Suppr超能文献

尿液中的RKIP/磷酸化RKIP是透明细胞肾细胞癌潜在的诊断和预后标志物。

Urinary RKIP/p-RKIP is a potential diagnostic and prognostic marker of clear cell renal cell carcinoma.

作者信息

Papale Massimo, Vocino Grazia, Lucarelli Giuseppe, Rutigliano Monica, Gigante Margherita, Rocchetti Maria Teresa, Pesce Francesco, Sanguedolce Francesca, Bufo Pantaleo, Battaglia Michele, Stallone Giovanni, Grandaliano Giuseppe, Carrieri Giuseppe, Gesualdo Loreto, Ranieri Elena

机构信息

Molecular Medicine Center, Section of Clinical Pathology, Department of Medical and Surgical Sciences, University of Foggia, Foggia, Italy.

Division of Nephrology, Department of Emergency and Organ Transplantation, University of Bari, Bari, Italy.

出版信息

Oncotarget. 2017 Jun 20;8(25):40412-40424. doi: 10.18632/oncotarget.16341.

Abstract

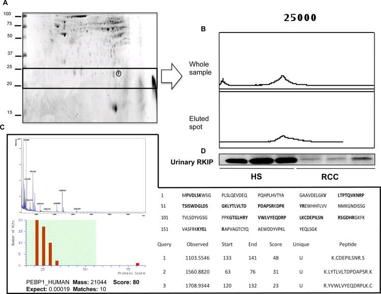
Clear cell Renal Cell Carcinoma (ccRCC) causes over 13,000 deaths each year, and about 20,000 new cases/year in Europe. In most cases, the causes are unknown and, most importantly, there are no reliable biomarkers for the diagnosis and prognosis of this disease. The search for sensitive biomarkers for early diagnosis and prognosis of clear cell Renal Cell Carcinoma (ccRCC) is currently a fast growing field. We carried out proteomics analysis of 93 urinary samples of healthy subjects (HS) and patients affected by ccRCC, prostate cancer (PCa) and chronic kidney disease (CKD), that was able to successfully distinguish each group.The most significant candidate biomarker was identified by mass spectrometry as Raf Kinase Inhibitor Protein (RKIP), a key regulator of cell signaling, already described in several cancer types as a metastasis suppressor. By combining ELISA, immunoblotting and tissue microarray, we demonstrated that, in ccRCC, urinary excretion of RKIP and its phosphorylated form (p-RKIP) reflected the tissue expression of these putative biomarkers. Baseline urinary RKIP, evaluated in an independent cohort of 56 ccRCC patients and 28 HS, successfully distinguished both groups and, most importantly, a cut-off value of 10 ng/mg/g Pr/uCr enabled a highly accurate prediction of Cancer-specific survival and Progression-free survival. Furthermore, p-RKIP was totally undetectable in both tissue and urine samples of ccRCC, showing a great potential for diagnostics purposes.Our data indicate that urinary RKIP encompasses both the unphosphorylated and the phosphorylated form and that their combined evaluation can help in the diagnosis and prognosis of ccRCC.

摘要

透明细胞肾细胞癌(ccRCC)每年导致超过13000人死亡,在欧洲每年约有20000例新发病例。在大多数情况下,病因不明,最重要的是,目前尚无可靠的生物标志物用于该疾病的诊断和预后评估。寻找用于透明细胞肾细胞癌(ccRCC)早期诊断和预后评估的敏感生物标志物是当前一个快速发展的领域。我们对93份健康受试者(HS)以及受ccRCC、前列腺癌(PCa)和慢性肾病(CKD)影响的患者的尿液样本进行了蛋白质组学分析,该分析能够成功区分每组样本。通过质谱鉴定出最显著的候选生物标志物为Raf激酶抑制蛋白(RKIP),它是细胞信号传导的关键调节因子,在多种癌症类型中已被描述为转移抑制因子。通过结合酶联免疫吸附测定(ELISA)、免疫印迹和组织芯片技术,我们证明,在ccRCC中,尿液中RKIP及其磷酸化形式(p - RKIP)的排泄反映了这些假定生物标志物的组织表达情况。在一个由56例ccRCC患者和28例健康受试者组成的独立队列中评估基线尿液RKIP,成功区分了两组,最重要的是,10 ng/mg/g Pr/uCr的临界值能够高度准确地预测癌症特异性生存和无进展生存。此外,在ccRCC的组织和尿液样本中均完全检测不到p - RKIP,显示出巨大的诊断潜力。我们的数据表明,尿液RKIP包括未磷酸化和磷酸化形式,对它们进行联合评估有助于ccRCC的诊断和预后评估。

https://cdn.ncbi.nlm.nih.gov/pmc/blobs/4bfb/5522321/d89864b2c5da/oncotarget-08-40412-g001.jpg

文献AI研究员

20分钟写一篇综述,助力文献阅读效率提升50倍。

立即体验

用中文搜PubMed

大模型驱动的PubMed中文搜索引擎

马上搜索

文档翻译

学术文献翻译模型,支持多种主流文档格式。

立即体验