Suppr超能文献

翻修全髋关节置换术中髋臼重建的骨移植、骨移植增强剂、替代物及促进剂

Bone grafts, bone graft extenders, substitutes and enhancers for acetabular reconstruction in revision total hip arthroplasty.

作者信息

Pierannunzii Luca, Zagra Luigi

机构信息

Gaetano Pini Orthopedic Institute, Milan, Italy.

IRCCS Galeazzi Orthopedic Institute, Milan, Italy

出版信息

EFORT Open Rev. 2017 Mar 13;1(12):431-439. doi: 10.1302/2058-5241.160025. eCollection 2016 Dec.

Abstract

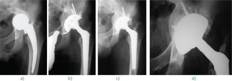
Acetabular bone loss is a relevant concern for surgeons dealing with a failed total hip arthroplasty.Since the femoral head is no longer available, allografts represent the first choice for most reconstructive solutions, either as a structural buttress or impacted bone chips.Even though fresh-frozen bone is firmly recommended for structural grafts, freeze-dried and/or irradiated bone may be used alternatively for impaction grafting. Indeed, there are some papers on freeze-dried or irradiated bone impaction grafting, but their number is limited, as is the number of cases.Xenografts do not represent a viable option based on the poor available evidence but bioactive bioceramics such as hydroxyapatite and biphasic calcium phosphates are suitable bone graft extenders or even substitutes for acetabular impaction grafting.Bone-marrow-derived mesenchymal stem cells and demineralised bone matrix seem to act as reliable bone graft enhancers, i.e. adjuvant therapies able to improve the biological performance of standard bone grafts or substitutes. Among these therapies, platelet-rich plasma and bone morphogenetic proteins need to be investigated further before any recommendations can be made. Cite this article: 2016;1:431-439. DOI:10.1302/2058-5241.160025.

摘要

髋臼骨缺损是髋关节置换失败的外科医生所面临的一个重要问题。由于股骨头已无法使用,同种异体骨移植成为大多数重建方案的首选,既可以作为结构性支撑物,也可以作为打压植骨的骨碎片。尽管强烈推荐使用新鲜冷冻骨进行结构性植骨,但冻干骨和/或辐照骨也可用于打压植骨。实际上,有一些关于冻干骨或辐照骨打压植骨的文献,但数量有限,病例数也不多。基于现有证据不足,异种骨移植不是一个可行的选择,但生物活性生物陶瓷,如羟基磷灰石和双相磷酸钙,是合适的骨移植增强剂,甚至可替代髋臼打压植骨。骨髓间充质干细胞和脱矿骨基质似乎是可靠的骨移植增强剂,即能够改善标准骨移植或替代物生物学性能的辅助治疗方法。在这些治疗方法中,富血小板血浆和骨形态发生蛋白在提出任何建议之前都需要进一步研究。引用本文:2016;1:431 - 439。DOI:10.1302/2058 - 5241.160025。

https://cdn.ncbi.nlm.nih.gov/pmc/blobs/fa65/5367522/c604d79f767f/eor-1-431-g001.jpg

相似文献

1
Bone grafts, bone graft extenders, substitutes and enhancers for acetabular reconstruction in revision total hip arthroplasty.
EFORT Open Rev. 2017 Mar 13;1(12):431-439. doi: 10.1302/2058-5241.160025. eCollection 2016 Dec.
2
[Bone grafts in hip prosthesis revisions].
Acta Chir Orthop Traumatol Cech. 2003;70(2):83-8.
3
5
[Hip joint arthroplasty following surgical treatment of acetabular fracture].
Acta Chir Orthop Traumatol Cech. 2006 Aug;73(4):268-74.
8
[Acetabular revision for aseptic loosening in total hip arthroplasty using cementless cup and impacted morselized allograft].
Rev Chir Orthop Reparatrice Appar Mot. 2007 May;93(3):255-63. doi: 10.1016/s0035-1040(07)90247-0.

引用本文的文献

1
Acetabular revision with moderate-to-severe bone loss using a trabecular titanium cup-cage construct with impaction grafting.
Orthop Rev (Pavia). 2025 Jun 16;17:140718. doi: 10.52965/001c.140718. eCollection 2025.
2
Three dimensionalprinted titanium block to reconstruct severe acetabular bone defects in primary hip arthroplasty.
Int Orthop. 2025 Mar;49(3):595-603. doi: 10.1007/s00264-025-06444-0. Epub 2025 Feb 8.
3
Synthesis and evaluation of a novel vancomycin-infused, biomimetic bone graft using a rat model of spinal implant-associated infection.
N Am Spine Soc J. 2024 Apr 9;18:100323. doi: 10.1016/j.xnsj.2024.100323. eCollection 2024 Jun.
4
6
Custom-made implants for massive acetabular bone loss: accuracy with CT assessment.
J Orthop Surg Res. 2023 Sep 30;18(1):742. doi: 10.1186/s13018-023-04230-5.

本文引用的文献

1
Biologics in spine arthrodesis.
J Spinal Disord Tech. 2015 Jun;28(5):163-70. doi: 10.1097/BSD.0000000000000281.
2
Acetabular reconstruction with impaction bone grafting and cemented polyethylene socket in total hip revision arthroplasty.
Scand J Surg. 2015 Dec;104(4):267-72. doi: 10.1177/1457496914568408. Epub 2015 Feb 13.
3
Bone morphogenetic proteins: a powerful osteoinductive compound with non-negligible side effects and limitations.
Biofactors. 2014 Sep-Oct;40(5):459-81. doi: 10.1002/biof.1177. Epub 2014 Oct 4.
5
In vivo evaluation of bone deposition in macroporous titanium implants loaded with mesenchymal stem cells and strontium-enriched hydrogel.
J Biomed Mater Res B Appl Biomater. 2015 Feb;103(2):448-56. doi: 10.1002/jbm.b.33228. Epub 2014 Jun 9.
6
Massive bone defect compromises postoperative cup survivorship of acetabular revision hip arthroplasty with impaction bone grafting.
J Arthroplasty. 2014 Dec;29(12):2424-9. doi: 10.1016/j.arth.2014.04.001. Epub 2014 Apr 5.
7
Supercharging irradiated allografts with mesenchymal stem cells improves acetabular bone grafting in revision arthroplasty.
Int Orthop. 2014 Sep;38(9):1913-21. doi: 10.1007/s00264-014-2285-2. Epub 2014 Feb 9.
8
Acetabular impaction bone grafting in total hip replacement.
Bone Joint J. 2013 Nov;95-B(11 Suppl A):98-102. doi: 10.1302/0301-620X.95B11.32834.

文献AI研究员

20分钟写一篇综述,助力文献阅读效率提升50倍。

立即体验

用中文搜PubMed

大模型驱动的PubMed中文搜索引擎

马上搜索

文档翻译

学术文献翻译模型,支持多种主流文档格式。

立即体验