Sen M, Akeno N, Reece A, Miller A L, Simpson D S, Wikenheiser-Brokamp K A
Division of Pathology & Laboratory Medicine, Cincinnati Children's Hospital Medical Center, Cincinnati, OH, USA.
Perinatal Institute, Division of Pulmonary Biology, Cincinnati Children's Hospital Medical Center, Cincinnati, OH, USA.
Oncogenesis. 2017 Apr 17;6(4):e320. doi: 10.1038/oncsis.2017.5.
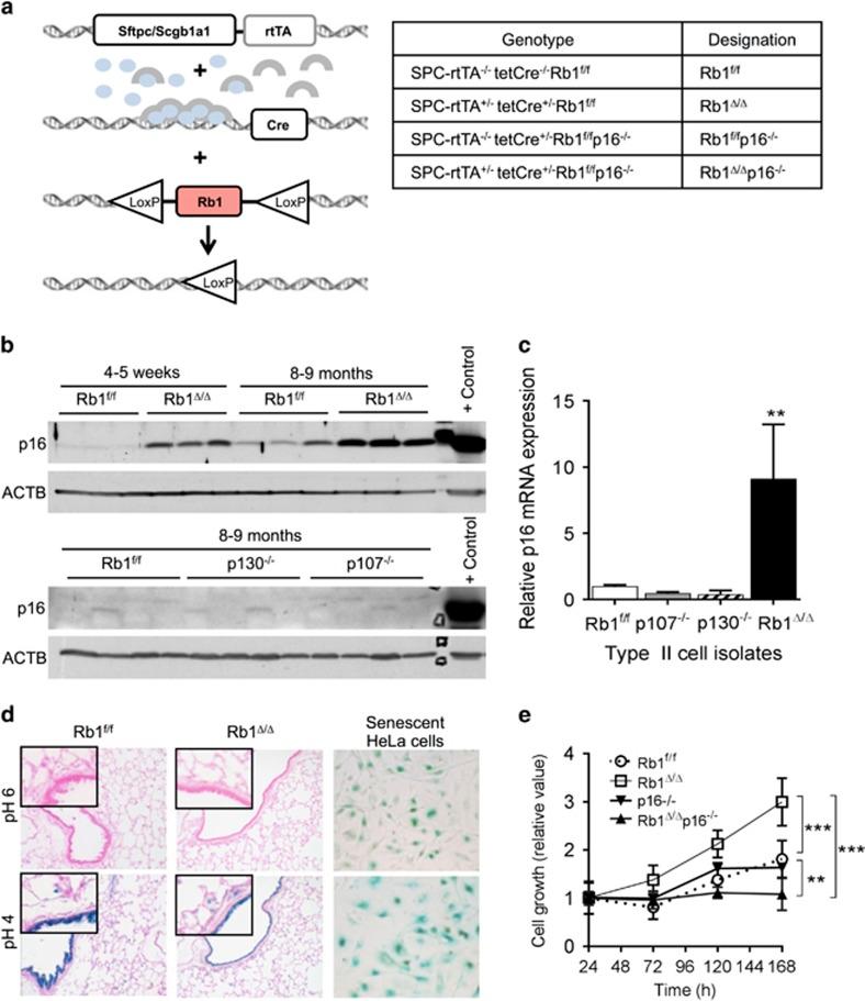
The p16/RB1 tumor suppressor pathway is inactivated in the vast majority, if not all, human cancers. The current paradigm is that p16 and RB1 function in a linear pathway to suppress tumorigenesis; however p16 is preferentially lost in human cancers suggesting that p16 has critical tumor suppressive functions not mediated through RB1. Carcinomas arise from transformed epithelial cells and account for 80% of adult malignancies highlighting the need to understand p16/RB1 pathway function in organ epithelia. Lung cancer is the leading cause of cancer deaths and is associated with p16/RB1 pathway deregulation. We demonstrate that p16 is upregulated in the lung epithelium after Rb1 ablation in genetically engineered mouse models. In contrast to fibroblasts, loss of RB1 family proteins, p107 or p130, did not result in p16 induction, demonstrating that p16 suppression is a unique RB1 pocket protein function in the lung epithelium in vivo. p16 upregulation did not induce cellular senescence but rather promoted survival of RB1-deficient lung epithelial progenitor cells. Mechanistic studies show that p16 protects RB1-deficient cells from DNA damage. Consequently, additional loss of p16 led to genetic instability and increased susceptibility to cellular immortalization and transformation. Mice with combined RB1/p16-deficient lungs developed lung tumors including aggressive metastatic lung cancers. These studies identify p16 loss as a molecular event that causes genetic instability and directly demonstrate that p16 protects against DNA damage in the absence of RB1 function providing an explanation for why p16 is preferentially targeted in human cancers.
p16/RB1肿瘤抑制通路在绝大多数(即便不是所有)人类癌症中均处于失活状态。当前的范式认为,p16和RB1在线性通路中发挥作用以抑制肿瘤发生;然而,p16在人类癌症中更易缺失,这表明p16具有不通过RB1介导的关键肿瘤抑制功能。癌起源于转化的上皮细胞,占成人恶性肿瘤的80%,这凸显了了解p16/RB1通路在器官上皮中功能的必要性。肺癌是癌症死亡的主要原因,且与p16/RB1通路失调相关。我们证明,在基因工程小鼠模型中,Rb1基因敲除后肺上皮中的p16会上调。与成纤维细胞不同,RB1家族蛋白p107或p130的缺失并未导致p16诱导,这表明在体内肺上皮中,p16抑制是RB1口袋蛋白的独特功能。p16上调并未诱导细胞衰老,反而促进了RB1缺陷型肺上皮祖细胞的存活。机制研究表明,p16保护RB1缺陷型细胞免受DNA损伤。因此,p16的进一步缺失导致基因不稳定,并增加了细胞永生化和转化的易感性。RB1/p16双缺陷肺的小鼠发生了肺肿瘤,包括侵袭性转移性肺癌。这些研究确定p16缺失是导致基因不稳定的分子事件,并直接证明在缺乏RB1功能的情况下p16可保护细胞免受DNA损伤,这解释了为何p16在人类癌症中更易成为靶点。