Yan Xiaoli, Li Huan, Bai Ming, Miao Mingsan
Henan University of Traditional Chinese Medicine, Zhengzhou 450046, China.
Saudi J Biol Sci. 2017 Mar;24(3):595-602. doi: 10.1016/j.sjbs.2017.01.031. Epub 2017 Jan 23.
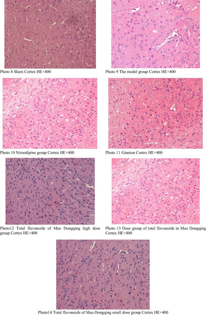
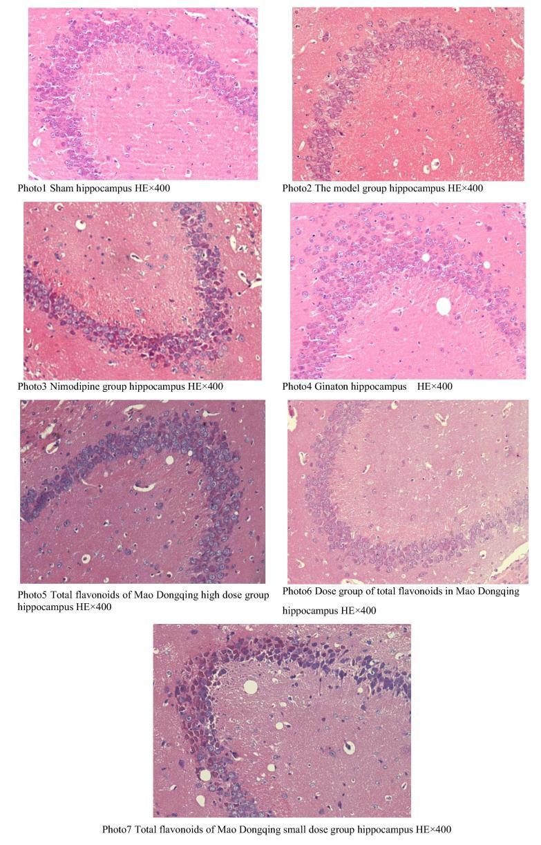
This paper aims to observe the effects of total flavonoids of Radix Ilicis pubescentis on mouse model of cerebral ischemia reperfusion. Mice were orally given different doses of total flavonoids of Radix Ilicis pubescentis 10 d, and were administered once daily. On the tenth day after the administration of 1 h in mice after anesthesia, we used needle to hook the bilateral common carotid artery (CCA) for 10 min, with 10 min ischemia reperfusion, 10 min ischemia. Then we restored their blood supply, copy the model of cerebral ischemia reperfusion; We then had all mice reperfused for 24 h, and then took their orbital blood samples and measured blood rheology. We quickly removed the brain, with half of the brain having sagittal incision. Then we fixed the brains and sectioned them to observe the pathological changes of brain cells in the hippocampus and cortex. We also measured the other half sample which was made of brain homogenate of NO, NOS, Na-K-, ATP enzyme Mg-ATPase and Ca-ATPase. Acupuncture needle hook occlusion of bilateral common carotid arteries can successfully establish the model of cerebral ischemia reperfusion. After comparing with the model mice, we concluded that Ilex pubescens flavonoids not only reduce damage to the brain nerve cells in the hippocampus and cortex, but also significantly reduce the content of NO in brain homogenate, the activity of nitric oxide synthase (NOS) and increases ATP enzyme activity ( < 0.05, < 0.01). In this way, cerebral ischemia reperfusion injury is improved. Different dosages of Ilex pubescens flavonoids on mouse cerebral ischemia reperfusion model have good effects.
本文旨在观察毛冬青总黄酮对小鼠脑缺血再灌注模型的影响。将小鼠连续10天口服给予不同剂量的毛冬青总黄酮,每日给药1次。给药第10天,小鼠麻醉1 h后,用针钩夹双侧颈总动脉10 min,缺血10 min,再灌注10 min,然后恢复供血,复制脑缺血再灌注模型;再将所有小鼠再灌注24 h,然后采集眶静脉血样本,检测血液流变学指标。迅速取出脑组织,将一半脑组织做矢状切开。然后固定脑组织并切片,观察海马和皮质区脑细胞的病理变化。同时检测另一半脑组织匀浆中一氧化氮(NO)、一氧化氮合酶(NOS)、钠钾ATP酶(Na-K-ATP酶)及钙ATP酶(Ca-ATP酶)的含量。针刺夹闭双侧颈总动脉能成功建立脑缺血再灌注模型。与模型小鼠比较后得出,毛冬青黄酮类化合物不仅能减轻海马和皮质区脑神经细胞的损伤,还能显著降低脑组织匀浆中NO含量、一氧化氮合酶(NOS)活性,并提高ATP酶活性(P<0.05,P<0.01),从而改善脑缺血再灌注损伤。不同剂量的毛冬青黄酮类化合物对小鼠脑缺血再灌注模型均有良好的作用。