• 文献检索
  • 文档翻译
  • 深度研究
  • 学术资讯
  • Suppr Zotero 插件Zotero 插件
  • 邀请有礼
  • 套餐&价格
  • 历史记录
应用&插件
Suppr Zotero 插件Zotero 插件浏览器插件Mac 客户端Windows 客户端微信小程序
定价
高级版会员购买积分包购买API积分包
服务
文献检索文档翻译深度研究API 文档MCP 服务
关于我们
关于 Suppr公司介绍联系我们用户协议隐私条款
关注我们

Suppr 超能文献

核心技术专利:CN118964589B侵权必究
粤ICP备2023148730 号-1Suppr @ 2026

文献检索

告别复杂PubMed语法,用中文像聊天一样搜索,搜遍4000万医学文献。AI智能推荐,让科研检索更轻松。

立即免费搜索

文件翻译

保留排版,准确专业,支持PDF/Word/PPT等文件格式,支持 12+语言互译。

免费翻译文档

深度研究

AI帮你快速写综述,25分钟生成高质量综述,智能提取关键信息,辅助科研写作。

立即免费体验

一名患有Alport综合征患者的抗中性粒细胞胞浆抗体相关性血管炎:诊断困难但为可治之症!

ANCA vasculitis in a patient with Alport syndrome: a difficult diagnosis but a treatable disease!

作者信息

Gillion Valentine, Jadoul Michel, Aydin Selda, Godefroid Nathalie

机构信息

Division of Nephrology, Cliniques Universitaires Saint-Luc, Université Catholique de Louvain, Brussels, Belgium.

Division of Pathology, Cliniques Universitaires Saint-Luc, Université Catholique de Louvain, Brussels, Belgium.

出版信息

BMC Nephrol. 2017 Mar 29;18(1):105. doi: 10.1186/s12882-017-0527-4.

DOI:10.1186/s12882-017-0527-4
PMID:28356090
原文链接:https://pmc.ncbi.nlm.nih.gov/articles/PMC5372285/
Abstract

BACKGROUND

Alport syndrome and ANCA-associated vasculitis are both rare diseases. The co-existence of these two conditions has never been reported. There is no obvious pathogenic link between these two glomerular diseases. The management of this case highlights the importance of a systematic approach when investigating the unexpected unfavourable evolution of a known glomerulopathy.

CASE PRESENTATION

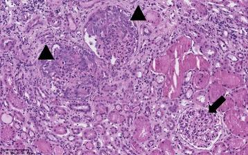
A-17 year old caucasian boy with a genetically proven X-linked Alport syndrome presented with progressive dyspnea, fatigue and pallor. His blood tests showed a severe anemia (Hb 6.9 g/dl) with acute worsening of kidney function (serum creatinine, normal 9 months earlier, was now 3.6 mg/dl). Microscopic hematuria and proteinuria also worsened. He soon developed signs of alveolar hemorrhage. Serological tests showed the presence of perinuclear ANCA with anti MPO specificity. Kidney biopsy showed a necrotizing and crescentic glomerulonephritis. Pulses of methylprednisolone were given in combination with plasmapheresis. The patient further received 6 pulses of cyclophosphamide, followed by maintenance oral azathioprine. During the 15-months follow up he remained well with serum creatinine back to normal, and some residual proteinuria and hematuria ascribed to Alport syndrome.

CONCLUSION

We report a young patient with the coexistence of Alport syndrome and ANCA associated vasculitis. Clinicians should be aware of the possibility of a second acquired disease in a patient with a known kidney disease, genetic in this case. This coexistence is very rare, but should be considered even if both diseases are rare, if the evolution is atypical for the single (known) primary disease. The diagnosis of the added vasculitis prompted in our case the initiation of immunosuppressive drugs, with a favourable outcome.

摘要

背景

奥尔波特综合征和抗中性粒细胞胞浆抗体相关性血管炎均为罕见疾病。这两种疾病并存的情况此前从未有过报道。这两种肾小球疾病之间不存在明显的致病联系。该病例的处理突出了在调查已知肾小球病意外的不良进展时采用系统方法的重要性。

病例介绍

一名17岁的白种男孩,经基因检测证实患有X连锁奥尔波特综合征,出现进行性呼吸困难、乏力和面色苍白。血液检查显示严重贫血(血红蛋白6.9g/dl),肾功能急性恶化(血清肌酐9个月前正常,现为3.6mg/dl)。镜下血尿和蛋白尿也加重。他很快出现肺泡出血的体征。血清学检查显示存在具有抗髓过氧化物酶特异性的核周抗中性粒细胞胞浆抗体。肾活检显示为坏死性新月体性肾小球肾炎。给予甲泼尼龙冲击治疗并联合血浆置换。患者进一步接受了6次环磷酰胺冲击治疗,随后口服硫唑嘌呤维持治疗。在15个月的随访期间,他情况良好,血清肌酐恢复正常,仍有一些归因于奥尔波特综合征的残余蛋白尿和血尿。

结论

我们报告了一名奥尔波特综合征与抗中性粒细胞胞浆抗体相关性血管炎并存的年轻患者。临床医生应意识到已知患有肾脏疾病(本例为遗传性)的患者可能并发第二种后天性疾病。这种并存情况非常罕见,但即使两种疾病都很罕见,如果单一(已知)原发性疾病的病情发展不典型,也应予以考虑。在我们的病例中,新增血管炎的诊断促使启动免疫抑制药物治疗,取得了良好的效果。

https://cdn.ncbi.nlm.nih.gov/pmc/blobs/b4b2/5372285/6ac3fa59d1b4/12882_2017_527_Fig1_HTML.jpg
https://cdn.ncbi.nlm.nih.gov/pmc/blobs/b4b2/5372285/6ac3fa59d1b4/12882_2017_527_Fig1_HTML.jpg
https://cdn.ncbi.nlm.nih.gov/pmc/blobs/b4b2/5372285/6ac3fa59d1b4/12882_2017_527_Fig1_HTML.jpg

相似文献

1
ANCA vasculitis in a patient with Alport syndrome: a difficult diagnosis but a treatable disease!一名患有Alport综合征患者的抗中性粒细胞胞浆抗体相关性血管炎:诊断困难但为可治之症!
BMC Nephrol. 2017 Mar 29;18(1):105. doi: 10.1186/s12882-017-0527-4.
2
[Retrospective clinical features and renal pathological analysis of 15 children with anti-neutrophil cytoplasmic antibody-associated vasculitis].15例抗中性粒细胞胞浆抗体相关性血管炎患儿的回顾性临床特征及肾脏病理分析
Zhonghua Er Ke Za Zhi. 2013 Apr;51(4):283-7.
3
ANCA positive crescentic glomerulonephritis outcome in a Central East European cohort: a retrospective study.中东欧队列中抗中性粒细胞胞浆抗体阳性新月体性肾小球肾炎的结局:一项回顾性研究
BMC Nephrol. 2015 Jun 30;16:90. doi: 10.1186/s12882-015-0091-8.
4
Case report: de novo ANCA-associated vasculitis after kidney transplantation treated with rituximab and plasma exchange.病例报告:肾移植后新发抗中性粒细胞胞浆抗体相关性血管炎,采用利妥昔单抗和血浆置换治疗。
BMC Nephrol. 2018 Oct 19;19(1):270. doi: 10.1186/s12882-018-1086-z.
5
ANCA-associated vasculitis in scleroderma: A renal perspective
.硬皮病中的抗中性粒细胞胞质抗体相关性血管炎:肾脏视角
Clin Nephrol. 2018 Dec;90(6):413-418. doi: 10.5414/CN109445.
6
[Case of MPO-ANCA-associated vasculitis with membranous nephropathy].[伴有膜性肾病的髓过氧化物酶抗中性粒细胞胞浆抗体相关性血管炎病例]
Nihon Jinzo Gakkai Shi. 2011;53(1):46-52.
7
[Case of rapidly progressive glomerulonephritis with anti-glomerular basement membrane antibody in the course of MPO-ANCA-associated pachymeningitis].[在MPO-ANCA相关性硬脑膜炎病程中伴抗肾小球基底膜抗体的快速进展性肾小球肾炎病例]
Nihon Jinzo Gakkai Shi. 2009;51(4):490-5.
8
[ANCA-associated vasculitis].[抗中性粒细胞胞浆抗体相关性血管炎]
G Ital Nefrol. 2002 Mar-Apr;19(2):125-36.
9
Antineutrophil cytoplasmic antibody-associated vasculitis complicated with diffuse alveolar hemorrhage: a study of 12 cases.抗中性粒细胞胞浆抗体相关性血管炎并发弥漫性肺泡出血:12 例研究。
J Clin Rheumatol. 2009 Oct;15(7):341-4. doi: 10.1097/RHU.0b013e3181b59581.
10
Recurrence of anti-neutrophil cytoplasmic antibody vasculitis in the kidney allograft.肾移植后抗中性粒细胞胞浆抗体血管炎的复发。
Nephrology (Carlton). 2012 Apr;17 Suppl 1:16-9. doi: 10.1111/j.1440-1797.2012.01586.x.

引用本文的文献

1
Alport syndrome misdiagnosed with IgA nephropathy from familial history: a case report and brief review.Alport 综合征误诊为家族史 IgA 肾病:病例报告并文献复习。
BMC Nephrol. 2023 Apr 15;24(1):97. doi: 10.1186/s12882-023-03165-7.
2
Osteopontin deficiency ameliorates Alport pathology by preventing tubular metabolic deficits.骨桥蛋白缺乏通过防止管状代谢缺陷改善 Alport 病病理。
JCI Insight. 2018 Mar 22;3(6):94818. doi: 10.1172/jci.insight.94818.

本文引用的文献

1
Genetic aspects of anti-neutrophil cytoplasmic antibody-associated vasculitis.抗中性粒细胞胞浆抗体相关性血管炎的遗传学方面。
Nephrol Dial Transplant. 2015 Apr;30 Suppl 1:i37-45. doi: 10.1093/ndt/gfu386. Epub 2014 Dec 18.
2
Collagen type IV-related nephropathies in Portugal: pathogenic COL4A3 and COL4A4 mutations and clinical characterization of 25 families.葡萄牙的IV型胶原相关肾病:25个家系的致病性COL4A3和COL4A4突变及临床特征
Clin Genet. 2015 Nov;88(5):456-61. doi: 10.1111/cge.12521. Epub 2014 Nov 10.
3
End-stage kidney disease due to Alport syndrome: outcomes in 296 consecutive Australia and New Zealand Dialysis and Transplant Registry cases.
因 Alport 综合征导致的终末期肾病:296 例澳大利亚和新西兰透析和移植登记处连续病例的结局。
Nephrol Dial Transplant. 2014 Dec;29(12):2277-86. doi: 10.1093/ndt/gfu254. Epub 2014 Jul 24.
4
Improving mutation screening in familial hematuric nephropathies through next generation sequencing.通过下一代测序改善家族性血尿性肾病的突变筛查
J Am Soc Nephrol. 2014 Dec;25(12):2740-51. doi: 10.1681/ASN.2013080912. Epub 2014 May 22.
5
Unbiased next generation sequencing analysis confirms the existence of autosomal dominant Alport syndrome in a relevant fraction of cases.无偏倚的下一代测序分析证实,在相当一部分病例中存在常染色体显性遗传性阿尔波特综合征。
Clin Genet. 2014 Sep;86(3):252-7. doi: 10.1111/cge.12258. Epub 2013 Oct 17.
6
Genetically distinct subsets within ANCA-associated vasculitis.抗中性粒细胞胞质抗体相关性血管炎的基因亚型。
N Engl J Med. 2012 Jul 19;367(3):214-23. doi: 10.1056/NEJMoa1108735.
7
Autosomal dominant Alport syndrome: molecular analysis of the COL4A4 gene and clinical outcome.常染色体显性遗传性奥尔波特综合征:COL4A4基因的分子分析及临床结果
Nephrol Dial Transplant. 2009 May;24(5):1464-71. doi: 10.1093/ndt/gfn681. Epub 2009 Jan 7.
8
Pattern of double glomerulopathy in children.儿童双肾小球病模式
Pediatr Nephrol. 2007 Apr;22(4):521-7. doi: 10.1007/s00467-006-0342-9. Epub 2006 Nov 16.
9
Renal transplantation in patients with Alport syndrome.奥尔波特综合征患者的肾移植
Pediatr Transplant. 2006 Sep;10(6):651-7. doi: 10.1111/j.1399-3046.2006.00528.x.
10
Occupational exposure in ANCA-positive patients: a case-control study.抗中性粒细胞胞浆抗体阳性患者的职业暴露:一项病例对照研究。
Kidney Int. 2005 May;67(5):1961-6. doi: 10.1111/j.1523-1755.2005.00295.x.