Suppr超能文献

乳牙龋的诊断与管理

Diagnosis and Management of Hidden Caries in a Primary Molar Tooth.

作者信息

Gera Arwa, Zilberman Uri

机构信息

Resident, Department of Pediatric Dentistry, Barzilai University Medical Center, Ashkelon, Israel.

Head, Department of Pediatric Dentistry, Barzilai University Medical Center, Ashkelon, Israel.

出版信息

Int J Clin Pediatr Dent. 2017 Jan-Mar;10(1):99-102. doi: 10.5005/jp-journals-10005-1415. Epub 2017 Feb 27.

Abstract

UNLABELLED

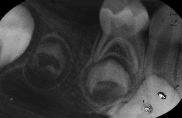
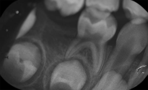
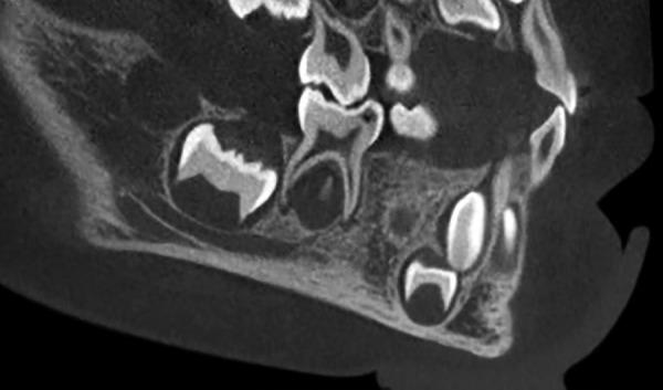
Hidden caries is a dentinal lesion beneath the dentinoenamel junction, visible on radiographs. A single report described this lesion in primary dentition. This case report describes a case of hidden caries in a mandibular second primary molar, misdiagnosed as malignant swelling. A 3-year-old white girl was referred to the Department of Pediatric Dentistry with a chief complaint of pain and extraoral swelling on the right side of the mandible for the last 3 months. She was earlier referred to the surgical department for biopsy of the lesion. Radiographic and computed tomography scan examination showed a periapical lesion with buccal plate resorption and radiolucency beneath the enamel on the mesial part of tooth 85. The tooth was extracted, and follow-up of 2 years showed normal development of tooth 45. The main problem is early detection and treatment, since the outer surface of enamel may appear intact on tactile examination.

HOW TO CITE THIS ARTICLE

Gera A, Zilberman U. Diagnosis and Management of Hidden Caries in a Primary Molar Tooth. Int J Clin Pediatr Dent 2017;10(1):99-102.

摘要

未标注

隐匿性龋是位于牙本质釉质界下方的牙本质病变,在X线片上可见。有一份报告描述了乳牙列中的这种病变。本病例报告描述了一例下颌第二乳磨牙隐匿性龋被误诊为恶性肿胀的病例。一名3岁白人女孩因右侧下颌疼痛和口外肿胀3个月为主诉被转诊至儿童牙科。她之前被转诊至外科进行病变活检。X线片和计算机断层扫描检查显示85号牙近中部分根尖周病变伴颊侧板吸收以及釉质下方的透射区。该牙被拔除,2年的随访显示45号牙发育正常。主要问题是早期发现和治疗,因为在触诊检查时釉质外表面可能看起来完好无损。

如何引用本文

Gera A, Zilberman U. 乳牙隐匿性龋的诊断与处理。《国际临床儿科牙科学杂志》2017;10(1):99 - 102。

https://cdn.ncbi.nlm.nih.gov/pmc/blobs/d052/5360812/d49bdf5fd8b2/ijcpd-10-099-g001.jpg

文献检索

告别复杂PubMed语法,用中文像聊天一样搜索,搜遍4000万医学文献。AI智能推荐,让科研检索更轻松。

立即免费搜索

文件翻译

保留排版,准确专业,支持PDF/Word/PPT等文件格式,支持 12+语言互译。

免费翻译文档

深度研究

AI帮你快速写综述,25分钟生成高质量综述,智能提取关键信息,辅助科研写作。

立即免费体验