6蛋白与胎儿食管发育及癌分化相关。

https://cdn.ncbi.nlm.nih.gov/pmc/blobs/6654/5330828/0ec5df5e7b05/WJG-23-1434-g005.jpg
https://cdn.ncbi.nlm.nih.gov/pmc/blobs/6654/5330828/60946b03b99b/WJG-23-1434-g001.jpg
https://cdn.ncbi.nlm.nih.gov/pmc/blobs/6654/5330828/f51c84d7c101/WJG-23-1434-g002.jpg
https://cdn.ncbi.nlm.nih.gov/pmc/blobs/6654/5330828/c04bad54ba70/WJG-23-1434-g003.jpg
https://cdn.ncbi.nlm.nih.gov/pmc/blobs/6654/5330828/c1daae8f28a6/WJG-23-1434-g004.jpg
https://cdn.ncbi.nlm.nih.gov/pmc/blobs/6654/5330828/0ec5df5e7b05/WJG-23-1434-g005.jpg
https://cdn.ncbi.nlm.nih.gov/pmc/blobs/6654/5330828/60946b03b99b/WJG-23-1434-g001.jpg
https://cdn.ncbi.nlm.nih.gov/pmc/blobs/6654/5330828/f51c84d7c101/WJG-23-1434-g002.jpg
https://cdn.ncbi.nlm.nih.gov/pmc/blobs/6654/5330828/c04bad54ba70/WJG-23-1434-g003.jpg
https://cdn.ncbi.nlm.nih.gov/pmc/blobs/6654/5330828/c1daae8f28a6/WJG-23-1434-g004.jpg
https://cdn.ncbi.nlm.nih.gov/pmc/blobs/6654/5330828/0ec5df5e7b05/WJG-23-1434-g005.jpg

相似文献

1
Proteomic profiling of fetal esophageal epithelium, esophageal cancer, and tumor-adjacent esophageal epithelium and immunohistochemical characterization of a representative differential protein, PRX6.胎儿食管上皮、食管癌及癌旁食管上皮的蛋白质组学分析以及一种代表性差异蛋白PRX6的免疫组织化学特征
World J Gastroenterol. 2017 Feb 28;23(8):1434-1442. doi: 10.3748/wjg.v23.i8.1434.
2
Profiling of differentially expressed cancer-related genes in esophageal squamous cell carcinoma (ESCC) using human cancer cDNA arrays: overexpression of oncogene MET correlates with tumor differentiation in ESCC.利用人类癌症cDNA阵列分析食管鳞状细胞癌(ESCC)中差异表达的癌症相关基因:癌基因MET的过表达与ESCC中的肿瘤分化相关。
Clin Cancer Res. 2001 Nov;7(11):3519-25.
3
Proteomic analysis of primary esophageal squamous cell carcinoma reveals downregulation of a cell adhesion protein, periplakin.原发性食管鳞状细胞癌的蛋白质组学分析显示一种细胞粘附蛋白桥粒斑蛋白表达下调。
Proteomics. 2006 Feb;6(3):1011-8. doi: 10.1002/pmic.200500262.
4
[Dysregulation of Annexin II expression in esophageal squamous cell cancer and adjacent tissues from a high-incidence area for esophageal cancer in Henan province].[河南省食管癌高发区食管鳞状细胞癌及癌旁组织中膜联蛋白II表达失调]
Ai Zheng. 2007 Jul;26(7):730-6.
5
Expression of p53-related protein p63 in the gastrointestinal tract and in esophageal metaplastic and neoplastic disorders.p53相关蛋白p63在胃肠道以及食管化生和肿瘤性疾病中的表达
Hum Pathol. 2001 Nov;32(11):1157-65. doi: 10.1053/hupa.2001.28951.
6
Loss of MAL expression in precancerous lesions of the esophagus.食管癌前病变中MAL表达缺失。
Ann Surg Oncol. 2007 May;14(5):1670-7. doi: 10.1245/s10434-006-9064-2. Epub 2006 Dec 6.
7
[Expression of human Sel-1-like gene and its significance in esophageal cancer].[人Sel-1样基因在食管癌中的表达及其意义]
Zhonghua Bing Li Xue Za Zhi. 2007 Jun;36(6):370-4.
8
Comparative proteomic analysis of esophageal squamous cell carcinoma.食管鳞状细胞癌的比较蛋白质组学分析
Proteomics. 2005 Jul;5(11):2960-71. doi: 10.1002/pmic.200401175.
9
Expressions of PCNA, p53, p21(WAF-1) and cell proliferation in fetal esophageal epithelia: comparative study with adult esophageal lesions from subjects at high-incidence area for esophageal cancer in Henan, North China.胎儿食管上皮中PCNA、p53、p21(WAF-1)的表达及细胞增殖:与中国北方河南食管癌高发区成人食管病变的比较研究
World J Gastroenterol. 2003 Jul;9(7):1601-3. doi: 10.3748/wjg.v9.i7.1601.
10
Proteomics-based approach identifying autoantibody against peroxiredoxin VI as a novel serum marker in esophageal squamous cell carcinoma.基于蛋白质组学的方法鉴定抗过氧化物酶体增殖物激活受体VI自身抗体作为食管鳞状细胞癌的一种新型血清标志物。
Clin Cancer Res. 2006 Nov 1;12(21):6415-20. doi: 10.1158/1078-0432.CCR-06-1315.

引用本文的文献

1
A metabolomic and proteomic study to elucidate the molecular mechanisms of immunotherapy resistance in patients with oesophageal squamous cell carcinoma.一项代谢组学和蛋白质组学研究,以阐明食管鳞状细胞癌患者免疫治疗耐药的分子机制。
Biomed Rep. 2023 Apr 6;18(5):36. doi: 10.3892/br.2023.1619. eCollection 2023 May.
2
[Development and validation of a prognostic model based on SEER data for patients with esophageal carcinoma after esophagectomy].[基于监测、流行病学与最终结果(SEER)数据的食管癌切除术后患者预后模型的开发与验证]
Nan Fang Yi Ke Da Xue Xue Bao. 2022 Jun 20;42(6):794-804. doi: 10.12122/j.issn.1673-4254.2022.06.02.
3

本文引用的文献

1
Genome-wide association study of esophageal squamous cell carcinoma in Chinese subjects identifies susceptibility loci at PLCE1 and C20orf54.全基因组关联研究鉴定出中国人群食管鳞癌的易感基因座 PLCE1 和 C20orf54。
Nat Genet. 2010 Sep;42(9):759-63. doi: 10.1038/ng.648. Epub 2010 Aug 22.
2
Comparative genomic hybridization: comparison between esophageal squamous cell carcinoma and gastric cardia adenocarcinoma from a high-incidence area for both cancers in Henan, northern China.比较基因组杂交:中国北方河南省食管癌和贲门腺癌高发地区食管鳞状细胞癌与贲门腺癌的比较
Dis Esophagus. 2006;19(6):459-67. doi: 10.1111/j.1442-2050.2006.00620.x.
3
Effects of Peroxiredoxin 6 and Its Mutants on the Isoproterenol Induced Myocardial Injury in H9C2 Cells and Rats.
过氧化物酶 6 及其突变体对异丙肾上腺素诱导的 H9C2 细胞和大鼠心肌损伤的影响。
Oxid Med Cell Longev. 2022 Mar 26;2022:2576310. doi: 10.1155/2022/2576310. eCollection 2022.
4
Elevated expression of the RNA-binding motif protein 43 predicts poor prognosis in esophageal squamous cell carcinoma.RNA 结合基序蛋白 43 的高表达预示着食管鳞状细胞癌预后不良。
Int J Clin Oncol. 2021 Oct;26(10):1847-1855. doi: 10.1007/s10147-021-01976-y. Epub 2021 Aug 16.
5
The Clinicopathological Correlations of hTERC Amplification with Esophageal Squamous Cell Precursor Lesions.端粒酶 RNA 基因扩增与食管鳞状细胞前病变的临床病理相关性。
Dig Dis Sci. 2019 Jan;64(1):68-75. doi: 10.1007/s10620-018-5318-7. Epub 2018 Oct 11.
6
Redox Paradox: A Novel Approach to Therapeutics-Resistant Cancer.氧化还原悖论:一种治疗抵抗性癌症的新方法。
Antioxid Redox Signal. 2018 Nov 1;29(13):1237-1272. doi: 10.1089/ars.2017.7485. Epub 2018 Feb 21.
Comparative proteomic analysis of esophageal squamous cell carcinoma.
食管鳞状细胞癌的比较蛋白质组学分析
Proteomics. 2005 Jul;5(11):2960-71. doi: 10.1002/pmic.200401175.
4
Proteomic analysis of cholangiocarcinoma cell line.胆管癌细胞系的蛋白质组学分析
Proteomics. 2004 Apr;4(4):1135-44. doi: 10.1002/pmic.200300651.
5
Identification of tumor-associated proteins in oral tongue squamous cell carcinoma by proteomics.通过蛋白质组学鉴定口腔舌鳞状细胞癌中的肿瘤相关蛋白
Proteomics. 2004 Jan;4(1):271-8. doi: 10.1002/pmic.200300550.
6
Regeneration of peroxiredoxins during recovery after oxidative stress: only some overoxidized peroxiredoxins can be reduced during recovery after oxidative stress.氧化应激后恢复过程中过氧化物酶的再生:氧化应激后恢复过程中只有一些过度氧化的过氧化物酶能够被还原。
J Biol Chem. 2003 Sep 26;278(39):37146-53. doi: 10.1074/jbc.M305161200. Epub 2003 Jul 8.
7
Time trends incidence of both major histologic types of esophageal carcinomas in selected countries, 1973-1995.1973 - 1995年选定国家中两种主要组织学类型食管癌的发病时间趋势
Int J Cancer. 2002 Jun 20;99(6):860-8. doi: 10.1002/ijc.10427.
8
Nonredundant antioxidant defense by multiple two-cysteine peroxiredoxins in human prostate cancer cells.人前列腺癌细胞中多种双半胱氨酸过氧化物酶的非冗余抗氧化防御
Mol Med. 2002 Feb;8(2):95-102.
9
Overexpression of peroxiredoxins I, II, III, V, and VI in malignant mesothelioma.过氧化物还原酶I、II、III、V和VI在恶性间皮瘤中的过表达。
J Pathol. 2002 Mar;196(3):316-23. doi: 10.1002/path.1042.
10
Peroxiredoxin, a novel family of peroxidases.过氧化物酶体增殖物激活受体,一种新型的过氧化物酶家族。
IUBMB Life. 2001 Jul;52(1-2):35-41. doi: 10.1080/15216540252774748.