• 文献检索
  • 文档翻译
  • 深度研究
  • 学术资讯
  • Suppr Zotero 插件Zotero 插件
  • 邀请有礼
  • 套餐&价格
  • 历史记录
应用&插件
Suppr Zotero 插件Zotero 插件浏览器插件Mac 客户端Windows 客户端微信小程序
定价
高级版会员购买积分包购买API积分包
服务
文献检索文档翻译深度研究API 文档MCP 服务
关于我们
关于 Suppr公司介绍联系我们用户协议隐私条款
关注我们

Suppr 超能文献

核心技术专利:CN118964589B侵权必究
粤ICP备2023148730 号-1Suppr @ 2026

文献检索

告别复杂PubMed语法,用中文像聊天一样搜索,搜遍4000万医学文献。AI智能推荐,让科研检索更轻松。

立即免费搜索

文件翻译

保留排版,准确专业,支持PDF/Word/PPT等文件格式,支持 12+语言互译。

免费翻译文档

深度研究

AI帮你快速写综述,25分钟生成高质量综述,智能提取关键信息,辅助科研写作。

立即免费体验

一例原发性肾鳞状细胞癌患者化疗后完全病理缓解的病例报告。

A case report of complete pathological remission after chemotherapy in a patient with primary renal squamous cell carcinoma.

作者信息

Yu Haiming, Yu Lan, Li Jinying, Wang Yu, Liu Li, Zhang Xiaotao, Han Xiaona, Cheng Xi

机构信息

Day Ward of Chemotherapy, Qingdao Central Hospital, Qingdao, China.

出版信息

Transl Androl Urol. 2021 Feb;10(2):997-1005. doi: 10.21037/tau-20-1483.

DOI:10.21037/tau-20-1483
PMID:33718101
原文链接:https://pmc.ncbi.nlm.nih.gov/articles/PMC7947427/
Abstract

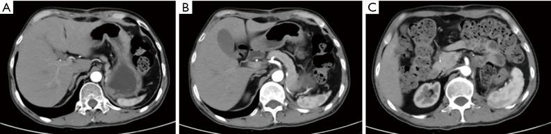
This is the first case report of the outcomes of systemic chemotherapy in a patient with locally advanced renal squamous cell carcinoma, a rare tumor, as well as the first next generation sequencing study of this rare tumor. The patient's main symptoms were fever and low back pain. Initial positron emission tomography and computed tomography (PET-CT) suggested a malignant renal tumor at onset, but biopsy confirmed renal squamous cell carcinoma. Next generation sequencing showed a low level of microsatellite instability (MSI-L), a high tumor mutational burden (TMB-H), a high neoantigen burden (TNB-H), and a strong loss of heterozygosity (LOH) for human leukocyte antigen (HLA), with 67 deleterious mutations. The patient achieved partial radiological remission after a cycle of systemic chemotherapy with albumin-bound paclitaxel combined with nedaplatin. After radical resection of the left renal tumor, postoperative pathology confirmed complete tumor remission and tumor-like xanthogranulomatous pyelonephritis. Conclusion: This renal squamous cell carcinoma patient responded to systemic chemotherapy with paclitaxel combined with platinum, providing a reference for the future treatment of similar cases. Pathology and gene sequencing indicated that renal squamous cell carcinoma occurred in a background of active inflammation and that the tumor evolved immune escape mechanisms such as loss of HLA heterozygosity, with gene repair defects and TMB-H.

摘要

这是首例关于局部晚期肾鳞状细胞癌(一种罕见肿瘤)患者全身化疗结果的病例报告,也是该罕见肿瘤的首例二代测序研究。患者的主要症状为发热和腰痛。初始正电子发射断层扫描和计算机断层扫描(PET-CT)显示起病时为恶性肾肿瘤,但活检确诊为肾鳞状细胞癌。二代测序显示微卫星不稳定性水平低(MSI-L)、肿瘤突变负荷高(TMB-H)、新抗原负荷高(TNB-H)以及人类白细胞抗原(HLA)杂合性缺失严重(LOH),有67个有害突变。患者在接受白蛋白结合型紫杉醇联合奈达铂的全身化疗一个周期后实现了部分影像学缓解。左肾肿瘤根治性切除术后,术后病理证实肿瘤完全缓解以及肿瘤样黄色肉芽肿性肾盂肾炎。结论:该肾鳞状细胞癌患者对紫杉醇联合铂类的全身化疗有反应,为未来类似病例的治疗提供了参考。病理和基因测序表明,肾鳞状细胞癌发生于活跃炎症背景下,且肿瘤演化出了免疫逃逸机制,如HLA杂合性缺失、基因修复缺陷和TMB-H。

https://cdn.ncbi.nlm.nih.gov/pmc/blobs/155d/7947427/ab595a3b9f70/tau-10-02-997-f7.jpg
https://cdn.ncbi.nlm.nih.gov/pmc/blobs/155d/7947427/e31f785361fa/tau-10-02-997-f1.jpg
https://cdn.ncbi.nlm.nih.gov/pmc/blobs/155d/7947427/a3ed58b64d47/tau-10-02-997-f2.jpg
https://cdn.ncbi.nlm.nih.gov/pmc/blobs/155d/7947427/9363a8a2634c/tau-10-02-997-f3.jpg
https://cdn.ncbi.nlm.nih.gov/pmc/blobs/155d/7947427/a1a1e2645a33/tau-10-02-997-f4.jpg
https://cdn.ncbi.nlm.nih.gov/pmc/blobs/155d/7947427/fb404d9c089f/tau-10-02-997-f5.jpg
https://cdn.ncbi.nlm.nih.gov/pmc/blobs/155d/7947427/0d8ef054678f/tau-10-02-997-f6.jpg
https://cdn.ncbi.nlm.nih.gov/pmc/blobs/155d/7947427/ab595a3b9f70/tau-10-02-997-f7.jpg
https://cdn.ncbi.nlm.nih.gov/pmc/blobs/155d/7947427/e31f785361fa/tau-10-02-997-f1.jpg
https://cdn.ncbi.nlm.nih.gov/pmc/blobs/155d/7947427/a3ed58b64d47/tau-10-02-997-f2.jpg
https://cdn.ncbi.nlm.nih.gov/pmc/blobs/155d/7947427/9363a8a2634c/tau-10-02-997-f3.jpg
https://cdn.ncbi.nlm.nih.gov/pmc/blobs/155d/7947427/a1a1e2645a33/tau-10-02-997-f4.jpg
https://cdn.ncbi.nlm.nih.gov/pmc/blobs/155d/7947427/fb404d9c089f/tau-10-02-997-f5.jpg
https://cdn.ncbi.nlm.nih.gov/pmc/blobs/155d/7947427/0d8ef054678f/tau-10-02-997-f6.jpg
https://cdn.ncbi.nlm.nih.gov/pmc/blobs/155d/7947427/ab595a3b9f70/tau-10-02-997-f7.jpg

相似文献

1
A case report of complete pathological remission after chemotherapy in a patient with primary renal squamous cell carcinoma.一例原发性肾鳞状细胞癌患者化疗后完全病理缓解的病例报告。
Transl Androl Urol. 2021 Feb;10(2):997-1005. doi: 10.21037/tau-20-1483.
2
Removal of tumor thrombus from the azygos vein in an esophageal squamous cell carcinoma patient.一名食管鳞状细胞癌患者奇静脉肿瘤血栓的清除。
J Cardiothorac Surg. 2020 Mar 26;15(1):52. doi: 10.1186/s13019-020-01092-4.
3
Severe nivolumab-induced pneumonitis preceding durable clinical remission in a patient with refractory, metastatic lung squamous cell cancer: a case report.一例难治性转移性肺鳞状细胞癌患者在持久临床缓解前出现严重的纳武单抗诱导性肺炎:病例报告
J Hematol Oncol. 2017 Feb 28;10(1):64. doi: 10.1186/s13045-017-0433-z.
4
Case report: Prompt response to radiotherapy and chemotherapy combined with crizotinib in gingival sarcomatoid squamous cell carcinoma with MET 14 mutation.病例报告:放疗、化疗联合克唑替尼治疗MET 14突变的牙龈肉瘤样鳞状细胞癌的快速反应
Front Oncol. 2022 Sep 6;12:1006516. doi: 10.3389/fonc.2022.1006516. eCollection 2022.
5
Case report of renal pelvis squamous cell carcinoma with tumor embolus in autosomal dominant polycystic kidney disease.常染色体显性多囊肾病合并肾盂鳞状细胞癌伴肿瘤栓子的病例报告
Medicine (Baltimore). 2016 Aug;95(33):e4597. doi: 10.1097/MD.0000000000004597.
6
p53 gene status and response to platinum/paclitaxel-based chemotherapy in advanced ovarian carcinoma.p53基因状态与晚期卵巢癌对铂类/紫杉醇化疗的反应
J Clin Oncol. 2000 Dec 1;18(23):3936-45. doi: 10.1200/JCO.2000.18.23.3936.
7
Durable Response to Immunotherapy With Antiangiogenic Drug in Large-Cell Lung Carcinoma With Multiple Fulminant Postoperative Metastases: A Case Report.抗血管生成药物免疫疗法对伴有多处暴发性术后转移的大细胞肺癌的持久反应:一例报告
Front Oncol. 2021 May 20;11:633446. doi: 10.3389/fonc.2021.633446. eCollection 2021.
8
Renal Metastases from a Nasal Cavity Mixed Squamous Cell and Adenoid Cystic Carcinoma: A Case Report.鼻腔混合性鳞状细胞和腺样囊性癌的肾转移:一例报告
Am J Case Rep. 2020 Jan 8;21:e919781. doi: 10.12659/AJCR.919781.
9
Microsatellite instability status determined by next-generation sequencing and compared with PD-L1 and tumor mutational burden in 11,348 patients.通过下一代测序确定微卫星不稳定性状态,并与 11348 名患者的 PD-L1 和肿瘤突变负担进行比较。
Cancer Med. 2018 Mar;7(3):746-756. doi: 10.1002/cam4.1372. Epub 2018 Feb 13.
10
Relationship between protein biomarkers of chemotherapy response and microsatellite status, tumor mutational burden and PD-L1 expression in cancer patients.癌症患者化疗反应的蛋白生物标志物与微卫星状态、肿瘤突变负担和 PD-L1 表达的关系。
Int J Cancer. 2020 Jun 1;146(11):3087-3097. doi: 10.1002/ijc.32661. Epub 2019 Oct 1.

本文引用的文献

1
Primary Pure Squamous Cell Carcinoma of Kidney Associated with Multiple Stag Horn Stones.原发性肾纯鳞状细胞癌伴多发鹿角形结石
Int Med Case Rep J. 2020 Jul 9;13:261-263. doi: 10.2147/IMCRJ.S261022. eCollection 2020.
2
PD-L1 expression increased by IFN-γ via JAK2-STAT1 signaling and predicts a poor survival in colorectal cancer.程序性死亡受体配体1(PD-L1)的表达通过Janus激酶2(JAK2)-信号转导和转录激活因子1(STAT1)信号通路被γ-干扰素(IFN-γ)上调,并预示着结直肠癌患者的不良生存结局。
Oncol Lett. 2020 Aug;20(2):1127-1134. doi: 10.3892/ol.2020.11647. Epub 2020 May 20.
3
The human tumor microbiome is composed of tumor type-specific intracellular bacteria.
人类肿瘤微生物组由肿瘤类型特异性的内共生细菌组成。
Science. 2020 May 29;368(6494):973-980. doi: 10.1126/science.aay9189.
4
Probing the tumor micro(b)environment.探究肿瘤微(b)环境。 (注:这里原文中的“(b)”不太明确其准确含义,可能是有遗漏或错误信息,但按照要求逐字翻译如此。)
Science. 2020 May 29;368(6494):938-939. doi: 10.1126/science.abc1464.
5
Renal pyelocalyceal squamous cell carcinoma in a patient with an ectopic kidney presenting with chronic pyelonephritis: a case report.一名异位肾伴慢性肾盂肾炎患者发生肾盂肾盏鳞状细胞癌:病例报告
J Med Case Rep. 2019 May 23;13(1):154. doi: 10.1186/s13256-019-2090-z.
6
Allele-Specific HLA Loss and Immune Escape in Lung Cancer Evolution.肺癌演变过程中的等位基因特异性HLA缺失与免疫逃逸
Cell. 2017 Nov 30;171(6):1259-1271.e11. doi: 10.1016/j.cell.2017.10.001. Epub 2017 Oct 26.
7
Incidental Squamous Cell Carcinoma Of The Renal Pelvis In A Non Functioning Kidney That Was Missed On Two Non-Contrast Ct-Scans.一个无功能肾脏肾盂的偶然发现的鳞状细胞癌,在两次非增强CT扫描中均被漏诊。
J Ayub Med Coll Abbottabad. 2017 Jul-Sep;29(3):489-492.
8
Case report of primary renal pelvis squamous cell carcinoma coexisting with long-standing calculi in left kidney on 18F-FDG PET/CT.18F-FDG PET/CT检查发现左肾原发性肾盂鳞状细胞癌合并长期结石的病例报告。
Medicine (Baltimore). 2017 Mar;96(11):e6341. doi: 10.1097/MD.0000000000006341.
9
Case report of renal pelvis squamous cell carcinoma with tumor embolus in autosomal dominant polycystic kidney disease.常染色体显性多囊肾病合并肾盂鳞状细胞癌伴肿瘤栓子的病例报告
Medicine (Baltimore). 2016 Aug;95(33):e4597. doi: 10.1097/MD.0000000000004597.
10
Primary Squamous Cell Carcinoma of Kidney Associated With Large Calculus in Non-functioning Kidney: A Case Report.非功能性肾内伴大结石的原发性肾鳞状细胞癌:一例报告
Urol Case Rep. 2016 May 31;8:4-6. doi: 10.1016/j.eucr.2016.04.007. eCollection 2016 Sep.