Zhang Jiang-Lan, Liu Ying, Yang Hui, Zhang Hong-Quan, Tian Xin-Xia, Fang Wei-Gang
Department of Pathology, Key Laboratory of Carcinogenesis and Translational Research (Ministry of Education), School of Basic Medical Sciences, Peking University Health Science Center, Beijing, China.
Department of Pathology, Peking University Third Hospital, Beijing, China.
Cancer Sci. 2017 Jul;108(7):1318-1327. doi: 10.1111/cas.13273. Epub 2017 Jun 6.
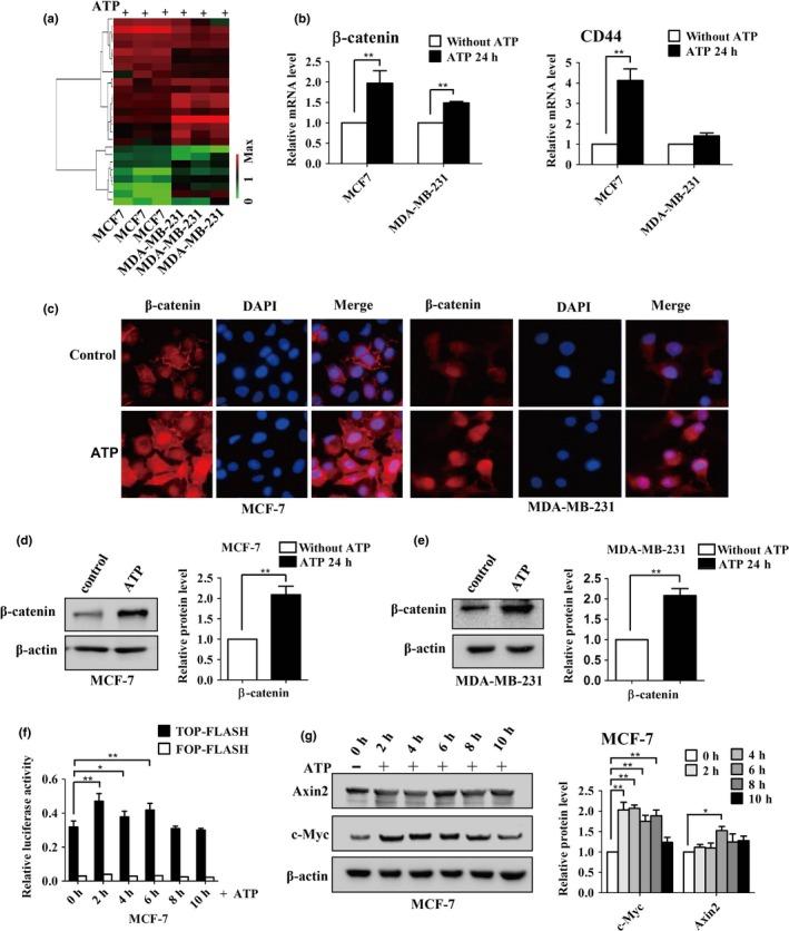
Extracellular adenosine 5'-triphosphate (ATP), secreted by living cancer cells or released by necrotic tumor cells, plays an important role in tumor invasion and metastasis. Our previous study demonstrated that ATP treatment in vitro could promote invasion in human prostate cancer cells via P2Y2, a preferred receptor for ATP, by enhancing EMT process. However, the pro-invasion mechanisms of ATP and P2Y2 are still poorly studied in breast cancer. In this study, we found that P2Y2 was highly expressed in breast cancer cells and associated with human breast cancer metastasis. ATP could promote the in vitro invasion of breast cancer cells and enhance the expression of β-catenin as well as its downstream target genes CD44, c-Myc and cyclin D1, while P2Y2 knockdown attenuated above ATP-driven events in vitro and in vivo. Furthermore, iCRT14, a β-catenin/TCF complex inhibitor, could also suppress ATP-driven migration and invasion in vitro. These results suggest that ATP promoted breast cancer cell invasion via P2Y2-β-catenin axis. Thus blockade of the ATP-P2Y2-β-catenin axis could suppress the invasive and metastatic potential of breast cancer cells and may serve as potential targets for therapeutic interventions of breast cancer.
由活癌细胞分泌或坏死肿瘤细胞释放的细胞外5'-三磷酸腺苷(ATP)在肿瘤侵袭和转移中起重要作用。我们之前的研究表明,体外ATP处理可通过ATP的首选受体P2Y2,通过增强上皮-间质转化(EMT)过程促进人前列腺癌细胞的侵袭。然而,ATP和P2Y2在乳腺癌中的促侵袭机制仍研究较少。在本研究中,我们发现P2Y2在乳腺癌细胞中高表达,并与人乳腺癌转移相关。ATP可促进乳腺癌细胞的体外侵袭,并增强β-连环蛋白及其下游靶基因CD44、c-Myc和细胞周期蛋白D1的表达,而敲低P2Y2可在体外和体内减弱上述ATP驱动的事件。此外,β-连环蛋白/TCF复合物抑制剂iCRT14也可在体外抑制ATP驱动的迁移和侵袭。这些结果表明,ATP通过P2Y2-β-连环蛋白轴促进乳腺癌细胞侵袭。因此,阻断ATP-P2Y2-β-连环蛋白轴可抑制乳腺癌细胞的侵袭和转移潜能,并可能成为乳腺癌治疗干预的潜在靶点。