Suppr超能文献

经胸腔内血管修复术(TEVAR)联合选择性腹腔干覆盖及腹腔干分支栓塞术后因胰腺缺血导致的急性胰腺炎。

Acute pancreatitis caused by pancreatic ischemia after TEVAR combined with intentional celiac artery coverage and embolization of the branches of the celiac artery.

作者信息

Kawatani Yohei, Kurobe Hirotsugu, Nakamura Yoshitsugu, Suda Yuji, Okuma Yoshinori, Sato Shinichiro, Hashimoto Toru, Hori Takaki

机构信息

Department of Cardiovascular Surgery, Chiba-Nishi General Hospital, Matsudo-Shi, Chiba-Ken, Japan.

Department of Radiological Technologist, Chiba-Nishi General Hospital, Matsudo-Shi, Chiba-Ken, Japan.

出版信息

J Surg Case Rep. 2017 Feb 23;2017(2):rjx029. doi: 10.1093/jscr/rjx029. eCollection 2017 Feb.

Abstract

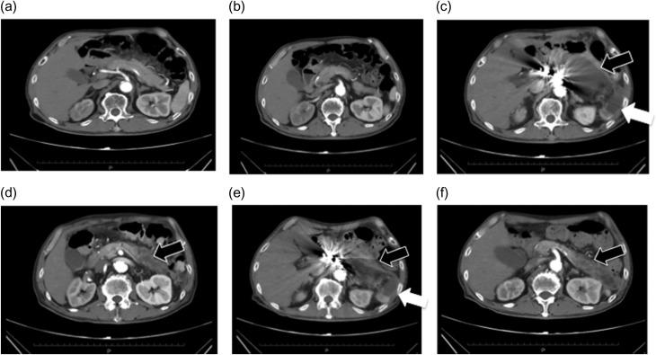
Covering and embolizing the celiac artery has been reported to be a relatively safe procedure, owing to the rich collateral pathway between the celiac artery and superior mesenteric artery. A 69-year-old man presented with an aneurysm on the distal descending aorta. The proximity of the aneurysm to the celiac artery origin necessitated covering the artery with a stent graft. Additionally, the celiac trunk was short, increasing the risk for Type II endoleak. The origin of the celiac artery was covered after embolization of the branches of the celiac artery. Postoperatively, nausea and abdominal pain appeared, and the amylase level and white blood cell count were elevated. Contrast-enhanced computed tomography and abdominal ultrasonography revealed necrosis and cyst formation in the pancreatic tail, resulting in a diagnosis of acute pancreatitis caused by pancreatic ischemia. Conservative treatment was applied. After discharge, although walled-off necrosis remained, the patient was doing well, without any clinical symptoms.

摘要

据报道,由于腹腔干动脉与肠系膜上动脉之间存在丰富的侧支循环途径,覆盖和栓塞腹腔干动脉是一种相对安全的手术。一名69岁男性因降主动脉远端动脉瘤就诊。动脉瘤靠近腹腔干动脉起源,因此需要用支架移植物覆盖该动脉。此外,腹腔干较短,增加了II型内漏的风险。在栓塞腹腔干动脉分支后,覆盖了腹腔干动脉的起源。术后出现恶心和腹痛,淀粉酶水平和白细胞计数升高。对比增强计算机断层扫描和腹部超声检查显示胰尾坏死和囊肿形成,诊断为胰腺缺血性急性胰腺炎。采取了保守治疗。出院后,尽管存在包裹性坏死,但患者情况良好,无任何临床症状。

https://cdn.ncbi.nlm.nih.gov/pmc/blobs/953a/5400475/251d3c09a5ac/rjx029f01.jpg

文献AI研究员

20分钟写一篇综述,助力文献阅读效率提升50倍。

立即体验

用中文搜PubMed

大模型驱动的PubMed中文搜索引擎

马上搜索

文档翻译

学术文献翻译模型,支持多种主流文档格式。

立即体验