• 文献检索
  • 文档翻译
  • 深度研究
  • 学术资讯
  • Suppr Zotero 插件Zotero 插件
  • 邀请有礼
  • 套餐&价格
  • 历史记录
应用&插件
Suppr Zotero 插件Zotero 插件浏览器插件Mac 客户端Windows 客户端微信小程序
定价
高级版会员购买积分包购买API积分包
服务
文献检索文档翻译深度研究API 文档MCP 服务
关于我们
关于 Suppr公司介绍联系我们用户协议隐私条款
关注我们

Suppr 超能文献

核心技术专利:CN118964589B侵权必究
粤ICP备2023148730 号-1Suppr @ 2026

文献检索

告别复杂PubMed语法,用中文像聊天一样搜索,搜遍4000万医学文献。AI智能推荐,让科研检索更轻松。

立即免费搜索

文件翻译

保留排版,准确专业,支持PDF/Word/PPT等文件格式,支持 12+语言互译。

免费翻译文档

深度研究

AI帮你快速写综述,25分钟生成高质量综述,智能提取关键信息,辅助科研写作。

立即免费体验

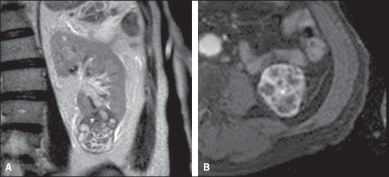
R.E.N.A.L.肾计量评分的可重复性及观察者间一致性:聚焦于影像特征

Reproducibility and interobserver agreement of the R.E.N.A.L. nephrometry score: focus on imaging features.

作者信息

Vilaseca Richard Mast, Westphalen Antonio Carlos, Reis Henrique Ferreira, Zogbi Orlando Salomão, Silva Gyl Eanes, Dos Reis Rodolfo Borges, Muglia Valdair Francisco

机构信息

MD, Attending Radiologist, Radiology Department - Abdominal Imaging, Hospital Universitari Vall d'Hebron, Barcelona, Spain.

MD, PhD, Associate Professor of Radiology, Radiology and Biomedical Engineering, University of California at San Francisco (UCSF), San Francisco, CA, USA.

出版信息

Radiol Bras. 2017 Jan-Feb;50(1):7-12. doi: 10.1590/0100-3984.2015.0174.

DOI:10.1590/0100-3984.2015.0174
PMID:28298726
原文链接:https://pmc.ncbi.nlm.nih.gov/articles/PMC5347496/
Abstract

OBJECTIVE

To investigate the reproducibility and interobserver agreement for R.E.N.A.L. nephrometry scoring system.

MATERIALS AND METHODS

Two independent radiologists retrospectively analyzed 46 consecutive patients with renal masses, between 2008 and 2012, using the R.E.N.A.L. nephrometry score (RENAL-NS), which is based on the evaluation of five anatomical features of the tumor, as evaluated with computed tomography or magnetic resonance imaging: adius, xophytic/endophytic properties, earness to the collecting system, nterior or posterior descriptor, and ocation relative to the polar line. Tumor complexity was graded as low, intermediate, or high. The interobserver agreement was calculated for the total score and for the score for each parameter. Surgical excision of the tumors was used as the standard of reference.

RESULTS

The interobserver agreement for each of the RENAL-NS parameters, respectively, a hilar location, and the total score was 98%, 80%, 100%, 89%, 85%, 89%, and 93% of patients, corresponding to kappa values of 0.96, 0.65, 1.00, 0.75, 0.72, 0.78, and 0.88, respectively. The Nearness, Radius, and total score showed the best agreement. For the cases that were discordant in terms of the final score, no major implications in surgical planning were observed.

CONCLUSION

The RENAL-NS is a structured, useful system to assess the anatomical features of renal tumors. It is easily applicable and reproducible, even for less experienced radiologists.

摘要

目的

研究R.E.N.A.L.肾计量评分系统的可重复性及观察者间的一致性。

材料与方法

两名独立的放射科医生回顾性分析了2008年至2012年间连续的46例肾肿块患者,使用基于肿瘤五个解剖特征评估的R.E.N.A.L.肾计量评分(RENAL-NS),这些特征通过计算机断层扫描或磁共振成像进行评估:半径、外生/内生特性、与集合系统的接近程度、前后描述符以及相对于极线的位置。肿瘤复杂性分为低、中、高三个等级。计算观察者间在总分及各参数得分上的一致性。以肿瘤的手术切除作为参考标准。

结果

RENAL-NS各参数、肾门位置及总分的观察者间一致性分别为98%、80%、100%、89%、85%、89%和93%的患者,对应的kappa值分别为0.96、0.65、1.00、0.75、0.72、0.78和0.88。接近程度、半径及总分的一致性最佳。对于最终得分不一致的病例,在手术规划中未观察到重大影响。

结论

RENAL-NS是一个用于评估肾肿瘤解剖特征的结构化、有用的系统。即使对于经验较少的放射科医生,它也易于应用且具有可重复性。

https://cdn.ncbi.nlm.nih.gov/pmc/blobs/86ce/5347496/6a5807c46733/rb-50-01-0007-g03.jpg
https://cdn.ncbi.nlm.nih.gov/pmc/blobs/86ce/5347496/f6898323cce3/rb-50-01-0007-g01.jpg
https://cdn.ncbi.nlm.nih.gov/pmc/blobs/86ce/5347496/e260da26edad/rb-50-01-0007-g02.jpg
https://cdn.ncbi.nlm.nih.gov/pmc/blobs/86ce/5347496/6a5807c46733/rb-50-01-0007-g03.jpg
https://cdn.ncbi.nlm.nih.gov/pmc/blobs/86ce/5347496/f6898323cce3/rb-50-01-0007-g01.jpg
https://cdn.ncbi.nlm.nih.gov/pmc/blobs/86ce/5347496/e260da26edad/rb-50-01-0007-g02.jpg
https://cdn.ncbi.nlm.nih.gov/pmc/blobs/86ce/5347496/6a5807c46733/rb-50-01-0007-g03.jpg

相似文献

1
Reproducibility and interobserver agreement of the R.E.N.A.L. nephrometry score: focus on imaging features.R.E.N.A.L.肾计量评分的可重复性及观察者间一致性:聚焦于影像特征
Radiol Bras. 2017 Jan-Feb;50(1):7-12. doi: 10.1590/0100-3984.2015.0174.
2
Interobserver Reliability of the RENAL Nephrometry Scoring System: Experience From a Developing Nation.RENAL肾计量评分系统的观察者间可靠性:来自一个发展中国家的经验。
Cureus. 2020 Nov 11;12(11):e11451. doi: 10.7759/cureus.11451.
3
Simplified PADUA Renal (SPARE) Nephrometry Scoring System: External Validation, Interobserver Variability, and Comparison with RENAL and PADUA in a Single-center Robotic Partial Nephrectomy Series.简化 Padua 肾脏(SPARE)肾肿瘤评分系统:单中心机器人辅助部分肾切除术系列中的外部验证、观察者间变异性以及与 RENAL 和 Padua 的比较。
Eur Urol Focus. 2021 May;7(3):591-597. doi: 10.1016/j.euf.2020.05.016. Epub 2020 Jun 23.
4
Associations between R.E.N.A.L. nephrometry score and survival outcomes in renal tumours.R.E.N.A.L. 肾脏肿瘤解剖评分与肿瘤患者生存结局的相关性。
Jpn J Clin Oncol. 2024 Mar 9;54(3):339-345. doi: 10.1093/jjco/hyad174.
5
The R.E.N.A.L. nephrometry score: a comprehensive standardized system for quantitating renal tumor size, location and depth.R.E.N.A.L.肾计量评分:一种用于量化肾肿瘤大小、位置和深度的综合标准化系统。
J Urol. 2009 Sep;182(3):844-53. doi: 10.1016/j.juro.2009.05.035. Epub 2009 Jul 17.
6
Interobserver reproducibility of RENAL nephrometry score in comparison to simplified PADUA Renal nephrometry score.与简化的PADUA肾计量评分相比,RENAL肾计量评分的观察者间可重复性。
Urol Ann. 2023 Oct-Dec;15(4):373-382. doi: 10.4103/ua.ua_37_23. Epub 2023 Aug 3.
7
R.E.N.A.L. (Radius, exophytic/endophytic, nearness to collecting system or sinus, anterior/posterior, and location relative to polar lines) nephrometry score predicts early tumor recurrence and complications after percutaneous ablative therapies for renal cell carcinoma: a 5-year experience.R.E.N.A.L.(半径、外生性/内生性、与集合系统或肾窦的接近程度、前后位以及相对于极线的位置)肾计量评分可预测肾细胞癌经皮消融治疗后的早期肿瘤复发和并发症:5年经验
J Vasc Interv Radiol. 2015 May;26(5):686-93. doi: 10.1016/j.jvir.2015.01.008. Epub 2015 Mar 11.
8
Interobserver reliability of the RENAL nephrometry scoring system.RENAL 评分系统的观察者间可靠性。
Urology. 2011 Sep;78(3):592-4. doi: 10.1016/j.urology.2011.05.023. Epub 2011 Jul 22.
9
Usefulness of R.E.N.A.L. nephrometry scoring system for predicting outcomes and complications of percutaneous ablation of 751 renal tumors.R.E.N.A.L. 肾脏肿瘤解剖评分系统对 751 例经皮消融肾脏肿瘤的疗效及并发症预测价值。
J Urol. 2013 Jan;189(1):30-5. doi: 10.1016/j.juro.2012.08.180. Epub 2012 Nov 16.
10
Reproducibility and fidelity of the R.E.N.A.L. nephrometry score.R.E.N.A.L. 肾脏肿瘤评分的可重复性和准确性。
J Endourol. 2011 Dec;25(12):1925-8. doi: 10.1089/end.2011.0217. Epub 2011 Oct 11.

引用本文的文献

1
Impact of Active Surveillance on Nephrometric Scores of Bosniak III and IV Renal Cysts.主动监测对博斯尼亚克III级和IV级肾囊肿肾测量评分的影响。
Int J Gen Med. 2025 Aug 21;18:4615-4623. doi: 10.2147/IJGM.S531366. eCollection 2025.
2
Interobserver reproducibility of RENAL nephrometry score in comparison to simplified PADUA Renal nephrometry score.与简化的PADUA肾计量评分相比,RENAL肾计量评分的观察者间可重复性。
Urol Ann. 2023 Oct-Dec;15(4):373-382. doi: 10.4103/ua.ua_37_23. Epub 2023 Aug 3.
3
Nephrometry scoring systems: their importance for the planning of nephron-sparing surgery and the relationships among them.

本文引用的文献

1
Analysis of Renal Functional Outcomes After Radical or Partial Nephrectomy for Renal Masses ≥7 cm Using the RENAL Score.使用RENAL评分分析肾肿块≥7cm行根治性或部分肾切除术后的肾功能结果。
Urology. 2015 Aug;86(2):312-9. doi: 10.1016/j.urology.2015.02.067. Epub 2015 Jul 16.
2
Renal cell carcinoma: histological classification and correlation with imaging findings.肾细胞癌:组织学分类及其与影像学表现的相关性
Radiol Bras. 2015 May-Jun;48(3):166-74. doi: 10.1590/0100-3984.2013.1927.
3
Usefulness of R.E.N.A.L. nephrometry scoring system for predicting outcomes and complications of percutaneous ablation of 751 renal tumors.
肾计量评分系统:其在保留肾单位手术规划中的重要性及其相互关系。
Radiol Bras. 2022 Jul-Aug;55(4):242-252. doi: 10.1590/0100-3984.2021.0166.
4
Interobserver Reliability of the RENAL Nephrometry Scoring System: Experience From a Developing Nation.RENAL肾计量评分系统的观察者间可靠性:来自一个发展中国家的经验。
Cureus. 2020 Nov 11;12(11):e11451. doi: 10.7759/cureus.11451.
5
Discrimination of oncocytoma and chromophobe renal cell carcinoma using MRI.利用磁共振成像鉴别嗜酸细胞瘤和嫌色性肾细胞癌。
Diagn Interv Radiol. 2019 Jan;25(1):5-13. doi: 10.5152/dir.2018.18013.
6
Value of computed tomography texture analysis for prediction of perioperative complications during laparoscopic partial nephrectomy in patients with renal cell carcinoma.基于 CT 纹理分析预测肾癌患者腹腔镜部分肾切除围手术期并发症的价值。
PLoS One. 2018 Apr 18;13(4):e0195270. doi: 10.1371/journal.pone.0195270. eCollection 2018.
R.E.N.A.L. 肾脏肿瘤解剖评分系统对 751 例经皮消融肾脏肿瘤的疗效及并发症预测价值。
J Urol. 2013 Jan;189(1):30-5. doi: 10.1016/j.juro.2012.08.180. Epub 2012 Nov 16.
4
Renal cortical tumors: use of multiphasic contrast-enhanced MR imaging to differentiate benign and malignant histologic subtypes.肾脏皮质肿瘤:多期对比增强磁共振成像在鉴别良恶性组织学亚型中的应用。
Radiology. 2012 Sep;264(3):779-88. doi: 10.1148/radiol.12110746. Epub 2012 Jul 24.
5
External validation of the RENAL nephrometry score in renal tumours treated by partial nephrectomy.经部分肾切除术治疗的肾肿瘤中 RENAL 评分的外部验证。
BJU Int. 2013 Feb;111(2):233-9. doi: 10.1111/j.1464-410X.2012.11339.x. Epub 2012 Jul 12.
6
RENAL nephrometry score is associated with operative approach for partial nephrectomy and urine leak.肾肿瘤影像学评分与部分肾切除术的手术入路和尿漏有关。
Urology. 2012 Jul;80(1):151-6. doi: 10.1016/j.urology.2012.04.026.
7
Prediction of perioperative outcomes following minimally invasive partial nephrectomy: role of the R.E.N.A.L nephrometry score.微创部分肾切除术围手术期结局预测:R.E.N.A.L 肾肿瘤评分的作用。
World J Urol. 2013 Oct;31(5):1183-9. doi: 10.1007/s00345-012-0876-3. Epub 2012 Apr 28.
8
Correlation of the RENAL nephrometry score with warm ischemia time after robotic partial nephrectomy.机器人辅助部分肾切除术热缺血时间与肾肿瘤分数的相关性。
World J Urol. 2013 Oct;31(5):1165-9. doi: 10.1007/s00345-012-0867-4. Epub 2012 Apr 19.
9
Reproducibility and fidelity of the R.E.N.A.L. nephrometry score.R.E.N.A.L. 肾脏肿瘤评分的可重复性和准确性。
J Endourol. 2011 Dec;25(12):1925-8. doi: 10.1089/end.2011.0217. Epub 2011 Oct 11.
10
The comparison of three renal tumor scoring systems: C-Index, P.A.D.U.A., and R.E.N.A.L. nephrometry scores.三种肾肿瘤评分系统的比较:C 指数、P.A.D.U.A. 和 R.E.N.A.L. 肾脏肿瘤测量评分系统。
J Endourol. 2011 Dec;25(12):1921-4. doi: 10.1089/end.2011.0301. Epub 2011 Sep 9.