Suppr超能文献

天麻素通过激活Nrf2信号通路来保护免受脂多糖诱导的急性肺损伤。

Gastrodin protects against LPS-induced acute lung injury by activating Nrf2 signaling pathway.

作者信息

Zhang Zhuo, Zhou Jie, Song Daqiang, Sun Yuhong, Liao Changli, Jiang Xian

机构信息

Laboratory of Pharmacology, College of Pharmacy, Southwest Medical University, Luzhou, Sichuan, China.

Laboratory of Science of Chinese Pharmacology, College of Pharmacy, Southwest Medical University, Luzhou, Sichuan, China.

出版信息

Oncotarget. 2017 May 9;8(19):32147-32156. doi: 10.18632/oncotarget.16740.

Abstract

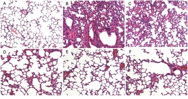
Gastrodin (GAS), a phenolic glucoside derived from Gastrodiaelata Blume, has been reported to have anti-inflammatory effect. The aim of this study was to investigate the effects of GAS on LPS-induced acute lung injury in mice. ALI was induced by the intranasal administration of LPS and GAS was given 1 h or 12 h after LPS treatment. The results indicated that GAS treatment markedly attenuated the damage of lung injury induced by LPS. GAS attenuated the activity of myeloperoxidase (MPO) and down-regulated the levels of pro-inflammatory cytokines TNF-α, IL-6 and IL-1β in BALF. LPS-induced lung edema and lung function were also reversed by GAS. Furthermore, GAS was found to inhibit LPS-induced inflammatory cells infiltration. In addition, treatment of GAS inhibited LPS-induced NF-κB activation and up-regulated the expression of Nrf2 and HO-1. In conclusion, our results indicated that GAS had anti-inflammatory effects on LPS-induced acute lung injury. The anti-inflammatory mechanism of GAS was through the inhibition of NF-κB and activation of Nrf2 signaling pathways.

摘要

天麻素(GAS)是一种从天麻中提取的酚类糖苷,据报道具有抗炎作用。本研究的目的是探讨GAS对脂多糖(LPS)诱导的小鼠急性肺损伤的影响。通过鼻内给予LPS诱导急性肺损伤,并在LPS处理后1小时或12小时给予GAS。结果表明,GAS治疗显著减轻了LPS诱导的肺损伤。GAS降低了髓过氧化物酶(MPO)的活性,并下调了支气管肺泡灌洗液(BALF)中促炎细胞因子肿瘤坏死因子-α(TNF-α)、白细胞介素-6(IL-6)和白细胞介素-1β(IL-1β)的水平。GAS还逆转了LPS诱导的肺水肿和肺功能损伤。此外,发现GAS可抑制LPS诱导的炎症细胞浸润。另外,GAS治疗可抑制LPS诱导的核因子-κB(NF-κB)活化,并上调核因子E2相关因子2(Nrf2)和血红素加氧酶-1(HO-1)的表达。总之,我们的结果表明,GAS对LPS诱导的急性肺损伤具有抗炎作用。GAS的抗炎机制是通过抑制NF-κB和激活Nrf2信号通路实现的。

https://cdn.ncbi.nlm.nih.gov/pmc/blobs/3775/5458274/18e5be17c69a/oncotarget-08-32147-g001.jpg

文献AI研究员

20分钟写一篇综述,助力文献阅读效率提升50倍。

立即体验

用中文搜PubMed

大模型驱动的PubMed中文搜索引擎

马上搜索

文档翻译

学术文献翻译模型,支持多种主流文档格式。

立即体验