Suppr超能文献

钙调神经磷酸酶抑制剂可增加尿囊泡中氯化钠共转运体的丰度,并预测噻嗪类药物敏感性。

NaCl cotransporter abundance in urinary vesicles is increased by calcineurin inhibitors and predicts thiazide sensitivity.

作者信息

Tutakhel Omar A Z, Moes Arthur D, Valdez-Flores Marco A, Kortenoeven Marleen L A, Vrie Mathijs V D, Jeleń Sabina, Fenton Robert A, Zietse Robert, Hoenderop Joost G J, Hoorn Ewout J, Hilbrands Luuk, Bindels René J M

机构信息

Department of Physiology, Radboud University Medical Center, Radboud Institute for Molecular Life Sciences, Nijmegen, The Netherlands.

Department of Internal Medicine, Nephrology and Transplantation, Erasmus Medical Center, Rotterdam, The Netherlands.

出版信息

PLoS One. 2017 Apr 21;12(4):e0176220. doi: 10.1371/journal.pone.0176220. eCollection 2017.

Abstract

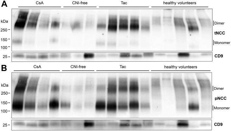
Animal studies have shown that the calcineurin inhibitors (CNIs) cyclosporine and tacrolimus can activate the thiazide-sensitive NaCl cotransporter (NCC). A common side effect of CNIs is hypertension. Renal salt transporters such as NCC are excreted in urinary extracellular vesicles (uEVs) after internalization into multivesicular bodies. Human studies indicate that CNIs also increase NCC abundance in uEVs, but results are conflicting and no relationship with NCC function has been shown. Therefore, we investigated the effects of CsA and Tac on the abundance of both total NCC (tNCC) and phosphorylated NCC at Thr60 phosphorylation site (pNCC) in uEVs, and assessed whether NCC abundance in uEVs predicts the blood pressure response to thiazide diuretics. Our results show that in kidney transplant recipients treated with cyclosporine (n = 9) or tacrolimus (n = 23), the abundance of both tNCC and pNCC in uEVs is 4-5 fold higher than in CNI-free kidney transplant recipients (n = 13) or healthy volunteers (n = 6). In hypertensive kidney transplant recipients, higher abundances of tNCC and pNCC prior to treatment with thiazides predicted the blood pressure response to thiazides. During thiazide treatment, the abundance of pNCC in uEVs increased in responders (n = 10), but markedly decreased in non-responders (n = 8). Thus, our results show that CNIs increase the abundance of both tNCC and pNCC in uEVs, and these increases correlate with the blood pressure response to thiazides. This implies that assessment of NCC in uEVs could represent an alternate method to guide anti-hypertensive therapy in kidney transplant recipients.

摘要

动物研究表明,钙调神经磷酸酶抑制剂(CNIs)环孢素和他克莫司可激活噻嗪类敏感的氯化钠协同转运蛋白(NCC)。CNIs的常见副作用是高血压。肾盐转运蛋白如NCC在被内化到多囊泡体后会排泄到尿细胞外囊泡(uEVs)中。人体研究表明,CNIs也会增加uEVs中NCC的丰度,但结果相互矛盾,且未显示出与NCC功能的关系。因此,我们研究了环孢素A(CsA)和他克莫司(Tac)对uEVs中总NCC(tNCC)和苏氨酸60磷酸化位点的磷酸化NCC(pNCC)丰度的影响,并评估uEVs中NCC丰度是否能预测对噻嗪类利尿剂的血压反应。我们的结果显示,在接受环孢素治疗的肾移植受者(n = 9)或他克莫司治疗的肾移植受者(n = 23)中,uEVs中tNCC和pNCC的丰度比未使用CNIs的肾移植受者(n = 13)或健康志愿者(n = 6)高4至5倍。在高血压肾移植受者中,在使用噻嗪类药物治疗前tNCC和pNCC的丰度较高可预测对噻嗪类药物的血压反应。在噻嗪类药物治疗期间,有反应者(n = 10)的uEVs中pNCC的丰度增加,但无反应者(n = 8)中则明显降低。因此,我们的结果表明,CNIs会增加uEVs中tNCC和pNCC的丰度,且这些增加与对噻嗪类药物的血压反应相关。这意味着评估uEVs中的NCC可能代表一种指导肾移植受者抗高血压治疗的替代方法。

https://cdn.ncbi.nlm.nih.gov/pmc/blobs/c2d9/5400280/13ea6b9a429b/pone.0176220.g001.jpg

相似文献

1
NaCl cotransporter abundance in urinary vesicles is increased by calcineurin inhibitors and predicts thiazide sensitivity.
PLoS One. 2017 Apr 21;12(4):e0176220. doi: 10.1371/journal.pone.0176220. eCollection 2017.
2
Hydrochlorothiazide treatment increases the abundance of the NaCl cotransporter in urinary extracellular vesicles of essential hypertensive patients.
Am J Physiol Renal Physiol. 2017 Jun 1;312(6):F1063-F1072. doi: 10.1152/ajprenal.00644.2016. Epub 2017 Mar 8.
4
Effect of the DASH diet on the sodium-chloride cotransporter and aquaporin-2 in urinary extracellular vesicles.
Am J Physiol Renal Physiol. 2024 Jun 1;326(6):F971-F980. doi: 10.1152/ajprenal.00274.2023. Epub 2024 Apr 18.
5
Urinary extracellular vesicles as markers to assess kidney sodium transport.
Curr Opin Nephrol Hypertens. 2016 Mar;25(2):67-72. doi: 10.1097/MNH.0000000000000192.
6
Increased Urinary Extracellular Vesicle Sodium Transporters in Cushing Syndrome With Hypertension.
J Clin Endocrinol Metab. 2018 Jul 1;103(7):2583-2591. doi: 10.1210/jc.2018-00065.
7
Aldosterone modulates thiazide-sensitive sodium chloride cotransporter abundance via DUSP6-mediated ERK1/2 signaling pathway.
Am J Physiol Renal Physiol. 2015 May 15;308(10):F1119-27. doi: 10.1152/ajprenal.00543.2014. Epub 2015 Mar 11.
8
The Role of Urinary Extracellular Vesicles Sodium Chloride Cotransporter in Subtyping Primary Aldosteronism.
Front Endocrinol (Lausanne). 2022 Apr 4;13:834409. doi: 10.3389/fendo.2022.834409. eCollection 2022.
10
Development of enzyme-linked immunosorbent assays for urinary thiazide-sensitive Na-Cl cotransporter measurement.
Am J Physiol Renal Physiol. 2013 Nov 1;305(9):F1374-81. doi: 10.1152/ajprenal.00208.2013. Epub 2013 Sep 11.

引用本文的文献

1
Extracellular Fluid Volume and Mortality after Kidney Transplantation.
Kidney360. 2024 Dec 1;5(12):1902-1912. doi: 10.34067/KID.0000000587. Epub 2024 Oct 9.
3
Molecular immune monitoring in kidney transplant rejection: a state-of-the-art review.
Front Immunol. 2023 Aug 22;14:1206929. doi: 10.3389/fimmu.2023.1206929. eCollection 2023.
4
Urine Cell Transcriptomes Implicate Specific Renal Inflammatory Pathways Associated With Difficult-to-Control Hypertension.
J Am Heart Assoc. 2023 Mar 21;12(6):e026242. doi: 10.1161/JAHA.122.026242. Epub 2023 Mar 9.
5
The serine-threonine protein phosphatases that regulate the thiazide-sensitive NaCl cotransporter.
Front Physiol. 2023 Feb 15;14:1100522. doi: 10.3389/fphys.2023.1100522. eCollection 2023.
7
Using human urinary extracellular vesicles to study physiological and pathophysiological states and regulation of the sodium chloride cotransporter.
Front Endocrinol (Lausanne). 2022 Aug 29;13:981317. doi: 10.3389/fendo.2022.981317. eCollection 2022.
8
Does the composition of urinary extracellular vesicles reflect the abundance of renal Na/phosphate transporters?
Pflugers Arch. 2022 Nov;474(11):1201-1212. doi: 10.1007/s00424-022-02744-1. Epub 2022 Sep 8.
9
Urinary extracellular vesicles and tubular transport.
Nephrol Dial Transplant. 2023 Jun 30;38(7):1583-1590. doi: 10.1093/ndt/gfac235.

本文引用的文献

1
Calcineurin inhibitors block sodium-chloride cotransporter dephosphorylation in response to high potassium intake.
Kidney Int. 2017 Feb;91(2):402-411. doi: 10.1016/j.kint.2016.09.001. Epub 2016 Oct 27.
2
Hydrochlorothiazide treatment increases the abundance of the NaCl cotransporter in urinary extracellular vesicles of essential hypertensive patients.
Am J Physiol Renal Physiol. 2017 Jun 1;312(6):F1063-F1072. doi: 10.1152/ajprenal.00644.2016. Epub 2017 Mar 8.
4
Potassium Supplementation Prevents Sodium Chloride Cotransporter Stimulation During Angiotensin II Hypertension.
Hypertension. 2016 Oct;68(4):904-12. doi: 10.1161/HYPERTENSIONAHA.116.07389. Epub 2016 Sep 6.
5
In Primary Aldosteronism, Mineralocorticoids Influence Exosomal Sodium-Chloride Cotransporter Abundance.
J Am Soc Nephrol. 2017 Jan;28(1):56-63. doi: 10.1681/ASN.2015111221. Epub 2016 Jul 5.
6
An immunoassay for urinary extracellular vesicles.
Am J Physiol Renal Physiol. 2016 Apr 15;310(8):F796-F801. doi: 10.1152/ajprenal.00463.2015. Epub 2016 Jan 28.
7
Direct and Indirect Mineralocorticoid Effects Determine Distal Salt Transport.
J Am Soc Nephrol. 2016 Aug;27(8):2436-45. doi: 10.1681/ASN.2015070815. Epub 2015 Dec 28.
8
Alternative splice variant of the thiazide-sensitive NaCl cotransporter: a novel player in renal salt handling.
Am J Physiol Renal Physiol. 2016 Feb 1;310(3):F204-16. doi: 10.1152/ajprenal.00429.2015. Epub 2015 Nov 11.
9
Renal Deletion of 12 kDa FK506-Binding Protein Attenuates Tacrolimus-Induced Hypertension.
J Am Soc Nephrol. 2016 May;27(5):1456-64. doi: 10.1681/ASN.2015040466. Epub 2015 Oct 2.
10
Increased phosphorylation of the renal Na+-Cl- cotransporter in male kidney transplant recipient patients with hypertension: a prospective cohort.
Am J Physiol Renal Physiol. 2015 Nov 15;309(10):F836-42. doi: 10.1152/ajprenal.00326.2015. Epub 2015 Sep 2.

文献AI研究员

20分钟写一篇综述,助力文献阅读效率提升50倍。

立即体验

用中文搜PubMed

大模型驱动的PubMed中文搜索引擎

马上搜索

文档翻译

学术文献翻译模型,支持多种主流文档格式。

立即体验