Suppr超能文献

两个囊肿的故事:多发性皮脂囊肿和发疹性毳毛囊肿——两例病例报告及文献综述

A Tale of Two Cysts: Steatocystoma Multiplex and Eruptive Vellus Hair Cysts-Two Case Reports and a Review of the Literature.

作者信息

Waldemer-Streyer Rachel J, Jacobsen Ellen

机构信息

College of Medicine, University of Illinois-Chicago, Urbana Campus, 506 South Mathews Ave., 190 Medical Sciences Building, MC-714, Urbana, IL 61801, USA.

出版信息

Case Rep Dermatol Med. 2017;2017:3861972. doi: 10.1155/2017/3861972. Epub 2017 Apr 5.

Abstract

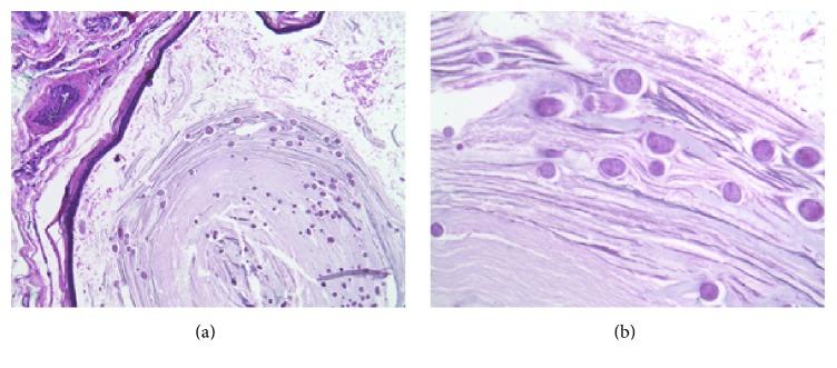
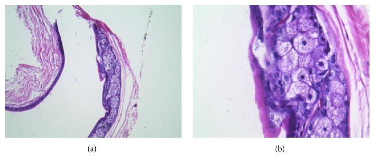
. Steatocystoma multiplex (SM) and eruptive vellus hair cysts (EVHC) are uncommon benign tumors of the pilosebaceous unit. Both SM and EVHC are characterized by smooth, asymptomatic papules or nodules, most commonly presenting on the chest, limbs, and abdomen. Most cases of SM and EVHC are sporadic, although less common autosomal dominant inherited forms have been reported. . In this report we present two cases of cutaneous cysts exhibiting characteristics of either SM or EVHC. Both patients presented with numerous 1-2 mm asymptomatic papules and responded well to surgical expression by incision and drainage (I&D). . SM and EVHC are similar in clinical presentation and management. Previously reported "hybrid-type" tumors present strong evidence for a relationship between the two lesions pathologically. Due to potential similarity of EVHC and SM cyst contents, I&D and subsequent microscopic examination cannot definitely differentiate between EVHC, SM, and hybrid cysts.

摘要

多发性皮脂囊肿(SM)和发疹性毳毛囊肿(EVHC)是皮脂腺单位的罕见良性肿瘤。SM和EVHC均以光滑、无症状的丘疹或结节为特征,最常见于胸部、四肢和腹部。虽然已报道较少见的常染色体显性遗传形式,但SM和EVHC的大多数病例为散发性。在本报告中,我们呈现了两例表现出SM或EVHC特征的皮肤囊肿病例。两名患者均出现大量1 - 2毫米无症状丘疹,经切开引流术(I&D)手术挤压后反应良好。SM和EVHC在临床表现和治疗方面相似。先前报道的“混合型”肿瘤为这两种病变在病理上的关系提供了有力证据。由于EVHC和SM囊肿内容物可能相似,I&D及随后的显微镜检查无法明确区分EVHC、SM和混合性囊肿。

https://cdn.ncbi.nlm.nih.gov/pmc/blobs/9bf1/5396452/b1a8374bdcbc/CRIDM2017-3861972.001.jpg

文献检索

告别复杂PubMed语法,用中文像聊天一样搜索,搜遍4000万医学文献。AI智能推荐,让科研检索更轻松。

立即免费搜索

文件翻译

保留排版,准确专业,支持PDF/Word/PPT等文件格式,支持 12+语言互译。

免费翻译文档

深度研究

AI帮你快速写综述,25分钟生成高质量综述,智能提取关键信息,辅助科研写作。

立即免费体验