• 文献检索
  • 文档翻译
  • 深度研究
  • 学术资讯
  • Suppr Zotero 插件Zotero 插件
  • 邀请有礼
  • 套餐&价格
  • 历史记录
应用&插件
Suppr Zotero 插件Zotero 插件浏览器插件Mac 客户端Windows 客户端微信小程序
定价
高级版会员购买积分包购买API积分包
服务
文献检索文档翻译深度研究API 文档MCP 服务
关于我们
关于 Suppr公司介绍联系我们用户协议隐私条款
关注我们

Suppr 超能文献

核心技术专利:CN118964589B侵权必究
粤ICP备2023148730 号-1Suppr @ 2026

文献检索

告别复杂PubMed语法,用中文像聊天一样搜索,搜遍4000万医学文献。AI智能推荐,让科研检索更轻松。

立即免费搜索

文件翻译

保留排版,准确专业,支持PDF/Word/PPT等文件格式,支持 12+语言互译。

免费翻译文档

深度研究

AI帮你快速写综述,25分钟生成高质量综述,智能提取关键信息,辅助科研写作。

立即免费体验

西地那非可使便秘临床前模型中的肠道转运恢复正常。

Sildenafil normalizes bowel transit in preclinical models of constipation.

作者信息

Sharman Sarah K, Islam Bianca N, Hou Yali, Usry Margaux, Bridges Allison, Singh Nagendra, Sridhar Subbaramiah, Rao Satish, Browning Darren D

机构信息

Department of Biochemistry and Molecular Biology, Cancer Research Center, Augusta University, Augusta, Georgia, United States of America.

Department of Medicine, Division of Gastroenterology and Hepatology, Augusta University, Augusta, Georgia, United States of America.

出版信息

PLoS One. 2017 Apr 27;12(4):e0176673. doi: 10.1371/journal.pone.0176673. eCollection 2017.

DOI:10.1371/journal.pone.0176673
PMID:28448580
原文链接:https://pmc.ncbi.nlm.nih.gov/articles/PMC5407793/
Abstract

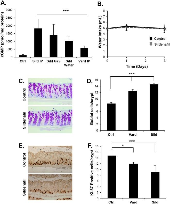
Guanylyl cyclase-C (GC-C) agonists increase cGMP levels in the intestinal epithelium to promote secretion. This process underlies the utility of exogenous GC-C agonists such as linaclotide for the treatment of chronic idiopathic constipation (CIC) and irritable bowel syndrome with constipation (IBS-C). Because GC-C agonists have limited use in pediatric patients, there is a need for alternative cGMP-elevating agents that are effective in the intestine. The present study aimed to determine whether the PDE-5 inhibitor sildenafil has similar effects as linaclotide on preclinical models of constipation. Oral administration of sildenafil caused increased cGMP levels in mouse intestinal epithelium demonstrating that blocking cGMP-breakdown is an alternative approach to increase cGMP in the gut. Both linaclotide and sildenafil reduced proliferation and increased differentiation in colon mucosa, indicating common target pathways. The homeostatic effects of cGMP required gut turnover since maximal effects were observed after 3 days of treatment. Neither linaclotide nor sildenafil treatment affected intestinal transit or water content of fecal pellets in healthy mice. To test the effectiveness of cGMP elevation in a functional motility disorder model, mice were treated with dextran sulfate sodium (DSS) to induce colitis and were allowed to recover for several weeks. The recovered animals exhibited slower transit, but increased fecal water content. An acute dose of sildenafil was able to normalize transit and fecal water content in the DSS-recovery animal model, and also in loperamide-induced constipation. The higher fecal water content in the recovered animals was due to a compromised epithelial barrier, which was normalized by sildenafil treatment. Taken together our results show that sildenafil can have similar effects as linaclotide on the intestine, and may have therapeutic benefit to patients with CIC, IBS-C, and post-infectious IBS.

摘要

鸟苷酸环化酶-C(GC-C)激动剂可提高肠上皮细胞中的环磷酸鸟苷(cGMP)水平,从而促进分泌。这一过程是外源性GC-C激动剂(如利那洛肽)用于治疗慢性特发性便秘(CIC)和便秘型肠易激综合征(IBS-C)的作用基础。由于GC-C激动剂在儿科患者中的应用有限,因此需要在肠道中有效的替代性cGMP升高剂。本研究旨在确定磷酸二酯酶-5(PDE-5)抑制剂西地那非在便秘临床前模型中是否具有与利那洛肽相似的作用。口服西地那非可使小鼠肠上皮细胞中的cGMP水平升高,表明阻断cGMP分解是增加肠道中cGMP的另一种方法。利那洛肽和西地那非均可降低结肠黏膜的增殖并增加其分化,表明存在共同的靶途径。cGMP的稳态作用需要肠道更新,因为在治疗3天后观察到最大作用。利那洛肽和西地那非治疗均未影响健康小鼠的肠道转运或粪便颗粒的含水量。为了在功能性运动障碍模型中测试cGMP升高的有效性,用葡聚糖硫酸钠(DSS)处理小鼠以诱导结肠炎,并使其恢复数周。恢复后的动物表现出转运减慢,但粪便含水量增加。急性剂量的西地那非能够使DSS恢复动物模型以及洛哌丁胺诱导的便秘中的转运和粪便含水量恢复正常。恢复后的动物中较高的粪便含水量是由于上皮屏障受损,而西地那非治疗可使其恢复正常。综上所述,我们的结果表明,西地那非在肠道方面可具有与利那洛肽相似的作用,并且可能对CIC、IBS-C和感染后IBS患者具有治疗益处。

https://cdn.ncbi.nlm.nih.gov/pmc/blobs/5fc2/5407793/61113df902a6/pone.0176673.g006.jpg
https://cdn.ncbi.nlm.nih.gov/pmc/blobs/5fc2/5407793/7fcbce762150/pone.0176673.g001.jpg
https://cdn.ncbi.nlm.nih.gov/pmc/blobs/5fc2/5407793/452a85415513/pone.0176673.g002.jpg
https://cdn.ncbi.nlm.nih.gov/pmc/blobs/5fc2/5407793/2851d7019c03/pone.0176673.g003.jpg
https://cdn.ncbi.nlm.nih.gov/pmc/blobs/5fc2/5407793/189a6d4769a1/pone.0176673.g004.jpg
https://cdn.ncbi.nlm.nih.gov/pmc/blobs/5fc2/5407793/acedfa199544/pone.0176673.g005.jpg
https://cdn.ncbi.nlm.nih.gov/pmc/blobs/5fc2/5407793/61113df902a6/pone.0176673.g006.jpg
https://cdn.ncbi.nlm.nih.gov/pmc/blobs/5fc2/5407793/7fcbce762150/pone.0176673.g001.jpg
https://cdn.ncbi.nlm.nih.gov/pmc/blobs/5fc2/5407793/452a85415513/pone.0176673.g002.jpg
https://cdn.ncbi.nlm.nih.gov/pmc/blobs/5fc2/5407793/2851d7019c03/pone.0176673.g003.jpg
https://cdn.ncbi.nlm.nih.gov/pmc/blobs/5fc2/5407793/189a6d4769a1/pone.0176673.g004.jpg
https://cdn.ncbi.nlm.nih.gov/pmc/blobs/5fc2/5407793/acedfa199544/pone.0176673.g005.jpg
https://cdn.ncbi.nlm.nih.gov/pmc/blobs/5fc2/5407793/61113df902a6/pone.0176673.g006.jpg

相似文献

1
Sildenafil normalizes bowel transit in preclinical models of constipation.西地那非可使便秘临床前模型中的肠道转运恢复正常。
PLoS One. 2017 Apr 27;12(4):e0176673. doi: 10.1371/journal.pone.0176673. eCollection 2017.
2
Tadalafil versus linaclotide in gastrointestinal dysfunction and depressive behavior in constipation-predominant irritable bowel syndrome.他达拉非与利那洛肽治疗便秘型肠易激综合征伴胃肠功能障碍和抑郁行为。
Life Sci. 2020 Sep 1;256:117960. doi: 10.1016/j.lfs.2020.117960. Epub 2020 Jun 10.
3
Sildenafil Suppresses Inflammation-Driven Colorectal Cancer in Mice.西地那非可抑制小鼠炎症驱动的结直肠癌。
Cancer Prev Res (Phila). 2017 Jul;10(7):377-388. doi: 10.1158/1940-6207.CAPR-17-0015. Epub 2017 May 3.
4
Linaclotide, through activation of guanylate cyclase C, acts locally in the gastrointestinal tract to elicit enhanced intestinal secretion and transit.利那洛肽通过激活肠上皮细胞表面的鸟苷酸环化酶 C,在胃肠道局部发挥作用,刺激肠道分泌和运动。
Eur J Pharmacol. 2010 Dec 15;649(1-3):328-35. doi: 10.1016/j.ejphar.2010.09.019. Epub 2010 Sep 20.
5
Linaclotide inhibits colonic nociceptors and relieves abdominal pain via guanylate cyclase-C and extracellular cyclic guanosine 3',5'-monophosphate.利那洛肽通过鸟苷酸环化酶 C 和细胞外环鸟苷酸 3',5'-单磷酸抑制结肠伤害感受器,缓解腹痛。
Gastroenterology. 2013 Dec;145(6):1334-46.e1-11. doi: 10.1053/j.gastro.2013.08.017. Epub 2013 Aug 16.
6
Linaclotide is a potent and selective guanylate cyclase C agonist that elicits pharmacological effects locally in the gastrointestinal tract.利那洛肽是一种强效且选择性的鸟苷酸环化酶 C 激动剂,在胃肠道局部发挥药理作用。
Life Sci. 2010 May 8;86(19-20):760-5. doi: 10.1016/j.lfs.2010.03.015. Epub 2010 Mar 20.
7
Linaclotide activates guanylate cyclase-C/cGMP/protein kinase-II-dependent trafficking of CFTR in the intestine.利那洛肽可激活肠道中鸟苷酸环化酶-C/环磷酸鸟苷/蛋白激酶-II依赖的囊性纤维化跨膜传导调节因子转运。
Physiol Rep. 2017 Jun;5(11). doi: 10.14814/phy2.13299.
8
MRP4 Modulation of the Guanylate Cyclase-C/cGMP Pathway: Effects on Linaclotide-Induced Electrolyte Secretion and cGMP Efflux.MRP4对鸟苷酸环化酶-C/cGMP途径的调节:对利那洛肽诱导的电解质分泌和cGMP流出的影响。
J Pharmacol Exp Ther. 2015 Oct;355(1):48-56. doi: 10.1124/jpet.115.224329. Epub 2015 Jul 27.
9
Pharmacologic properties, metabolism, and disposition of linaclotide, a novel therapeutic peptide approved for the treatment of irritable bowel syndrome with constipation and chronic idiopathic constipation.利那洛肽的药理学特性、代谢和处置,一种新型治疗肽,用于治疗便秘型肠易激综合征和慢性特发性便秘。
J Pharmacol Exp Ther. 2013 Jan;344(1):196-206. doi: 10.1124/jpet.112.199430. Epub 2012 Oct 22.
10
Effect of 5 days linaclotide on transit and bowel function in females with constipation-predominant irritable bowel syndrome.5天利那洛肽对以便秘为主型肠易激综合征女性患者肠道转运及肠功能的影响
Gastroenterology. 2007 Sep;133(3):761-8. doi: 10.1053/j.gastro.2007.06.067. Epub 2007 Jul 3.

引用本文的文献

1
A Non-Systemic Phosphodiesterase-5 Inhibitor Suppresses Colon Proliferation in Mice.一种非系统性磷酸二酯酶-5 抑制剂可抑制小鼠结肠增殖。
Int J Mol Sci. 2023 May 28;24(11):9397. doi: 10.3390/ijms24119397.
2
Vardenafil oral jellies as a potential approach for management of pediatric irritable bowel syndrome.伐地那非口嚼胶作为治疗小儿肠易激综合征的一种潜在方法。
Saudi Pharm J. 2021 Sep;29(9):955-962. doi: 10.1016/j.jsps.2021.07.020. Epub 2021 Jul 27.
3
Outliers in SAR and QSAR: 3. Importance of considering the role of water molecules in protein-ligand interactions and quantitative structure-activity relationship studies.

本文引用的文献

1
Functional Gastrointestinal Disorders: History, Pathophysiology, Clinical Features and Rome IV.功能性胃肠疾病:历史、病理生理学、临床特征与罗马IV标准
Gastroenterology. 2016 Feb 19. doi: 10.1053/j.gastro.2016.02.032.
2
Irritable bowel syndrome: new and emerging treatments.肠易激综合征:新出现的治疗方法。
BMJ. 2015 Jun 18;350:h1622. doi: 10.1136/bmj.h1622.
3
On the fiftieth anniversary. Postinfectious irritable bowel syndrome: mechanisms related to pathogens.五十周年纪念。感染后肠易激综合征:与病原体相关的机制。
SAR和QSAR中的异常值:3. 考虑水分子在蛋白质-配体相互作用和定量构效关系研究中的作用的重要性。
J Comput Aided Mol Des. 2021 Mar;35(3):371-396. doi: 10.1007/s10822-021-00377-7. Epub 2021 Mar 13.
4
Gastrointestinal dysfunction in the synucleinopathies.神经核蛋白病中的胃肠道功能障碍。
Clin Auton Res. 2021 Feb;31(1):77-99. doi: 10.1007/s10286-020-00745-7. Epub 2020 Nov 27.
5
The enduring promise of phosphodiesterase 5 inhibitors for colon cancer prevention.磷酸二酯酶5抑制剂在预防结肠癌方面的持久前景。
Transl Gastroenterol Hepatol. 2019 Dec 23;4:83. doi: 10.21037/tgh.2019.12.10. eCollection 2019.
6
Contractile dysfunction and nitrergic dysregulation in small intestine of a primate model of Parkinson's disease.帕金森病灵长类动物模型小肠的收缩功能障碍与一氧化氮能调节异常
NPJ Parkinsons Dis. 2019 Jun 10;5:10. doi: 10.1038/s41531-019-0081-9. eCollection 2019.
7
Phosphodiesterase-5 inhibitors for colon cancer chemoprevention.用于结肠癌化学预防的磷酸二酯酶-5抑制剂。
Aging (Albany NY). 2018 Sep 5;10(9):2216-2217. doi: 10.18632/aging.101545.
8
Clinical utility of plecanatide in the treatment of chronic idiopathic constipation.普卡那肽在治疗慢性特发性便秘中的临床应用
Int J Gen Med. 2018 Aug 10;11:323-330. doi: 10.2147/IJGM.S125051. eCollection 2018.
9
Cyclic-GMP-Elevating Agents Suppress Polyposis in mice by Targeting the Preneoplastic Epithelium.环鸟苷酸升高剂通过靶向癌前上皮抑制 小鼠的息肉形成。
Cancer Prev Res (Phila). 2018 Feb;11(2):81-92. doi: 10.1158/1940-6207.CAPR-17-0267. Epub 2018 Jan 4.
Neurogastroenterol Motil. 2014 Feb;26(2):156-67. doi: 10.1111/nmo.12304.
4
Type 2 cGMP-dependent protein kinase regulates homeostasis by blocking c-Jun N-terminal kinase in the colon epithelium.2型环磷酸鸟苷依赖性蛋白激酶通过阻断结肠上皮中的c-Jun氨基末端激酶来调节体内平衡。
Cell Death Differ. 2014 Mar;21(3):427-37. doi: 10.1038/cdd.2013.163. Epub 2013 Nov 22.
5
Gastrointestinal pain: unraveling a novel endogenous pathway through uroguanylin/guanylate cyclase-C/cGMP activation.胃肠道疼痛:通过尿鸟苷酸环化酶/鸟苷酸环化酶-C/cGMP 激活揭示新的内源性途径。
Pain. 2013 Sep;154(9):1820-1830. doi: 10.1016/j.pain.2013.05.044. Epub 2013 Jun 5.
6
Pharmacologic properties, metabolism, and disposition of linaclotide, a novel therapeutic peptide approved for the treatment of irritable bowel syndrome with constipation and chronic idiopathic constipation.利那洛肽的药理学特性、代谢和处置,一种新型治疗肽,用于治疗便秘型肠易激综合征和慢性特发性便秘。
J Pharmacol Exp Ther. 2013 Jan;344(1):196-206. doi: 10.1124/jpet.112.199430. Epub 2012 Oct 22.
7
A 12-week, randomized, controlled trial with a 4-week randomized withdrawal period to evaluate the efficacy and safety of linaclotide in irritable bowel syndrome with constipation.一项为期 12 周、随机、对照试验,伴有 4 周的随机撤药期,旨在评估利那洛肽治疗便秘型肠易激综合征的疗效和安全性。
Am J Gastroenterol. 2012 Nov;107(11):1714-24; quiz p.1725. doi: 10.1038/ajg.2012.255.
8
Linaclotide for irritable bowel syndrome with constipation: a 26-week, randomized, double-blind, placebo-controlled trial to evaluate efficacy and safety.Linaclotide 治疗便秘型肠易激综合征的 26 周随机、双盲、安慰剂对照试验:评估疗效和安全性。
Am J Gastroenterol. 2012 Nov;107(11):1702-12. doi: 10.1038/ajg.2012.254.
9
Type 2 cGMP-dependent protein kinase regulates proliferation and differentiation in the colonic mucosa.2 型 cGMP 依赖性蛋白激酶调节结肠黏膜的增殖和分化。
Am J Physiol Gastrointest Liver Physiol. 2012 Jul 15;303(2):G209-19. doi: 10.1152/ajpgi.00500.2011. Epub 2012 May 3.
10
GUCY2C opposes systemic genotoxic tumorigenesis by regulating AKT-dependent intestinal barrier integrity.GUCY2C 通过调节 AKT 依赖性肠道屏障完整性来抑制全身性遗传毒性肿瘤发生。
PLoS One. 2012;7(2):e31686. doi: 10.1371/journal.pone.0031686. Epub 2012 Feb 22.