Suppr超能文献

实验性播散性念珠菌病小鼠的淋巴细胞增殖反应和细胞因子产生

lymphoproliferative response and cytokine production in mice with experimental disseminated candidiasis.

作者信息

Khosravi Ali Reza, Shokri Hojjatollah, Eshghi Shahin

机构信息

Mycology Research Center, Faculty of Veterinary Medicine, University of Tehran, Tehran, Iran.

Department of Pathobiology, Faculty of Veterinary Medicine, Amol University of Special Modern Technologies, Amol, Iran.

出版信息

Iran J Basic Med Sci. 2017 Feb;20(2):193-198. doi: 10.22038/ijbms.2017.8248.

Abstract

OBJECTIVES

Systemic candidiasis is an infection of Candida albicans (C. albicans) causing disseminated disease and sepsis, invariably when host defenses are compromised. We investigated the histopathological changes as well as the lymphoproliferative responses and cytokine production of splenic cells after stimulation with Concanavalin A (Con A) and Pokeweed mitogen (PWM) in mice with disseminated candidiasis.

MATERIALS AND METHODS

Lymphoproliferative responses were stimulated in vitro with Con A (1 µg/ml) and PWM (1 µg/ml) mitogens in Roswell Park Memorial Institute (RPMI) 1640 media, and the production of interferon (IFN)-γ and interleukin-4 (IL-4) in the supernatants was measured by enzyme-linked immunosorbent assay (ELISA).

RESULTS

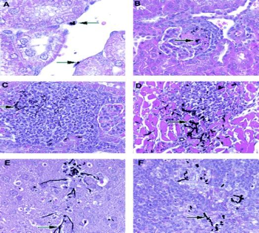
The results revealed that C. albicans organisms multiplied to a greater extent in the kidneys than in the liver and spleen of infected mice. The most predominant forms of C. albicans in different parts of the kidneys were yeast mixed with hyphal forms. Infected mice had a significantly increased proliferative response when splenocytes were stimulated with PWM (2.0±0.16) and Con A (1.9±0.19) (<0.05). PWM and Con A-stimulated production of IFN-γ significantly tended to be higher in infected mice (PWM: 68.4±14.0 pg/ml; Con A: 53.7±17.3 pg/ml) when compared to controls (<0.05). Stimulation with PWM and Con A showed no differences in IL-4 production between infected mice and controls.

CONCLUSION

These findings demonstrated a significant increase in both cell proliferation and IFN-γ secretion in supernatants of PWM and Con A- stimulated splenocyte cultures obtained from mice with disseminated candidiasis.

摘要

目的

系统性念珠菌病是由白色念珠菌感染引起的播散性疾病和败血症,通常发生在宿主防御功能受损时。我们研究了播散性念珠菌病小鼠经刀豆蛋白A(Con A)和商陆有丝分裂原(PWM)刺激后脾细胞的组织病理学变化、淋巴细胞增殖反应和细胞因子产生情况。

材料与方法

在罗斯韦尔公园纪念研究所(RPMI)1640培养基中,用Con A(1μg/ml)和PWM(1μg/ml)有丝分裂原体外刺激淋巴细胞增殖反应,并通过酶联免疫吸附测定(ELISA)测量上清液中干扰素(IFN)-γ和白细胞介素-4(IL-4)的产生。

结果

结果显示,白色念珠菌在感染小鼠肾脏中的繁殖程度高于肝脏和脾脏。肾脏不同部位白色念珠菌最主要的形态是酵母与菌丝形态混合。当脾细胞用PWM(2.0±0.16)和Con A(1.9±0.19)刺激时,感染小鼠的增殖反应显著增加(<0.05)。与对照组相比,感染小鼠经PWM和Con A刺激后IFN-γ的产生显著升高(PWM:68.4±14.0 pg/ml;Con A:53.7±17.3 pg/ml)(<0.05)。PWM和Con A刺激后,感染小鼠与对照组在IL-4产生方面无差异。

结论

这些发现表明,从播散性念珠菌病小鼠获得的经PWM和Con A刺激的脾细胞培养上清液中,细胞增殖和IFN-γ分泌均显著增加。

https://cdn.ncbi.nlm.nih.gov/pmc/blobs/1245/5339661/bbf03bb9f537/IJBMS-20-193-g001.jpg

文献检索

告别复杂PubMed语法,用中文像聊天一样搜索,搜遍4000万医学文献。AI智能推荐,让科研检索更轻松。

立即免费搜索

文件翻译

保留排版,准确专业,支持PDF/Word/PPT等文件格式,支持 12+语言互译。

免费翻译文档

深度研究

AI帮你快速写综述,25分钟生成高质量综述,智能提取关键信息,辅助科研写作。

立即免费体验