Suppr超能文献

浅表性脂肪瘤样痣

Nevus lipomatosus cutaneous superficialis.

作者信息

Carvalho Gustavo de Sá Menezes, Cavalcanti Silvana Maria de Morais, Herênio Alzinira Souza, Teixeira Márcia Almeida Galvão, Alencar Eliane Ruth Barbosa de, Gonçalves Sergio Paulo Mendes

机构信息

Universidade de Pernambuco (UPE) - Recife (PE), Brazil.

出版信息

An Bras Dermatol. 2016 Sep-Oct;91(5 suppl 1):114-115. doi: 10.1590/abd1806-4841.20164570.

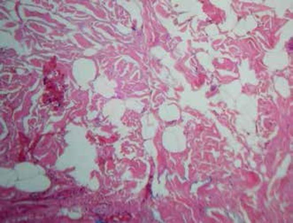
Abstract

We report a case of nevus lipomatosus cutaneous superficialis of Hoffman-Zurhelle (NCLS), with multiple lesions, in a ten-year-old child. The NLCS is considered rare. The classical clinical presentation is characterized by multiple skin-colored or yellowish papules and nodules, which can have a linear distribution. Histologically, it is characterized by the presence of mature ectopic adipocytes in the dermis. The main therapeutic option is surgical excision. The classical Nevus lipomatosus cutaneous superficialis is reported in this case.

摘要

我们报告了一例10岁儿童的霍夫曼-祖尔赫尔浅表性皮肤脂肪瘤痣(NCLS),伴有多个皮损。NCLS被认为较为罕见。其典型临床表现为多个肤色或淡黄色丘疹及结节,可呈线状分布。组织学上,其特征为真皮内存在成熟的异位脂肪细胞。主要治疗选择是手术切除。本例报告了典型的浅表性皮肤脂肪瘤痣。

https://cdn.ncbi.nlm.nih.gov/pmc/blobs/1562/5325013/a0502af116cc/abd-91-05-s1-0114-g01.jpg

文献AI研究员

20分钟写一篇综述,助力文献阅读效率提升50倍。

立即体验

用中文搜PubMed

大模型驱动的PubMed中文搜索引擎

马上搜索

文档翻译

学术文献翻译模型,支持多种主流文档格式。

立即体验