• 文献检索
  • 文档翻译
  • 深度研究
  • 学术资讯
  • Suppr Zotero 插件Zotero 插件
  • 邀请有礼
  • 套餐&价格
  • 历史记录
应用&插件
Suppr Zotero 插件Zotero 插件浏览器插件Mac 客户端Windows 客户端微信小程序
定价
高级版会员购买积分包购买API积分包
服务
文献检索文档翻译深度研究API 文档MCP 服务
关于我们
关于 Suppr公司介绍联系我们用户协议隐私条款
关注我们

Suppr 超能文献

核心技术专利:CN118964589B侵权必究
粤ICP备2023148730 号-1Suppr @ 2026

文献检索

告别复杂PubMed语法,用中文像聊天一样搜索,搜遍4000万医学文献。AI智能推荐,让科研检索更轻松。

立即免费搜索

文件翻译

保留排版,准确专业,支持PDF/Word/PPT等文件格式,支持 12+语言互译。

免费翻译文档

深度研究

AI帮你快速写综述,25分钟生成高质量综述,智能提取关键信息,辅助科研写作。

立即免费体验

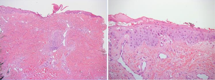
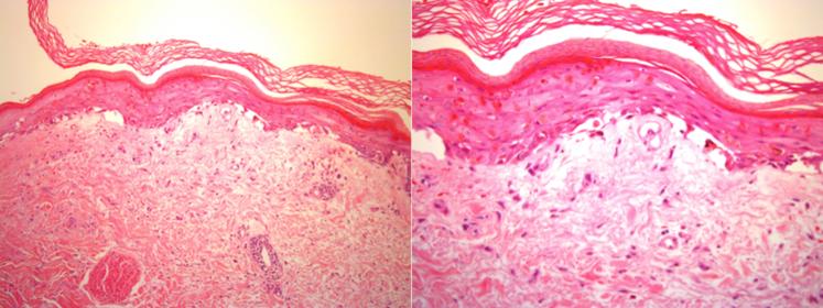
Methotrexate-induced cutaneous ulceration in 3 nonpsoriatic patients: Report of a rare side effect.

作者信息

Lewis Hal A, Nemer Kathleen M, Chibnall Rebecca J, Musiek Amy C

机构信息

University of Missouri School of Medicine, Columbia, Missouri.

Division of Dermatology, Washington University School of Medicine, St. Louis, Missouri.

出版信息

JAAD Case Rep. 2017 Apr 14;3(3):236-239. doi: 10.1016/j.jdcr.2017.02.002. eCollection 2017 May.

DOI:10.1016/j.jdcr.2017.02.002
PMID:28443320
原文链接:https://pmc.ncbi.nlm.nih.gov/articles/PMC5394183/
Abstract
摘要
https://cdn.ncbi.nlm.nih.gov/pmc/blobs/8f68/5394183/9227455c5f1f/gr6.jpg
https://cdn.ncbi.nlm.nih.gov/pmc/blobs/8f68/5394183/09bcef175bc7/gr1.jpg
https://cdn.ncbi.nlm.nih.gov/pmc/blobs/8f68/5394183/9bfa33f98347/gr2.jpg
https://cdn.ncbi.nlm.nih.gov/pmc/blobs/8f68/5394183/68096506a849/gr3.jpg
https://cdn.ncbi.nlm.nih.gov/pmc/blobs/8f68/5394183/1b503e7beb95/gr4.jpg
https://cdn.ncbi.nlm.nih.gov/pmc/blobs/8f68/5394183/3192957262f0/gr5.jpg
https://cdn.ncbi.nlm.nih.gov/pmc/blobs/8f68/5394183/9227455c5f1f/gr6.jpg
https://cdn.ncbi.nlm.nih.gov/pmc/blobs/8f68/5394183/09bcef175bc7/gr1.jpg
https://cdn.ncbi.nlm.nih.gov/pmc/blobs/8f68/5394183/9bfa33f98347/gr2.jpg
https://cdn.ncbi.nlm.nih.gov/pmc/blobs/8f68/5394183/68096506a849/gr3.jpg
https://cdn.ncbi.nlm.nih.gov/pmc/blobs/8f68/5394183/1b503e7beb95/gr4.jpg
https://cdn.ncbi.nlm.nih.gov/pmc/blobs/8f68/5394183/3192957262f0/gr5.jpg
https://cdn.ncbi.nlm.nih.gov/pmc/blobs/8f68/5394183/9227455c5f1f/gr6.jpg

相似文献

1
Methotrexate-induced cutaneous ulceration in 3 nonpsoriatic patients: Report of a rare side effect.3例非银屑病患者甲氨蝶呤诱发的皮肤溃疡:一种罕见副作用的报告
JAAD Case Rep. 2017 Apr 14;3(3):236-239. doi: 10.1016/j.jdcr.2017.02.002. eCollection 2017 May.
2
Methotrexate-induced cutaneous ulcers in a nonpsoriatic patient: case report and review of the literature.非银屑病患者甲氨蝶呤诱导的皮肤溃疡:病例报告及文献复习。
J Cutan Med Surg. 2011 Sep-Oct;15(5):275-9. doi: 10.2310/7750.2011.10078.
3
Methotrexate-induced nonhealing cutaneous ulcers in a nonpsoriatic patient without pancytopenia.甲氨蝶呤诱发的非银屑病患者无全血细胞减少的皮肤溃疡不愈合
Indian Dermatol Online J. 2016 Sep-Oct;7(5):418-420. doi: 10.4103/2229-5178.190509.
4
Cutaneous ulceration as a sign of methotrexate toxicity.皮肤溃疡作为甲氨蝶呤毒性的一种体征。
Eur J Dermatol. 2001 Sep-Oct;11(5):450-2.
5
Intracranial Methotrexate-Associated Lymphoproliferative Disorder in Rheumatoid Arthritis.颅内甲氨蝶呤相关性淋巴组织增生性疾病与类风湿关节炎。
World Neurosurg. 2019 Oct;130:138-141. doi: 10.1016/j.wneu.2019.06.226. Epub 2019 Jul 8.
6
Side effects of methotrexate therapy for rheumatoid arthritis: A systematic review.甲氨蝶呤治疗类风湿关节炎的副作用:系统评价。
Eur J Med Chem. 2018 Oct 5;158:502-516. doi: 10.1016/j.ejmech.2018.09.027. Epub 2018 Sep 13.
7
The association between reduced folate carrier-1 gene 80G/A polymorphism and methotrexate efficacy or methotrexate related-toxicity in rheumatoid arthritis: A meta-analysis.类风湿关节炎中叶酸转运体-1基因80G/A多态性与甲氨蝶呤疗效或甲氨蝶呤相关毒性之间的关联:一项荟萃分析。
Int Immunopharmacol. 2016 Sep;38:8-15. doi: 10.1016/j.intimp.2016.05.012. Epub 2016 May 24.
8
Methotrexate use in rheumatoid arthritis. A Clinician's perspective.甲氨蝶呤在类风湿关节炎中的应用。临床医生视角。
Immunopharmacology. 2000 May;47(2-3):259-71. doi: 10.1016/s0162-3109(00)00184-3.
9
Secreted Protein Acidic and Rich in Cysteine Mediated Biomimetic Delivery of Methotrexate by Albumin-Based Nanomedicines for Rheumatoid Arthritis Therapy.基于白蛋白的纳米药物通过富含半胱氨酸的酸性分泌蛋白介导的甲氨蝶呤仿生递送来治疗类风湿性关节炎。
ACS Nano. 2019 May 28;13(5):5036-5048. doi: 10.1021/acsnano.9b01710. Epub 2019 Apr 25.
10
Methotrexate-induced cutaneous ulceration without pancytopenia in a patient treated for inflammatory arthritis.一名接受炎性关节炎治疗的患者出现甲氨蝶呤诱导的皮肤溃疡但无全血细胞减少症
JAAD Case Rep. 2021 Jun 4;13:130-133. doi: 10.1016/j.jdcr.2021.05.024. eCollection 2021 Jul.

引用本文的文献

1
Methotrexate-induced epidermal necrosis following intrathecal chemotherapy: A case report.鞘内化疗后甲氨蝶呤诱导的表皮坏死:一例报告。
JAAD Case Rep. 2024 Dec 14;56:107-110. doi: 10.1016/j.jdcr.2024.12.005. eCollection 2025 Feb.
2
Mucocutaneous Ulcers Unmasking Severe Systemic Methotrexate Toxicity - A Case-Series and Review of Literature.黏膜皮肤溃疡揭示严重的全身性甲氨蝶呤毒性——病例系列及文献综述
Indian Dermatol Online J. 2024 Apr 29;15(3):473-479. doi: 10.4103/idoj.idoj_567_23. eCollection 2024 May-Jun.
3
Methotrexate Cutaneous Ulceration: A Systematic Review of Cases.

本文引用的文献

1
Methotrexate-Induced Cutaneous Erosions.甲氨蝶呤所致皮肤糜烂
Arthritis Rheumatol. 2016 Jan;68(1):254. doi: 10.1002/art.39409.
2
Low-dose methotrexate-induced skin toxicity: Keratinocyte dystrophy as a histologic marker.低剂量甲氨蝶呤诱导的皮肤毒性:角质形成细胞营养不良作为组织学标志物。
J Am Acad Dermatol. 2015 Sep;73(3):484-90. doi: 10.1016/j.jaad.2015.06.015. Epub 2015 Jul 16.
3
Acute methotrexate toxicity: a fatal condition in two cases of psoriasis.急性甲氨蝶呤毒性:两例银屑病患者的致命病症
甲氨蝶呤皮肤溃疡:病例系统评价。
Am J Clin Dermatol. 2022 Jul;23(4):449-457. doi: 10.1007/s40257-022-00692-1. Epub 2022 Apr 29.
4
Methotrexate-induced cutaneous ulceration without pancytopenia in a patient treated for inflammatory arthritis.一名接受炎性关节炎治疗的患者出现甲氨蝶呤诱导的皮肤溃疡但无全血细胞减少症
JAAD Case Rep. 2021 Jun 4;13:130-133. doi: 10.1016/j.jdcr.2021.05.024. eCollection 2021 Jul.
Case Rep Dermatol Med. 2014;2014:946716. doi: 10.1155/2014/946716. Epub 2014 Sep 8.
4
Cutaneous erosions: a herald for impending pancytopenia in methotrexate toxicity.皮肤糜烂:甲氨蝶呤毒性中即将出现全血细胞减少的先兆。
Dermatol Online J. 2014 Jul 15;20(7):13030/qt46k975h8.
5
Acute methotrexate toxicity seen as plaque psoriasis ulceration and necrosis: A diagnostic clue.急性甲氨蝶呤毒性表现为斑块状银屑病溃疡和坏死:一个诊断线索。
Dermatol Online J. 2011 Nov 15;17(11):2.
6
Methotrexate-induced cutaneous ulcers in a nonpsoriatic patient: case report and review of the literature.非银屑病患者甲氨蝶呤诱导的皮肤溃疡:病例报告及文献复习。
J Cutan Med Surg. 2011 Sep-Oct;15(5):275-9. doi: 10.2310/7750.2011.10078.
7
Methotrexate and psoriasis: 2009 National Psoriasis Foundation Consensus Conference.甲氨蝶呤与银屑病:2009年美国国家银屑病基金会共识会议
J Am Acad Dermatol. 2009 May;60(5):824-37. doi: 10.1016/j.jaad.2008.11.906.
8
Therapeutic drug monitoring of antimetabolic cytotoxic drugs.抗代谢细胞毒性药物的治疗药物监测
Br J Clin Pharmacol. 1999 Feb;47(2):131-43. doi: 10.1046/j.1365-2125.1999.00884.x.