Suppr超能文献

来自捻转血矛线虫的一种新型天冬氨酸蛋白酶抑制剂的特性分析

Characterization of a novel aspartyl protease inhibitor from Haemonchus contortus.

作者信息

Li Baojie, Gadahi Javaid Ali, Gao Wenxiang, Zhang Zhenchao, Ehsan Muhammad, Xu Lixin, Song Xiaokai, Li Xiangrui, Yan Ruofeng

机构信息

College of Veterinary Medicine, Nanjing Agricultural University, Nanjing, 210095, People's Republic of China.

Department of Veterinary Parasitology, Sindh Agriculture University, Tandojam, Pakistan.

出版信息

Parasit Vectors. 2017 Apr 19;10(1):191. doi: 10.1186/s13071-017-2137-1.

Abstract

BACKGROUND

Aspartyl protease inhibitor (API) was thought to protect intestinal parasitic nematodes from their hostile proteolytic environment. Studies on Ostertagia ostertagi, Ascaris suum and Brugia malayi indicated that aspins might play roles in nematode infection. In a recent study, proteins differentially expressed between free-living third-stage larvae (L3) and activated L3 (xL3) of Haemonchus contortus were identified by 2D-DIGE. API was found downregulated in xL3 when compared with L3. However, there was no report about the functions of H. contortus API in the parasite-host interaction. In this study, the gene encoding API from H. contortus was cloned, expressed, and part of its biological characteristics were studied.

RESULTS

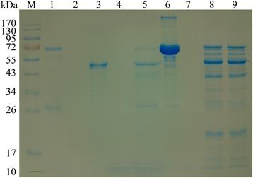
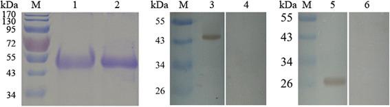
A DNA fragment of 681 bp was amplified by RT-PCR. Ninety one percent of the amino acid sequence was similar with that for aspin from O. ostertagi. The recombinant API protein was fusion-expressed with a molecular weight of 48 × 10. Results of Western blot showed that the recombinant API could be recognized by serum from goat infected with H. contortus. It was found that API was localized exclusively in the subcutaneous tissue and epithelial cells of the gastrointestinal tract in adult H. contortus. qRT-PCR suggested that the API gene was differentially transcribed in different life-cycle stages, with the lowest level in female adults and the highest in free-living L3 larvae. Enzyme inhibition assay indicated that the recombinant API can inhibit the activity of pepsin significantly, and the optimal reaction pH and temperature were 4.0 and 37-50 °C respectively. In vitro study showed that the recombinant API could induce goat PBMCs to express IFN-γ, IL-4 and IL-10.

CONCLUSIONS

A new aspartyl protease inhibitor was cloned from H. contortus and its characteristics were studied for the first time. The results indicate that API may regulate the immune response of the host and play roles in the infection.

摘要

背景

天冬氨酸蛋白酶抑制剂(API)被认为可保护肠道寄生线虫免受其所处的有害蛋白水解环境的影响。对奥斯特他线虫、猪蛔虫和马来布鲁线虫的研究表明,天冬氨酸蛋白酶抑制剂可能在 nematode 感染中发挥作用。在最近的一项研究中,通过二维差异凝胶电泳(2D-DIGE)鉴定了捻转血矛线虫自由生活的第三期幼虫(L3)和活化的 L3(xL3)之间差异表达的蛋白质。与 L3 相比,发现 xL3 中的 API 表达下调。然而,关于捻转血矛线虫 API 在寄生虫-宿主相互作用中的功能尚无报道。在本研究中,克隆并表达了捻转血矛线虫编码 API 的基因,并对其部分生物学特性进行了研究。

结果

通过 RT-PCR 扩增出一个 681 bp 的 DNA 片段。其氨基酸序列的 91%与奥斯特他线虫的天冬氨酸蛋白酶抑制剂相似。重组 API 蛋白以融合形式表达,分子量为 48×10。蛋白质印迹结果表明,重组 API 可被感染捻转血矛线虫的山羊血清识别。发现 API 仅定位于成年捻转血矛线虫的皮下组织和胃肠道上皮细胞中。定量逆转录聚合酶链反应(qRT-PCR)表明,API 基因在不同生命周期阶段差异转录,在成年雌性中水平最低,在自由生活的 L3 幼虫中最高。酶抑制试验表明,重组 API 可显著抑制胃蛋白酶的活性,最佳反应 pH 和温度分别为 4.0 和 37-50°C。体外研究表明,重组 API 可诱导山羊外周血单核细胞(PBMCs)表达干扰素-γ(IFN-γ)、白细胞介素-4(IL-4)和白细胞介素-10(IL-10)。

结论

首次从捻转血矛线虫中克隆出一种新的天冬氨酸蛋白酶抑制剂并对其特性进行了研究。结果表明,API 可能调节宿主免疫反应并在感染中发挥作用。

https://cdn.ncbi.nlm.nih.gov/pmc/blobs/025e/5395858/3687dab9423e/13071_2017_2137_Fig1_HTML.jpg

文献AI研究员

20分钟写一篇综述,助力文献阅读效率提升50倍。

立即体验

用中文搜PubMed

大模型驱动的PubMed中文搜索引擎

马上搜索

文档翻译

学术文献翻译模型,支持多种主流文档格式。

立即体验