Ola Olatunde, Dumancas Carissa, Mene-Afejuku Tuoyo Omasan, Akinlonu Adedoyin, Al-Juboori Mohammed, Visco Ferdinand, Mushiyev Savi, Pekler Gerald
Department of Medicine, New York Medical College, Metropolitan Hospital Center, New York, NY, USA.
Division of Cardiology, New York Medical College, Metropolitan Hospital Center, New York, NY, USA.
Am J Case Rep. 2017 Apr 16;18:410-413. doi: 10.12659/ajcr.902884.
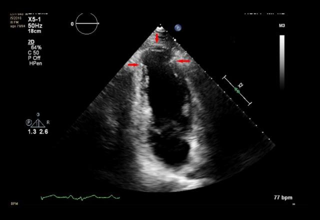
BACKGROUND Electrocardiographic presentations of left ventricle aneurysms are diverse; however, a persistent ST segment elevation post myocardial infarction is most commonly reported. CASE REPORT The authors present a case of a 67-year-old man who presented to the emergency department after three days of chest pain and was found to have an acute myocardial infarction with an incidental finding of a left ventricular aneurysm. His surface electrocardiogram, however, demonstrated only inverted T waves in the precordial leads. He had a very elevated serum troponin I consistent with an acute myocardial injury which prompted a cardiac catheterization with angioplasty. Post angioplasty, he had persistent T wave inversions in the precordial leads. CONCLUSIONS It is important for clinicians to appreciate that the presence of newly inverted T waves in patients with a late presentation post myocardial infarction should raise a concern for a possible left ventricular aneurysm.
左心室室壁瘤的心电图表现多样;然而,最常报道的是心肌梗死后持续性ST段抬高。病例报告:作者介绍了一名67岁男性的病例,该患者在胸痛三天后就诊于急诊科,被发现患有急性心肌梗死,并偶然发现左心室室壁瘤。然而,他的体表心电图仅显示胸前导联T波倒置。他的血清肌钙蛋白I水平非常高,与急性心肌损伤一致,这促使他接受了心脏导管插入术和血管成形术。血管成形术后,他胸前导联的T波持续倒置。结论:临床医生应认识到,心肌梗死后晚期就诊的患者出现新的T波倒置应引起对可能存在左心室室壁瘤的关注。