• 文献检索
  • 文档翻译
  • 深度研究
  • 学术资讯
  • Suppr Zotero 插件Zotero 插件
  • 邀请有礼
  • 套餐&价格
  • 历史记录
应用&插件
Suppr Zotero 插件Zotero 插件浏览器插件Mac 客户端Windows 客户端微信小程序
定价
高级版会员购买积分包购买API积分包
服务
文献检索文档翻译深度研究API 文档MCP 服务
关于我们
关于 Suppr公司介绍联系我们用户协议隐私条款
关注我们

Suppr 超能文献

核心技术专利:CN118964589B侵权必究
粤ICP备2023148730 号-1Suppr @ 2026

文献检索

告别复杂PubMed语法,用中文像聊天一样搜索,搜遍4000万医学文献。AI智能推荐,让科研检索更轻松。

立即免费搜索

文件翻译

保留排版,准确专业,支持PDF/Word/PPT等文件格式,支持 12+语言互译。

免费翻译文档

深度研究

AI帮你快速写综述,25分钟生成高质量综述,智能提取关键信息,辅助科研写作。

立即免费体验

一名患有鸟氨酸转氨甲酰酶缺乏症的女性患者产后发生高氨血症危象。

Hyperammonemia crisis following parturition in a female patient with ornithine transcarbamylase deficiency.

作者信息

Kido Jun, Kawasaki Tatsuya, Mitsubuchi Hiroshi, Kamohara Hidenobu, Ohba Takashi, Matsumoto Shirou, Endo Fumio, Nakamura Kimitoshi

机构信息

Jun Kido, Tatsuya Kawasaki, Hiroshi Mitsubuchi, Shirou Matsumoto, Fumio Endo, Kimitoshi Nakamura, Department of Pediatrics, Graduate School of Medical Sciences, Kumamoto University, Kumamoto 860-8556, Japan.

出版信息

World J Hepatol. 2017 Feb 28;9(6):343-348. doi: 10.4254/wjh.v9.i6.343.

DOI:10.4254/wjh.v9.i6.343
PMID:28293384
原文链接:https://pmc.ncbi.nlm.nih.gov/articles/PMC5332424/
Abstract

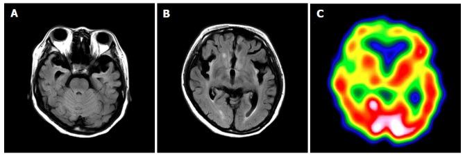
Ornithine transcarbamylase deficiency (OTCD) is an X-linked disorder, with an estimated prevalence of 1 per 80000 live births. Female patients with OTCD develop metabolic crises that are easily provoked by non-predictable common disorders, such as genetic (private mutations and lyonization) and external factors; however, the outcomes of these conditions may differ. We resuscitated a female patient with OTCD from hyperammonemic crisis after she gave birth. Hyperammonemia after parturition in a female patient with OTCD can be fatal, and this type of hyperammonemia persists for an extended period of time. Here, we describe the cause and treatment of hyperammonemia in a female patient with OTCD after parturition. Once hyperammonemia crisis occurs after giving birth, it is difficult to improve the metabolic state. Therefore, it is important to perform an early intervention before hyperammonemia occurs in patients with OTCD or in carriers after parturition.

摘要

鸟氨酸转氨甲酰酶缺乏症(OTCD)是一种X连锁疾病,估计每80000例活产中就有1例患病。患有OTCD的女性患者会出现代谢危机,这些危机很容易由不可预测的常见疾病引发,如遗传因素(私人突变和莱昂化)和外部因素;然而,这些情况的结果可能有所不同。我们成功救治了一名患有OTCD的女性患者,她在分娩后出现了高氨血症危机。患有OTCD的女性患者产后高氨血症可能是致命的,而且这种类型的高氨血症会持续很长一段时间。在此,我们描述了一名患有OTCD的女性患者产后高氨血症的病因及治疗方法。一旦产后发生高氨血症危机,很难改善代谢状态。因此,对于患有OTCD的患者或产后携带者,在高氨血症发生之前进行早期干预非常重要。

https://cdn.ncbi.nlm.nih.gov/pmc/blobs/9376/5332424/87b3b8a47b80/WJH-9-343-g002.jpg
https://cdn.ncbi.nlm.nih.gov/pmc/blobs/9376/5332424/4ac02908965c/WJH-9-343-g001.jpg
https://cdn.ncbi.nlm.nih.gov/pmc/blobs/9376/5332424/87b3b8a47b80/WJH-9-343-g002.jpg
https://cdn.ncbi.nlm.nih.gov/pmc/blobs/9376/5332424/4ac02908965c/WJH-9-343-g001.jpg
https://cdn.ncbi.nlm.nih.gov/pmc/blobs/9376/5332424/87b3b8a47b80/WJH-9-343-g002.jpg

相似文献

1
Hyperammonemia crisis following parturition in a female patient with ornithine transcarbamylase deficiency.一名患有鸟氨酸转氨甲酰酶缺乏症的女性患者产后发生高氨血症危象。
World J Hepatol. 2017 Feb 28;9(6):343-348. doi: 10.4254/wjh.v9.i6.343.
2
Hyperammonemic encephalopathy in a child with ornithine transcarbamylase deficiency due to a novel combined heterozygous mutations.一名因新型复合杂合突变导致鸟氨酸转氨甲酰酶缺乏的儿童发生高氨血症性脑病。
Am J Emerg Med. 2015 Mar;33(3):474.e1-3. doi: 10.1016/j.ajem.2014.08.038. Epub 2014 Aug 23.
3
Pathogenic variants of ornithine transcarbamylase deficiency: Nation-wide study in Japan and literature review.鸟氨酸转氨甲酰酶缺乏症的致病变体:日本全国性研究及文献综述
Front Genet. 2022 Oct 11;13:952467. doi: 10.3389/fgene.2022.952467. eCollection 2022.
4
Hyperammonemia in ornithine transcarbamylase-deficient recipients following living donor liver transplantation from heterozygous carrier donors.来自杂合子携带者供体的活体肝移植后,鸟氨酸转氨甲酰酶缺乏受者出现高氨血症。
Pediatr Transplant. 2017 Feb;21(1). doi: 10.1111/petr.12848. Epub 2016 Nov 28.
5
Ornithine transcarbamylase deficiency unmasked because of gastrointestinal bleeding.鸟氨酸转氨甲酰酶缺乏症因胃肠道出血而被发现。
J Clin Gastroenterol. 2001 Apr;32(4):340-3. doi: 10.1097/00004836-200104000-00013.
6
Prenatal treatment of ornithine transcarbamylase deficiency.鸟氨酸氨甲酰基转移酶缺陷症的产前治疗。
Mol Genet Metab. 2018 Mar;123(3):297-300. doi: 10.1016/j.ymgme.2018.01.004. Epub 2018 Jan 16.
7
An integrated approach to the diagnosis and prospective management of partial ornithine transcarbamylase deficiency.鸟氨酸转氨甲酰酶部分缺乏症的诊断与前瞻性管理的综合方法。
Pediatrics. 2002 Jan;109(1):150-2. doi: 10.1542/peds.109.1.150.
8
Antepartum ornithine transcarbamylase deficiency.产前鸟氨酸转氨甲酰酶缺乏症。
Case Rep Gastroenterol. 2014 Nov 5;8(3):337-45. doi: 10.1159/000369131. eCollection 2014 Sep-Dec.
9
Are asymptomatic carriers of OTC deficiency always asymptomatic? A multicentric retrospective study of risk using the UCDC longitudinal study database.OTC 缺乏症的无症状携带者是否一直无症状?使用 UCDC 纵向研究数据库的多中心回顾性风险研究。
Mol Genet Genomic Med. 2024 Apr;12(4):e2443. doi: 10.1002/mgg3.2443.
10
Father-to-daughter transmission in late-onset OTC deficiency: an underestimated mechanism of inheritance of an X-linked disease.晚发性 OTC 缺乏症的父系传递:X 连锁疾病遗传的一种被低估的机制。
Orphanet J Rare Dis. 2024 Jan 2;19(1):3. doi: 10.1186/s13023-023-02997-8.

引用本文的文献

1
Evaluation of Urea Cycle Activity by Metabolic Flux Analysis Using Mass Spectrometry.使用质谱法通过代谢通量分析评估尿素循环活性。
Methods Mol Biol. 2022;2544:129-144. doi: 10.1007/978-1-0716-2557-6_9.
2
A 36-year-old Man with Repeated Short-term Transient Hyperammonemia and Impaired Consciousness with a Confirmed Carbamoyl Phosphate Synthase 1 Gene Monoallelic Mutation.一位 36 岁男性,反复发作的短期一过性高氨血症伴意识障碍,证实携带氨甲酰磷酸合成酶 1 基因单等位基因突变。
Intern Med. 2022 May 1;61(9):1387-1392. doi: 10.2169/internalmedicine.7961-21. Epub 2021 Oct 19.
3
Physical, cognitive, and social status of patients with urea cycle disorders in Japan.

本文引用的文献

1
A rare cause of postpartum coma: isolated hyperammonemia due to urea cycle disorder.产后昏迷的罕见原因:因尿素循环障碍导致的孤立性高氨血症。
Am J Emerg Med. 2016 Jul;34(7):1324.e3-4. doi: 10.1016/j.ajem.2015.12.013. Epub 2015 Dec 12.
2
Diagnosis and treatment of urea cycle disorder in Japan.日本尿素循环障碍的诊断与治疗
Pediatr Int. 2014 Aug;56(4):506-9. doi: 10.1111/ped.12439.
3
Multidisciplinary management of ornithine transcarbamylase (OTC) deficiency in pregnancy: essential to prevent hyperammonemic complications.
日本尿素循环障碍患者的身体、认知和社会状况。
Mol Genet Metab Rep. 2021 Feb 7;27:100724. doi: 10.1016/j.ymgmr.2021.100724. eCollection 2021 Jun.
4
Clinical and cranial MRI features of female patients with ornithine transcarbamylase deficiency: Two case reports.鸟氨酸转氨甲酰酶缺乏症女性患者的临床及头颅MRI特征:两例报告
Medicine (Baltimore). 2019 Aug;98(33):e16827. doi: 10.1097/MD.0000000000016827.
5
Early liver transplantation in neonatal-onset and moderate urea cycle disorders may lead to normal neurodevelopment.新生儿期和中度尿素循环障碍的早期肝移植可能导致正常的神经发育。
Metab Brain Dis. 2018 Oct;33(5):1517-1523. doi: 10.1007/s11011-018-0259-6. Epub 2018 Jun 11.
6
Investigation of Liver Injury of Thunb. in Rats by Metabolomics and Traditional Approaches.基于代谢组学和传统方法对大鼠中蒺藜肝损伤的研究
Front Pharmacol. 2017 Nov 1;8:791. doi: 10.3389/fphar.2017.00791. eCollection 2017.
孕期鸟氨酸转氨甲酰酶(OTC)缺乏症的多学科管理:预防高氨血症并发症的关键
BMJ Case Rep. 2013 Jan 2;2013:bcr2012007416. doi: 10.1136/bcr-2012-007416.
4
Long-term outcome and intervention of urea cycle disorders in Japan.日本尿素循环障碍的长期预后和干预措施。
J Inherit Metab Dis. 2012 Sep;35(5):777-85. doi: 10.1007/s10545-011-9427-0. Epub 2011 Dec 14.
5
Brain energy metabolism and mitochondrial dysfunction in acute and chronic hepatic encephalopathy.急性和慢性肝性脑病中的脑能量代谢和线粒体功能障碍。
Neurochem Int. 2012 Jun;60(7):697-706. doi: 10.1016/j.neuint.2011.09.007. Epub 2011 Oct 1.
6
A series of pregnancies in women with inherited metabolic disease.一系列遗传性代谢疾病女性的妊娠。
J Inherit Metab Dis. 2012 May;35(3):419-24. doi: 10.1007/s10545-011-9389-2. Epub 2011 Sep 15.
7
Living donor liver transplantation for ornithine transcarbamylase deficiency.活体供肝移植治疗鸟氨酸转氨甲酰酶缺乏症。
Pediatr Transplant. 2011 Jun;15(4):390-5. doi: 10.1111/j.1399-3046.2011.01494.x. Epub 2011 Mar 9.
8
Living-donor liver transplantation for carbamoyl phosphate synthetase 1 deficiency.活体供肝肝移植治疗氨甲酰磷酸合成酶1缺乏症
Pediatr Transplant. 2010 Dec;14(8):1036-40. doi: 10.1111/j.1399-3046.2010.01402.x. Epub 2010 Sep 23.
9
Management of ornithine transcarbamylase deficiency in pregnancy.妊娠鸟氨酸氨甲酰基转移酶缺陷症的管理。
Am J Perinatol. 2010 Nov;27(10):775-84. doi: 10.1055/s-0030-1254240. Epub 2010 May 10.
10
Effects of arginine treatment on nutrition, growth and urea cycle function in seven Japanese boys with late-onset ornithine transcarbamylase deficiency.精氨酸治疗对七名晚发性鸟氨酸转氨甲酰酶缺乏症日本男孩营养、生长及尿素循环功能的影响
Eur J Pediatr. 2006 Sep;165(9):618-24. doi: 10.1007/s00431-006-0143-y. Epub 2006 May 16.