Suppr超能文献

18F-FDG PET/CT检查发现左肾原发性肾盂鳞状细胞癌合并长期结石的病例报告。

Case report of primary renal pelvis squamous cell carcinoma coexisting with long-standing calculi in left kidney on 18F-FDG PET/CT.

作者信息

Deng Shengming, Zhang Bin, Huang Ying, Li Jihui, Sang Shibiao, Zhang Wei

机构信息

Department of Nuclear Medicine, The First Affiliated Hospital of Soochow University, Suzhou, China.

出版信息

Medicine (Baltimore). 2017 Mar;96(11):e6341. doi: 10.1097/MD.0000000000006341.

Abstract

RATIONALE

Primary renal pelvis squamous cell carcinoma (SCC) is an extremely rare neoplasm. In many patients, the SCC was associated with renal calculi.

PATIENT CONCERNS

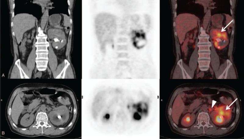
A 61-year-old male presented with intermittent pain at the left lumbar region for 3 days. The PET/CT images demonstrated increased F-FDG uptake in the upper pole of the left kidney and left renal hilar lymph nodes.

DIAGNOSES

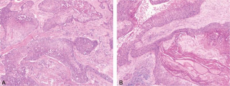
Pathologic examination revealed well-moderately differentiated renal pelvis SCC with lymphatic metastasis.

INTERVENTIONS

The patient underwent a left nephrectomy a few days after the initial staging PET/CT study.

OUTCOMES

No growing lesion or metastasis was observed during a 6-month follow-up.

LESSONS

Our case demonstrates that F-FDG PET/CT is a useful diagnostic tool to evaluate primary renal pelvic SCC and detect metastatic lymph nodes in patients with long-standing calculi.

摘要

理论依据

原发性肾盂鳞状细胞癌(SCC)是一种极其罕见的肿瘤。在许多患者中,SCC与肾结石有关。

患者情况

一名61岁男性因左侧腰部间歇性疼痛3天前来就诊。PET/CT图像显示左肾上极和左肾门淋巴结的F-FDG摄取增加。

诊断

病理检查显示为中分化肾盂SCC伴淋巴转移。

干预措施

在初次分期PET/CT检查后几天,患者接受了左肾切除术。

结果

在6个月的随访期间未观察到病变进展或转移。

经验教训

我们的病例表明,F-FDG PET/CT是评估原发性肾盂SCC和检测长期患有结石患者转移性淋巴结的有用诊断工具。

https://cdn.ncbi.nlm.nih.gov/pmc/blobs/f637/5369919/653a9d6a2261/medi-96-e6341-g001.jpg

文献检索

告别复杂PubMed语法,用中文像聊天一样搜索,搜遍4000万医学文献。AI智能推荐,让科研检索更轻松。

立即免费搜索

文件翻译

保留排版,准确专业,支持PDF/Word/PPT等文件格式,支持 12+语言互译。

免费翻译文档

深度研究

AI帮你快速写综述,25分钟生成高质量综述,智能提取关键信息,辅助科研写作。

立即免费体验