• 文献检索
  • 文档翻译
  • 深度研究
  • 学术资讯
  • Suppr Zotero 插件Zotero 插件
  • 邀请有礼
  • 套餐&价格
  • 历史记录
应用&插件
Suppr Zotero 插件Zotero 插件浏览器插件Mac 客户端Windows 客户端微信小程序
定价
高级版会员购买积分包购买API积分包
服务
文献检索文档翻译深度研究API 文档MCP 服务
关于我们
关于 Suppr公司介绍联系我们用户协议隐私条款
关注我们

Suppr 超能文献

核心技术专利:CN118964589B侵权必究
粤ICP备2023148730 号-1Suppr @ 2026

文献检索

告别复杂PubMed语法,用中文像聊天一样搜索,搜遍4000万医学文献。AI智能推荐,让科研检索更轻松。

立即免费搜索

文件翻译

保留排版,准确专业,支持PDF/Word/PPT等文件格式,支持 12+语言互译。

免费翻译文档

深度研究

AI帮你快速写综述,25分钟生成高质量综述,智能提取关键信息,辅助科研写作。

立即免费体验

罕见的原发性肾上腺包虫囊肿占据肾上腺间隙,在一名老年患者中采用腹腔镜手术方法进行治疗。

Uncommon primary hydatid cyst occupying the adrenal gland space, treated with laparoscopic surgical approach in an old patient.

作者信息

Aprea Giovanni, Aloia Sergio, Quarto Gennaro, Furino Ermenegildo, Amato Maurizio, Bianco Tommaso, Di Domenico Lorenza, Rocca Aldo, Maurea Simone, Sivero Luigi

机构信息

Department of General and Minivasive Surgery, University Federico II of Naples, Via Pansini Nr. 5 Postal Code 8010, Napoli, Italy.

Department of Clinical Medicine and Surgery, University of Naples "Federico II", Naples, Italy. Via Sergio Pansini, 80131 Naples, Italy.

出版信息

Open Med (Wars). 2016 Nov 19;11(1):413-417. doi: 10.1515/med-2016-0075. eCollection 2016.

DOI:10.1515/med-2016-0075
PMID:28352829
原文链接:https://pmc.ncbi.nlm.nih.gov/articles/PMC5329862/
Abstract

UNLABELLED

Hydatid disease (HD) is caused by Echinococcus Granulosus (EG), which is a larva endemic in many undeveloped areas. The most common target is the liver (59%-75%). The retroperitoneal space is considered as a rare localization. We report an uncommon case of HD located in the adrenal gland space.

PRESENTATION OF CASE

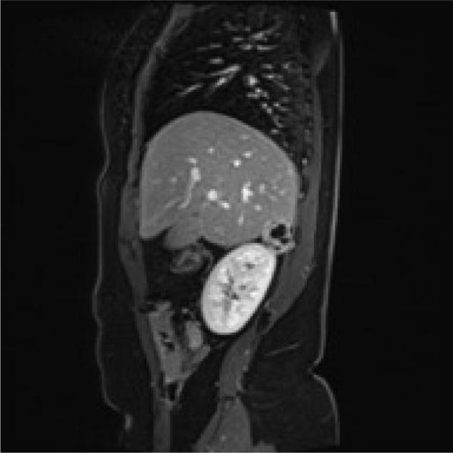
This is a 78-year-old Moroccan woman, with right flank pain for eight months previously. She denied contact with dogs or sheep. Her physical examination was normal. There was no pathological alteration of laboratory exams. CT scan measuring 5 cm without clear signs for a sure diagnosis found a round lesion in the right adrenal gland. An abdominal MRI showed a round mass of 34 x 27 mm with fluid component without a clear plane of dissection from kidney and liver. A laparoscopic procedure was performed to obtain a histological diagnosis. We reached a conclusive diagnosis of Hydatid cyst of right adrenal gland space. Hydatid cysts often develop in the liver. The location in the adrenal bed is rare without clinical signs related to alteration of the gland's secretion. Hydatid cyst identification in the adrenal gland space is based on ultrasonography, CT or MRI scans. The differential diagnosis includes various benign and malignant lesions. Laparoscopic procedure is the best approach available to obtain a histological diagnosis and a curative treatment. The best treatment for HD is the pericystectomy. Laparoscopic surgery can guarantee a radical resection of these lesions when it performed by an expert surgeon.

摘要

未标注

包虫病(HD)由细粒棘球绦虫(EG)引起,EG是一种幼虫,在许多不发达地区流行。最常见的发病部位是肝脏(59%-75%)。腹膜后间隙被认为是罕见的发病部位。我们报告一例罕见的位于肾上腺间隙的包虫病病例。

病例介绍

这是一名78岁的摩洛哥女性,此前右侧胁腹疼痛8个月。她否认与狗或羊有接触。体格检查正常。实验室检查无病理改变。CT扫描发现右侧肾上腺有一个5厘米的圆形病变,但没有明确的确诊迹象。腹部MRI显示一个34×27毫米的圆形肿块,有液体成分,与肾脏和肝脏没有清晰的分界平面。进行了腹腔镜手术以获得组织学诊断。我们最终确诊为右侧肾上腺间隙包虫囊肿。包虫囊肿常发生于肝脏。肾上腺床部位罕见,且无与腺体分泌改变相关的临床症状。肾上腺间隙包虫囊肿的诊断基于超声、CT或MRI扫描。鉴别诊断包括各种良性和恶性病变。腹腔镜手术是获得组织学诊断和根治性治疗的最佳方法。包虫病的最佳治疗方法是囊肿切除术。当由专业外科医生进行腹腔镜手术时,可以保证对这些病变进行根治性切除。

https://cdn.ncbi.nlm.nih.gov/pmc/blobs/9953/5329862/e5b5afa20c97/j_med-2016-0075_fig_005.jpg
https://cdn.ncbi.nlm.nih.gov/pmc/blobs/9953/5329862/f0e1077d1b8d/j_med-2016-0075_fig_001.jpg
https://cdn.ncbi.nlm.nih.gov/pmc/blobs/9953/5329862/eaa371576efe/j_med-2016-0075_fig_002.jpg
https://cdn.ncbi.nlm.nih.gov/pmc/blobs/9953/5329862/40b283fda484/j_med-2016-0075_fig_003.jpg
https://cdn.ncbi.nlm.nih.gov/pmc/blobs/9953/5329862/8685dfa1a306/j_med-2016-0075_fig_004.jpg
https://cdn.ncbi.nlm.nih.gov/pmc/blobs/9953/5329862/e5b5afa20c97/j_med-2016-0075_fig_005.jpg
https://cdn.ncbi.nlm.nih.gov/pmc/blobs/9953/5329862/f0e1077d1b8d/j_med-2016-0075_fig_001.jpg
https://cdn.ncbi.nlm.nih.gov/pmc/blobs/9953/5329862/eaa371576efe/j_med-2016-0075_fig_002.jpg
https://cdn.ncbi.nlm.nih.gov/pmc/blobs/9953/5329862/40b283fda484/j_med-2016-0075_fig_003.jpg
https://cdn.ncbi.nlm.nih.gov/pmc/blobs/9953/5329862/8685dfa1a306/j_med-2016-0075_fig_004.jpg
https://cdn.ncbi.nlm.nih.gov/pmc/blobs/9953/5329862/e5b5afa20c97/j_med-2016-0075_fig_005.jpg

相似文献

1
Uncommon primary hydatid cyst occupying the adrenal gland space, treated with laparoscopic surgical approach in an old patient.罕见的原发性肾上腺包虫囊肿占据肾上腺间隙,在一名老年患者中采用腹腔镜手术方法进行治疗。
Open Med (Wars). 2016 Nov 19;11(1):413-417. doi: 10.1515/med-2016-0075. eCollection 2016.
2
Primary Hydatid Cyst of the adrenal gland: A case report and a review of the literature.肾上腺原发性包虫囊肿:一例病例报告及文献综述
Int J Surg Case Rep. 2020;70:154-158. doi: 10.1016/j.ijscr.2020.04.073. Epub 2020 May 7.
3
Giant primary hydatid cyst of the adrenal gland: A rare case report.肾上腺巨大原发性包虫囊肿:一例罕见病例报告
Urol Case Rep. 2021 Jan 26;36:101580. doi: 10.1016/j.eucr.2021.101580. eCollection 2021 May.
4
Laparoscopic resection of a primary hydatid cyst of the adrenal gland: a case report.腹腔镜下肾上腺原发性包虫囊肿切除术:一例报告
J Med Case Rep. 2007 Aug 6;1:61. doi: 10.1186/1752-1947-1-61.
5
[Primary hydatid cyst of adrenal gland. Report of two cases].[肾上腺原发性包虫囊肿。两例报告]
Ann Chir. 2005 Feb;130(2):104-7. doi: 10.1016/j.anchir.2004.11.003. Epub 2004 Dec 7.
6
Hydatid Cyst of the Adrenal Gland: Is Radical Surgery Necessary for Recurrent Hydatid Disease?肾上腺包虫囊肿:复发性包虫病是否需要根治性手术?
Case Rep Surg. 2018 Feb 22;2018:6452402. doi: 10.1155/2018/6452402. eCollection 2018.
7
Primary adrenal hydatid cyst: A rare entity and literature review.原发性肾上腺包虫囊肿:一种罕见疾病及文献综述
Radiol Case Rep. 2024 Oct 4;20(1):18-22. doi: 10.1016/j.radcr.2024.09.108. eCollection 2025 Jan.
8
A rare primary hydatid cyst of the psoas muscle in a rural setting: A case presentation.农村地区罕见的腰大肌原发性包虫囊肿:病例报告
Ann Med Surg (Lond). 2020 Sep 9;59:86-88. doi: 10.1016/j.amsu.2020.09.002. eCollection 2020 Nov.
9
[Primary hydatid cyst of the adrenal gland in a patient with situs inversus. A one-case report].[一例镜像右位心患者肾上腺原发性包虫囊肿。病例报告]
Bull Soc Pathol Exot. 2010 Dec;103(5):313-6. doi: 10.1007/s13149-010-0089-1. Epub 2010 Oct 18.
10
Giant primary adrenal hydatid cyst presenting with arterial hypertension: a case report and review of the literature.巨大原发性肾上腺包虫囊肿伴动脉高血压:一例报告并文献复习
J Med Case Rep. 2012 Feb 1;6:46. doi: 10.1186/1752-1947-6-46.

引用本文的文献

1
Primary hydatid cyst of adrenal gland: Case report.肾上腺原发性包虫囊肿:病例报告
Radiol Case Rep. 2022 Jun 29;17(9):3188-3190. doi: 10.1016/j.radcr.2022.05.084. eCollection 2022 Sep.
2
Giant primary hydatid cyst of the adrenal gland: A rare case report.肾上腺巨大原发性包虫囊肿:一例罕见病例报告
Urol Case Rep. 2021 Jan 26;36:101580. doi: 10.1016/j.eucr.2021.101580. eCollection 2021 May.
3
Hydatid Cyst of the Adrenal Gland: Is Radical Surgery Necessary for Recurrent Hydatid Disease?肾上腺包虫囊肿:复发性包虫病是否需要根治性手术?

本文引用的文献

1
"Ductal adenocarcinoma in anular pancreas".胰腺环形腺管腺癌。
Int J Surg. 2015 Sep;21 Suppl 1:S95-7. doi: 10.1016/j.ijsu.2015.04.086. Epub 2015 Jun 25.
2
Morphological, diagnostic and surgical features of ectopic thyroid gland: a review of literature.异位甲状腺的形态、诊断和手术特征:文献回顾。
Int J Surg. 2014;12 Suppl 1:S3-11. doi: 10.1016/j.ijsu.2014.05.076. Epub 2014 Jun 2.
3
Primary giant hepatic neuroendocrine carcinoma: a case report.原发性巨大肝神经内分泌癌:病例报告。
Case Rep Surg. 2018 Feb 22;2018:6452402. doi: 10.1155/2018/6452402. eCollection 2018.
Int J Surg. 2014;12 Suppl 1:S218-21. doi: 10.1016/j.ijsu.2014.05.056. Epub 2014 May 29.
4
Adrenocortical carcinoma: what the surgeon needs to know. Case report and literature review.肾上腺皮质癌:外科医生需要了解的知识。病例报告和文献复习。
Int J Surg. 2014;12 Suppl 1:S22-8. doi: 10.1016/j.ijsu.2014.05.030. Epub 2014 May 24.
5
Type I interferon-mediated pathway interacts with peroxisome proliferator activated receptor-γ (PPAR-γ): at the cross-road of pancreatic cancer cell proliferation.I型干扰素介导的信号通路与过氧化物酶体增殖物激活受体γ(PPAR-γ)相互作用:处于胰腺癌细胞增殖的交叉路口。
Biochim Biophys Acta. 2014 Jan;1845(1):42-52. doi: 10.1016/j.bbcan.2013.11.003. Epub 2013 Dec 1.
6
Primary hydatid cyst of the gallbladder: a case report.胆囊原发性包虫囊肿:一例报告
J Med Case Rep. 2010 Jan 29;4:29. doi: 10.1186/1752-1947-4-29.
7
Hydatid disease of the liver: thirty years of surgical experience.
Chir Ital. 2007 Sep-Oct;59(5):611-25.
8
Hydatid cyst of the adrenal gland: a clinical study of six cases.肾上腺包虫囊肿:6例临床研究
ScientificWorldJournal. 2006 Apr 21;6:2420-5. doi: 10.1100/tsw.2006.375.
9
Primary extrahepatic abdominal hydatidosis.原发性肝外腹腔包虫病
Int J Surg. 2005;3(2):125-7. doi: 10.1016/j.ijsu.2005.06.004. Epub 2005 Aug 1.
10
Parapharyngeal ectopic thyroid: the possible persistence of the lateral thyroid anlage. Clinical case report.咽旁异位甲状腺:甲状腺侧叶原基可能持续存在。临床病例报告。
Surg Radiol Anat. 2004 Aug;26(4):338-43. doi: 10.1007/s00276-004-0241-3. Epub 2004 May 8.