• 文献检索
  • 文档翻译
  • 深度研究
  • 学术资讯
  • Suppr Zotero 插件Zotero 插件
  • 邀请有礼
  • 套餐&价格
  • 历史记录
应用&插件
Suppr Zotero 插件Zotero 插件浏览器插件Mac 客户端Windows 客户端微信小程序
定价
高级版会员购买积分包购买API积分包
服务
文献检索文档翻译深度研究API 文档MCP 服务
关于我们
关于 Suppr公司介绍联系我们用户协议隐私条款
关注我们

Suppr 超能文献

核心技术专利:CN118964589B侵权必究
粤ICP备2023148730 号-1Suppr @ 2026

文献检索

告别复杂PubMed语法,用中文像聊天一样搜索,搜遍4000万医学文献。AI智能推荐,让科研检索更轻松。

立即免费搜索

文件翻译

保留排版,准确专业,支持PDF/Word/PPT等文件格式,支持 12+语言互译。

免费翻译文档

深度研究

AI帮你快速写综述,25分钟生成高质量综述,智能提取关键信息,辅助科研写作。

立即免费体验

在HER2均一阳性且非肠型的晚期胃癌中,曲妥珠单抗治疗的疗效欠佳。

Poor efficacy response to trastuzumab therapy in advanced gastric cancer with homogeneous HER2 positive and non-intestinal type.

作者信息

Xu Chen, Liu Yalan, Jiang Dongxian, Li Qian, Ge Xiaowen, Zhang Ying, Huang Jie, Su Jieakesu, Ji Yuan, Hou Jun, Lu Shaohua, Hou Yingyong, Liu Tianshu

机构信息

Department of Pathology, Zhongshan Hospital, Fudan University, Shanghai, China.

Department of Pathology, School of Basic Medical Sciences and Zhongshan Hospital, Fudan University, Shanghai, China.

出版信息

Oncotarget. 2017 May 16;8(20):33185-33196. doi: 10.18632/oncotarget.16567.

DOI:10.18632/oncotarget.16567
PMID:28388541
原文链接:https://pmc.ncbi.nlm.nih.gov/articles/PMC5464860/
Abstract

INTRODUCTION

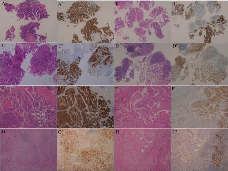
Factors affecting trastuzumab efficacy in advanced gastric cancer (GC) are largely unknown. Heterogeneity is a notable feature of HER2 in GC. Whether the heterogeneity influences trastuzumab efficacy is still unknown.

RESULTS

The HER2homogeneous group and HER2heterogeneous group showed no statistical difference in RR (46.4% vs 55.0%, P = 0.558), PFS (5.80 vs 6.30 months, P = 0.804) and OS (16.00 vs 16.00 months, P = 0.787). The Laurenintestinal group and Laurennon-intestinal group demonstrated no discrepancy in PFS (6.00 vs 6.00 months, P = 0.912) and OS (16.50 vs 14.00 months, P = 0.227). However, by combining HER2 heterogeneity and Lauren classification, PFS and OS of HER2homogeneous/Laurennon-intestinal subgroup was the shortest among the 4 subgroups (P = 0.012 and P = 0.037), which was much shorter than the other patients (PFS:3.00 vs 6.30 months, P = 0.003; OS: 4.50 vs 16.50 months, P = 0.004). Univariate and multivariate analysis showed that HER2 heterogeneity combined with Lauren classification was an independent prognostic factor in both PFS (P = 0.031 and P = 0.002) and OS (P = 0.039 and P = 0.013).

MATERIALS AND METHODS

48 patients with HER2 positive advanced GCs accepting trastuzumab treatment were retrospectively analyzed. Based on HER2 heterogeneity, the patients were divided into a HER2homogeneous group and a HER2heterogeneous group. Response rate (RR), progression free survival (PFS), and overall survival (OS) were compared. Main clinicopathological factors including Lauren classification were subjected to subgroup analysis.

CONCLUSIONS

HER2 heterogeneity alone may not correlate with trastuzumab efficacy in HER2 positive advanced GCs. HER2 heterogeneity combined with Lauren classification may help to identify a subgroup with poor response to trastuzumabx which is homogeneous HER2 positive and non-intestinal type.

摘要

引言

影响曲妥珠单抗治疗晚期胃癌(GC)疗效的因素大多未知。异质性是胃癌中HER2的一个显著特征。这种异质性是否会影响曲妥珠单抗的疗效仍不清楚。

结果

HER2同质组和HER2异质组在缓解率(RR)(46.4%对55.0%,P = 0.558)、无进展生存期(PFS)(5.80对6.30个月,P = 0.804)和总生存期(OS)(16.00对16.00个月,P = 0.787)方面无统计学差异。Lauren肠型组和Lauren非肠型组在PFS(6.00对6.00个月,P = 0.912)和OS(16.50对14.00个月,P = 0.227)方面无差异。然而,将HER2异质性与Lauren分类相结合后,HER2同质/Lauren非肠型亚组的PFS和OS在4个亚组中最短(P = 0.012和P = 0.037),远短于其他患者(PFS:3.00对6.30个月,P = 0.003;OS:4.50对16.50个月,P = 0.004)。单因素和多因素分析表明,HER2异质性与Lauren分类相结合在PFS(P = 0.031和P = 0.002)和OS(P = 0.039和P = 0.013)方面均为独立的预后因素。

材料与方法

回顾性分析48例接受曲妥珠单抗治疗的HER2阳性晚期胃癌患者。根据HER2异质性,将患者分为HER2同质组和HER2异质组。比较缓解率(RR)、无进展生存期(PFS)和总生存期(OS)。对包括Lauren分类在内的主要临床病理因素进行亚组分析。

结论

单独的HER2异质性可能与HER2阳性晚期胃癌中曲妥珠单抗的疗效无关。HER2异质性与Lauren分类相结合可能有助于识别出对曲妥珠单抗反应较差的亚组,即HER2阳性且非肠型的同质亚组。

https://cdn.ncbi.nlm.nih.gov/pmc/blobs/19ed/5464860/e7921efc0ba9/oncotarget-08-33185-g003.jpg
https://cdn.ncbi.nlm.nih.gov/pmc/blobs/19ed/5464860/67eef4e62fe9/oncotarget-08-33185-g001.jpg
https://cdn.ncbi.nlm.nih.gov/pmc/blobs/19ed/5464860/dd2e7247faea/oncotarget-08-33185-g002.jpg
https://cdn.ncbi.nlm.nih.gov/pmc/blobs/19ed/5464860/e7921efc0ba9/oncotarget-08-33185-g003.jpg
https://cdn.ncbi.nlm.nih.gov/pmc/blobs/19ed/5464860/67eef4e62fe9/oncotarget-08-33185-g001.jpg
https://cdn.ncbi.nlm.nih.gov/pmc/blobs/19ed/5464860/dd2e7247faea/oncotarget-08-33185-g002.jpg
https://cdn.ncbi.nlm.nih.gov/pmc/blobs/19ed/5464860/e7921efc0ba9/oncotarget-08-33185-g003.jpg

相似文献

1
Poor efficacy response to trastuzumab therapy in advanced gastric cancer with homogeneous HER2 positive and non-intestinal type.在HER2均一阳性且非肠型的晚期胃癌中,曲妥珠单抗治疗的疗效欠佳。
Oncotarget. 2017 May 16;8(20):33185-33196. doi: 10.18632/oncotarget.16567.
2
Clinical impact of intratumoral HER2 heterogeneity on trastuzumab efficacy in patients with HER2-positive gastric cancer.肿瘤内 HER2 异质性对曲妥珠单抗治疗 HER2 阳性胃癌疗效的临床影响。
J Gastroenterol. 2018 Nov;53(11):1186-1195. doi: 10.1007/s00535-018-1464-0. Epub 2018 Apr 9.
3
Clinical significance of intratumoral HER2 heterogeneity on trastuzumab efficacy using endoscopic biopsy specimens in patients with advanced HER2 positive gastric cancer.曲妥珠单抗治疗晚期 HER2 阳性胃癌患者时,应用内镜活检标本评估肿瘤内 HER2 异质性的临床意义。
Gastric Cancer. 2019 May;22(3):518-525. doi: 10.1007/s10120-018-0887-x. Epub 2018 Oct 17.
4
Late stage gastric cancer patients with extra gained HER2 positivity by dual block assessment may not show compromised efficacy to trastuzumab treatment.通过双重阻断评估获得额外HER2阳性的晚期胃癌患者可能对曲妥珠单抗治疗未显示出疗效受损。
Aging (Albany NY). 2019 Nov 17;11(22):10052-10060. doi: 10.18632/aging.102415.
5
Depth of response is a significant predictor for long-term outcome in advanced gastric cancer patients treated with trastuzumab.反应深度是接受曲妥珠单抗治疗的晚期胃癌患者长期预后的重要预测指标。
Oncotarget. 2017 May 9;8(19):31169-31179. doi: 10.18632/oncotarget.16099.
6
Predictive factors of trastuzumab-based chemotherapy in HER2 positive advanced gastric cancer: a single-center prospective observational study.曲妥珠单抗为基础的化疗在 HER2 阳性晚期胃癌中的预测因素:一项单中心前瞻性观察研究。
Clin Transl Oncol. 2018 Jun;20(6):695-702. doi: 10.1007/s12094-017-1772-5. Epub 2017 Nov 22.
7
Survival analysis based on human epidermal growth factor 2 status in stage II-III gastric cancer.基于人表皮生长因子 2 状态的Ⅱ-Ⅲ期胃癌生存分析。
World J Gastroenterol. 2017 Nov 7;23(41):7407-7414. doi: 10.3748/wjg.v23.i41.7407.
8
Efficacy and Safety of Trastuzumab Biosimilar (CT-P6) Compared With Reference Trastuzumab in Patients With HER2-positive Advanced Gastric Cancer: A Retrospective Analysis.曲妥珠单抗生物类似药(CT-P6)对比曲妥珠单抗参照药用于人表皮生长因子受体 2 阳性晚期胃癌患者的有效性和安全性:一项回顾性分析。
Am J Clin Oncol. 2022 Feb 1;45(2):61-65. doi: 10.1097/COC.0000000000000887.
9
A prospective observational study on the optimal maintenance strategy in HER2-positive advanced gastric cancer treated with trastuzumab-based therapy.曲妥珠单抗为基础的治疗后 HER2 阳性晚期胃癌的最佳维持治疗策略的前瞻性观察研究。
J Cancer Res Clin Oncol. 2020 Jan;146(1):287-295. doi: 10.1007/s00432-019-03060-5. Epub 2019 Oct 30.
10
Trastuzumab Specific Epitope Evaluation as a Predictive and Prognostic Biomarker in Gastric Cancer Patients.曲妥珠单抗特异性表位评估作为胃癌患者的预测和预后生物标志物。
Biomolecules. 2019 Nov 26;9(12):782. doi: 10.3390/biom9120782.

引用本文的文献

1
The AGAMENON-SEOM model for prediction of survival in patients with advanced HER2-positive oesophagogastric adenocarcinoma receiving first-line trastuzumab-based therapy.AGAMENON-SEOM模型用于预测接受一线曲妥珠单抗治疗的晚期HER2阳性食管胃腺癌患者的生存率。
Ther Adv Med Oncol. 2023 Mar 4;15:17588359231157641. doi: 10.1177/17588359231157641. eCollection 2023.
2
Dual block HER2 assessment increased HER2 immunohistochemistry positive rate in resected specimens of gastric cancer: a prospective multicenter clinical trial from China.双重阻断 HER2 评估提高了胃癌切除标本中 HER2 免疫组织化学阳性率:来自中国的一项前瞻性多中心临床试验。
Diagn Pathol. 2022 Jun 28;17(1):54. doi: 10.1186/s13000-022-01230-7.
3

本文引用的文献

1
HER2-induced metastasis is mediated by AKT/JNK/EMT signaling pathway in gastric cancer.HER2诱导的转移是由胃癌中的AKT/JNK/EMT信号通路介导的。
World J Gastroenterol. 2016 Nov 7;22(41):9141-9153. doi: 10.3748/wjg.v22.i41.9141.
2
HER2 Testing and Clinical Decision Making in Gastroesophageal Adenocarcinoma: Guideline From the College of American Pathologists, American Society for Clinical Pathology, and American Society of Clinical Oncology.胃食管交界部腺癌的 HER2 检测与临床决策制定:美国病理学家学会、美国临床病理学会和美国临床肿瘤学会指南
Arch Pathol Lab Med. 2016 Dec;140(12):1345-1363. doi: 10.5858/arpa.2016-0331-CP. Epub 2016 Nov 14.
3
Combined bioinformatics technology to explore pivot genes and related clinical prognosis in the development of gastric cancer.
联合生物信息学技术探索胃癌发生发展中的枢纽基因及相关临床预后
Sci Rep. 2021 Jul 29;11(1):15412. doi: 10.1038/s41598-021-94291-5.
4
External validity of clinical trials with diverse trastuzumab-based chemotherapy regimens in advanced gastroesophageal adenocarcinoma: data from the AGAMENON-SEOM registry.晚期胃食管腺癌中使用多种基于曲妥珠单抗的化疗方案的临床试验的外部有效性:来自AGAMENON-SEOM注册研究的数据
Ther Adv Med Oncol. 2021 Jun 17;13:17588359211019672. doi: 10.1177/17588359211019672. eCollection 2021.
5
Human Epidermal Growth Factor Receptor 2 (HER2) in Advanced Gastric Cancer: Current Knowledge and Future Perspectives.人表皮生长因子受体 2(HER2)在晚期胃癌中的作用:现状与展望。
Drugs. 2020 Mar;80(4):401-415. doi: 10.1007/s40265-020-01272-5.
6
Late stage gastric cancer patients with extra gained HER2 positivity by dual block assessment may not show compromised efficacy to trastuzumab treatment.通过双重阻断评估获得额外HER2阳性的晚期胃癌患者可能对曲妥珠单抗治疗未显示出疗效受损。
Aging (Albany NY). 2019 Nov 17;11(22):10052-10060. doi: 10.18632/aging.102415.
7
Clinical impact of intratumoral HER2 heterogeneity on trastuzumab efficacy in patients with HER2-positive gastric cancer.肿瘤内 HER2 异质性对曲妥珠单抗治疗 HER2 阳性胃癌疗效的临床影响。
J Gastroenterol. 2018 Nov;53(11):1186-1195. doi: 10.1007/s00535-018-1464-0. Epub 2018 Apr 9.
HER2 heterogeneity in gastric/gastroesophageal cancers: From benchside to practice.
胃/胃食管癌中的HER2异质性:从实验室到临床实践
World J Gastroenterol. 2016 Jul 14;22(26):5879-87. doi: 10.3748/wjg.v22.i26.5879.
4
Evaluation of a trastuzumab-containing treatment regimen for patients with unresectable advanced or recurrent gastric cancer.评估含曲妥珠单抗治疗方案用于不可切除的晚期或复发性胃癌患者的疗效。
Mol Clin Oncol. 2016 Jul;5(1):74-78. doi: 10.3892/mco.2016.892. Epub 2016 May 10.
5
Current and emerging therapies in unresectable and recurrent gastric cancer.不可切除及复发性胃癌的当前及新兴疗法
World J Gastroenterol. 2016 May 28;22(20):4812-23. doi: 10.3748/wjg.v22.i20.4812.
6
HER2 testing in gastric cancer: An update.胃癌中的HER2检测:最新进展
World J Gastroenterol. 2016 May 21;22(19):4619-25. doi: 10.3748/wjg.v22.i19.4619.
7
Current Molecular Targeted Therapy in Advanced Gastric Cancer: A Comprehensive Review of Therapeutic Mechanism, Clinical Trials, and Practical Application.晚期胃癌的当前分子靶向治疗:治疗机制、临床试验及实际应用的全面综述
Gastroenterol Res Pract. 2016;2016:4105615. doi: 10.1155/2016/4105615. Epub 2016 Jan 10.
8
Personalized medicine in gastric cancer: Where are we and where are we going?胃癌的个性化医疗:我们现状如何,又将走向何方?
World J Gastroenterol. 2016 Jan 21;22(3):1160-71. doi: 10.3748/wjg.v22.i3.1160.
9
Targeted therapies in gastric cancer and future perspectives.胃癌的靶向治疗及未来展望。
World J Gastroenterol. 2016 Jan 14;22(2):471-89. doi: 10.3748/wjg.v22.i2.471.
10
Cancer statistics in China, 2015.《中国癌症统计数据 2015》
CA Cancer J Clin. 2016 Mar-Apr;66(2):115-32. doi: 10.3322/caac.21338. Epub 2016 Jan 25.