Suppr超能文献

基于二阶回归的磁共振图像上采样

Second-Order Regression-Based MR Image Upsampling.

作者信息

Hu Jing, Wu Xi, Zhou Jiliu

机构信息

Department of Computer Science, Chengdu University of Information Technology, Chengdu 610225, China.

出版信息

Comput Math Methods Med. 2017;2017:6462832. doi: 10.1155/2017/6462832. Epub 2017 Mar 30.

Abstract

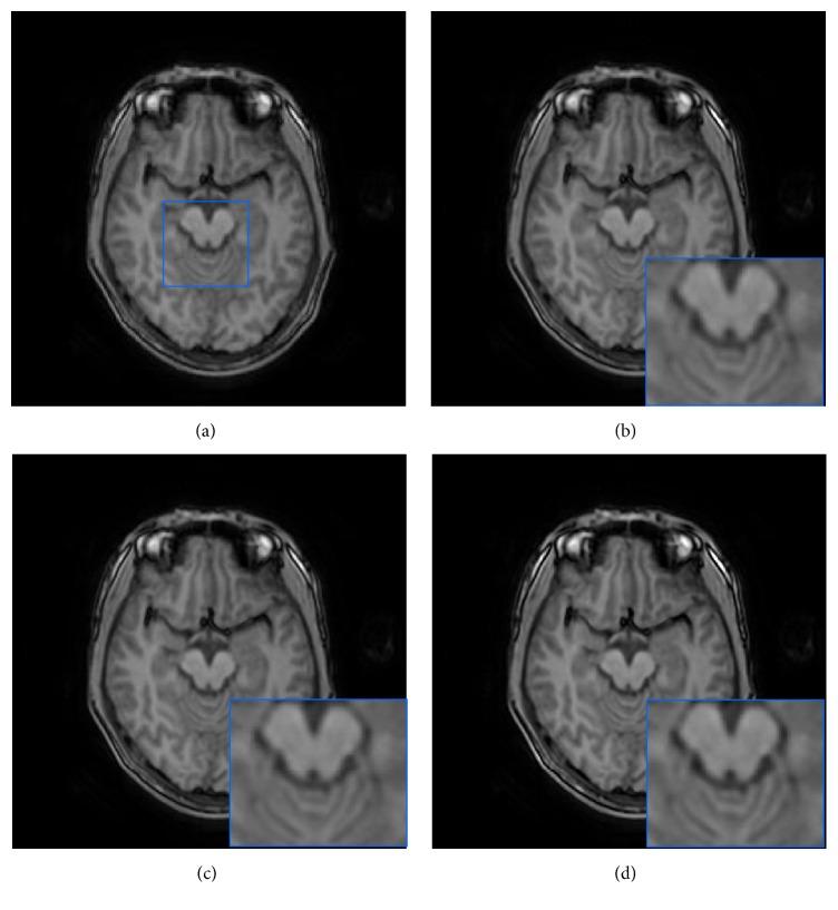
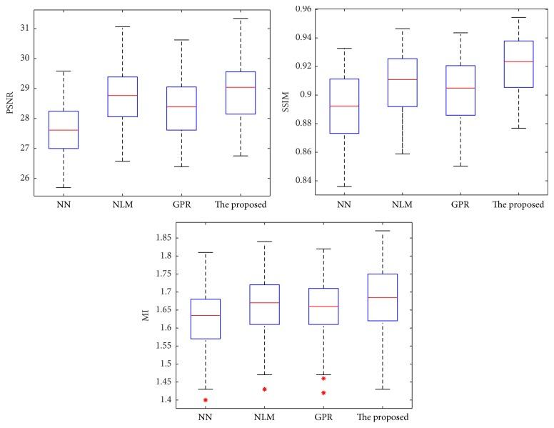
The spatial resolution of magnetic resonance imaging (MRI) is often limited due to several reasons, including a short data acquisition time. Several advanced interpolation-based image upsampling algorithms have been developed to increase the resolution of MR images. These methods estimate the voxel intensity in a high-resolution (HR) image by a weighted combination of voxels in the original low-resolution (LR) MR image. As these methods fall into the zero-order point estimation framework, they only include a local constant approximation of the image voxel and hence cannot fully represent the underlying image structure(s). To this end, we extend the existing zero-order point estimation to higher orders of regression, allowing us to approximate a mapping function between local LR-HR image patches by a polynomial function. Extensive experiments on open-access MR image datasets and actual clinical MR images demonstrate that our algorithm can maintain sharp edges and preserve fine details, while the current state-of-the-art algorithms remain prone to some visual artifacts such as blurring and staircasing artifacts.

摘要

由于多种原因,包括数据采集时间短,磁共振成像(MRI)的空间分辨率常常受到限制。已经开发了几种基于先进插值的图像超分辨率算法来提高MR图像的分辨率。这些方法通过原始低分辨率(LR)MR图像中体素的加权组合来估计高分辨率(HR)图像中的体素强度。由于这些方法属于零阶点估计框架,它们仅包括图像体素的局部常数近似,因此不能完全表示潜在的图像结构。为此,我们将现有的零阶点估计扩展到更高阶的回归,使我们能够通过多项式函数近似局部LR-HR图像块之间的映射函数。在开放获取的MR图像数据集和实际临床MR图像上进行的大量实验表明,我们的算法可以保持清晰的边缘并保留精细的细节,而当前的最先进算法仍然容易出现一些视觉伪影,如模糊和阶梯状伪影。

https://cdn.ncbi.nlm.nih.gov/pmc/blobs/ab02/5390603/66b478b30e92/CMMM2017-6462832.001.jpg

相似文献

1
Second-Order Regression-Based MR Image Upsampling.
Comput Math Methods Med. 2017;2017:6462832. doi: 10.1155/2017/6462832. Epub 2017 Mar 30.
2
Unsupervised arterial spin labeling image superresolution via multiscale generative adversarial network.
Med Phys. 2022 Apr;49(4):2373-2385. doi: 10.1002/mp.15468. Epub 2022 Mar 7.
3
MRI upsampling using feature-based nonlocal means approach.
IEEE Trans Med Imaging. 2014 Oct;33(10):1969-85. doi: 10.1109/TMI.2014.2329271. Epub 2014 Jun 12.
4
MRI super-resolution via realistic downsampling with adversarial learning.
Phys Med Biol. 2021 Oct 5;66(20). doi: 10.1088/1361-6560/ac232e.
5
An edge-directed interpolation method for fetal spine MR images.
Biomed Eng Online. 2013 Oct 10;12:102. doi: 10.1186/1475-925X-12-102.
6
Non-local MRI upsampling.
Med Image Anal. 2010 Dec;14(6):784-92. doi: 10.1016/j.media.2010.05.010. Epub 2010 Jun 4.
7
An Arbitrary Scale Super-Resolution Approach for 3D MR Images via Implicit Neural Representation.
IEEE J Biomed Health Inform. 2023 Feb;27(2):1004-1015. doi: 10.1109/JBHI.2022.3223106.
8
An accurate and robust skull stripping method for 3-D magnetic resonance brain images.
Magn Reson Imaging. 2018 Dec;54:46-57. doi: 10.1016/j.mri.2018.07.014. Epub 2018 Aug 2.
10
Automatic MR image quality evaluation using a Deep CNN: A reference-free method to rate motion artifacts in neuroimaging.
Comput Med Imaging Graph. 2021 Jun;90:101897. doi: 10.1016/j.compmedimag.2021.101897. Epub 2021 Mar 11.

本文引用的文献

1
Self Super-resolution for Magnetic Resonance Images.
Med Image Comput Comput Assist Interv. 2016 Oct;9902:553-560. doi: 10.1007/978-3-319-46726-9_64. Epub 2016 Oct 2.
2
MRI upsampling using feature-based nonlocal means approach.
IEEE Trans Med Imaging. 2014 Oct;33(10):1969-85. doi: 10.1109/TMI.2014.2329271. Epub 2014 Jun 12.
3
Super-resolution reconstruction using cross-scale self-similarity in multi-slice MRI.
Med Image Comput Comput Assist Interv. 2013;16(Pt 3):123-30. doi: 10.1007/978-3-642-40760-4_16.
4
Magnetic resonance image reconstruction from undersampled measurements using a patch-based nonlocal operator.
Med Image Anal. 2014 Aug;18(6):843-56. doi: 10.1016/j.media.2013.09.007. Epub 2013 Oct 16.
5
Collaborative patch-based super-resolution for diffusion-weighted images.
Neuroimage. 2013 Dec;83:245-61. doi: 10.1016/j.neuroimage.2013.06.030. Epub 2013 Jun 19.
6
Interpolation-based image super-resolution using multisurface fitting.
IEEE Trans Image Process. 2012 Jul;21(7):3312-8. doi: 10.1109/TIP.2012.2189576. Epub 2012 Feb 29.
7
MRI superresolution using self-similarity and image priors.
Int J Biomed Imaging. 2010;2010:425891. doi: 10.1155/2010/425891. Epub 2010 Dec 8.
8
A non-local approach for image super-resolution using intermodality priors.
Med Image Anal. 2010 Aug;14(4):594-605. doi: 10.1016/j.media.2010.04.005. Epub 2010 May 6.
9
Non-local MRI upsampling.
Med Image Anal. 2010 Dec;14(6):784-92. doi: 10.1016/j.media.2010.05.010. Epub 2010 Jun 4.
10
Image quality assessment: from error visibility to structural similarity.
IEEE Trans Image Process. 2004 Apr;13(4):600-12. doi: 10.1109/tip.2003.819861.

文献AI研究员

20分钟写一篇综述,助力文献阅读效率提升50倍。

立即体验

用中文搜PubMed

大模型驱动的PubMed中文搜索引擎

马上搜索

文档翻译

学术文献翻译模型,支持多种主流文档格式。

立即体验