• 文献检索
  • 文档翻译
  • 深度研究
  • 学术资讯
  • Suppr Zotero 插件Zotero 插件
  • 邀请有礼
  • 套餐&价格
  • 历史记录
应用&插件
Suppr Zotero 插件Zotero 插件浏览器插件Mac 客户端Windows 客户端微信小程序
定价
高级版会员购买积分包购买API积分包
服务
文献检索文档翻译深度研究API 文档MCP 服务
关于我们
关于 Suppr公司介绍联系我们用户协议隐私条款
关注我们

Suppr 超能文献

核心技术专利:CN118964589B侵权必究
粤ICP备2023148730 号-1Suppr @ 2026

文献检索

告别复杂PubMed语法,用中文像聊天一样搜索,搜遍4000万医学文献。AI智能推荐,让科研检索更轻松。

立即免费搜索

文件翻译

保留排版,准确专业,支持PDF/Word/PPT等文件格式,支持 12+语言互译。

免费翻译文档

深度研究

AI帮你快速写综述,25分钟生成高质量综述,智能提取关键信息,辅助科研写作。

立即免费体验

腺样囊性上皮瘤:一家系两例报告

Epithelioma Adenoides Cysticum: A Report of Two Cases in a Family.

作者信息

Riyaz Najeeba, Sudhamani Bindurani, Riyaz Arakkal

机构信息

Department of Dermatology, Medical College, Calicut, Kerala, India.

Department of Dermatology, Palakkad Medical College, Palakkad, Kerala, India.

出版信息

Int J Trichology. 2016 Oct-Dec;8(4):165-167. doi: 10.4103/0974-7753.203177.

DOI:10.4103/0974-7753.203177
PMID:28442871
原文链接:https://pmc.ncbi.nlm.nih.gov/articles/PMC5387875/
Abstract

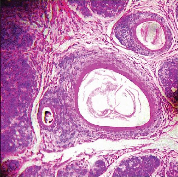
Epithelioma adenoides cysticum or multiple trichoepitheliomas are rare benign hamartomas arising from the hair germ. A 35-year-old female presented with multiple skin-colored firm papules and nodules mainly affecting the central face, scalp, and external ear canal since the age of 9 years. The lesions gradually increased with age. Her 13-year-old son also had similar but smaller lesions on the central face. Histopathology was consistent with trichoepithelioma.

摘要

囊性腺样上皮瘤或多发性毛发上皮瘤是起源于毛胚的罕见良性错构瘤。一名35岁女性自9岁起出现多个肤色坚实丘疹和结节,主要累及面部中央、头皮和外耳道。病变随年龄逐渐增多。她13岁的儿子在面部中央也有类似但较小的病变。组织病理学检查结果符合毛发上皮瘤。

https://cdn.ncbi.nlm.nih.gov/pmc/blobs/eb17/5387875/05a130299ea4/IJT-8-165-g003.jpg
https://cdn.ncbi.nlm.nih.gov/pmc/blobs/eb17/5387875/5cbf4b645a77/IJT-8-165-g001.jpg
https://cdn.ncbi.nlm.nih.gov/pmc/blobs/eb17/5387875/a3494b39207d/IJT-8-165-g002.jpg
https://cdn.ncbi.nlm.nih.gov/pmc/blobs/eb17/5387875/05a130299ea4/IJT-8-165-g003.jpg
https://cdn.ncbi.nlm.nih.gov/pmc/blobs/eb17/5387875/5cbf4b645a77/IJT-8-165-g001.jpg
https://cdn.ncbi.nlm.nih.gov/pmc/blobs/eb17/5387875/a3494b39207d/IJT-8-165-g002.jpg
https://cdn.ncbi.nlm.nih.gov/pmc/blobs/eb17/5387875/05a130299ea4/IJT-8-165-g003.jpg

相似文献

1
Epithelioma Adenoides Cysticum: A Report of Two Cases in a Family.腺样囊性上皮瘤:一家系两例报告
Int J Trichology. 2016 Oct-Dec;8(4):165-167. doi: 10.4103/0974-7753.203177.
2
[Epithelioma adenoides cysticum (Brooke's tumor)].[腺样囊性上皮瘤(布鲁克瘤)]
Acta Unio Int Contra Cancrum. 1952;8(1):272-9.
3
[Epithelioma adenoides cysticum (Brooke's tumor)].[腺样囊性上皮瘤(布鲁克瘤)]
G Med Mil. 1950 Sep-Oct;97(5):452-6.
4
[Dominant heredity in epithelioma adenoides cysticum, Brooke's tumor].[腺样囊性上皮瘤(布鲁克瘤)中的显性遗传]
Z Haut Geschlechtskr. 1956 Jan 15;20(2):43-6.
5
[Brooke's epithelioma adenoides cysticum].[布鲁克腺样囊性上皮瘤]
Vestn Dermatol Venerol. 1968 Oct;42(10):65-70.
6
[Eruptive milia and Brooke's epithelioma adenoides cysticum].[发疹性粟丘疹与布鲁克氏腺样囊性上皮瘤]
Dermatologica. 1957 Nov;115(5):712-6.
7
[A casuistic and therapeutic study of the Spiegler's cylindroma and Brooke's epithelioma adenoides cysticum].[斯皮格勒圆柱瘤与布鲁克腺样囊性上皮瘤的病例分析及治疗研究]
Dermatol Wochenschr. 1953;128(39):949-57.
8
Solitary trichoepithelioma and epithelioma adenoides cysticum of Brooke involving the external auditory meatus.发生于外耳道的孤立性毛发上皮瘤及布鲁克腺样囊性上皮瘤。
J Laryngol Otol. 1981 Aug;95(8):835-41. doi: 10.1017/s0022215100091489.
9
Multiple Familial Trichoepithelioma with an Adjacent Basal Cell Carcinoma, Transformation or Collision - A Case Report and Review of Literature.伴相邻基底细胞癌、转化或碰撞的多发性家族性毛发上皮瘤——病例报告及文献复习
Indian J Dermatol. 2015 May-Jun;60(3):280-3. doi: 10.4103/0019-5154.156380.
10
Epithelioma adenoides cysticum and solitary trichoepithelioma.腺样囊性上皮瘤和孤立性毛发上皮瘤。
Arch Dermatol. 1963 Jan;87:102-14. doi: 10.1001/archderm.1963.01590130108018.

本文引用的文献

1
Epithelioma adenoides cysticum and solitary trichoepithelioma.腺样囊性上皮瘤和孤立性毛发上皮瘤。
Arch Dermatol. 1963 Jan;87:102-14. doi: 10.1001/archderm.1963.01590130108018.
2
The gene for multiple familial trichoepithelioma maps to chromosome 9p21.多发性家族性毛发上皮瘤基因定位于9号染色体短臂21区。
J Invest Dermatol. 1996 Jul;107(1):41-3. doi: 10.1111/1523-1747.ep12297860.
3
Solitary trichoepithelioma and epithelioma adenoides cysticum of Brooke involving the external auditory meatus.发生于外耳道的孤立性毛发上皮瘤及布鲁克腺样囊性上皮瘤。
J Laryngol Otol. 1981 Aug;95(8):835-41. doi: 10.1017/s0022215100091489.
4
Giant solitary trichoepithelioma.巨大孤立性毛发上皮瘤
Arch Dermatol. 1984 Jun;120(6):797-8.
5
Multiple hereditary trichoepitheliomas and basal cell carcinomas.多发性遗传性毛发上皮瘤和基底细胞癌。
J Cutan Pathol. 1986 Apr;13(2):111-7. doi: 10.1111/j.1600-0560.1986.tb01510.x.