Suppr超能文献

磷酸丙糖异构酶在胃癌中的表达的临床意义及预后价值

Clinical significance and prognostic value of Triosephosphate isomerase expression in gastric cancer.

作者信息

Chen Tingting, Huang Zhigang, Tian Yunxiao, Lin Bode, He Rongwei, Wang Haiwei, Ouyang Ping, Chen Haoqin, Wu Lili

机构信息

Department of Epidemiology and Health Statistics, School of Public Health, Guangdong Medical University, Guangdong Dongguan Key Laboratory of Environmental Medicine, Guangdong Department of Pathology, Handan Central Hospital, Hebei Scientific Research Centre, Guangdong Medical University, Guangdong Department of Internal Medicine, Dalang Hospital of Dongguan City, Guangdong, China.

出版信息

Medicine (Baltimore). 2017 May;96(19):e6865. doi: 10.1097/MD.0000000000006865.

Abstract

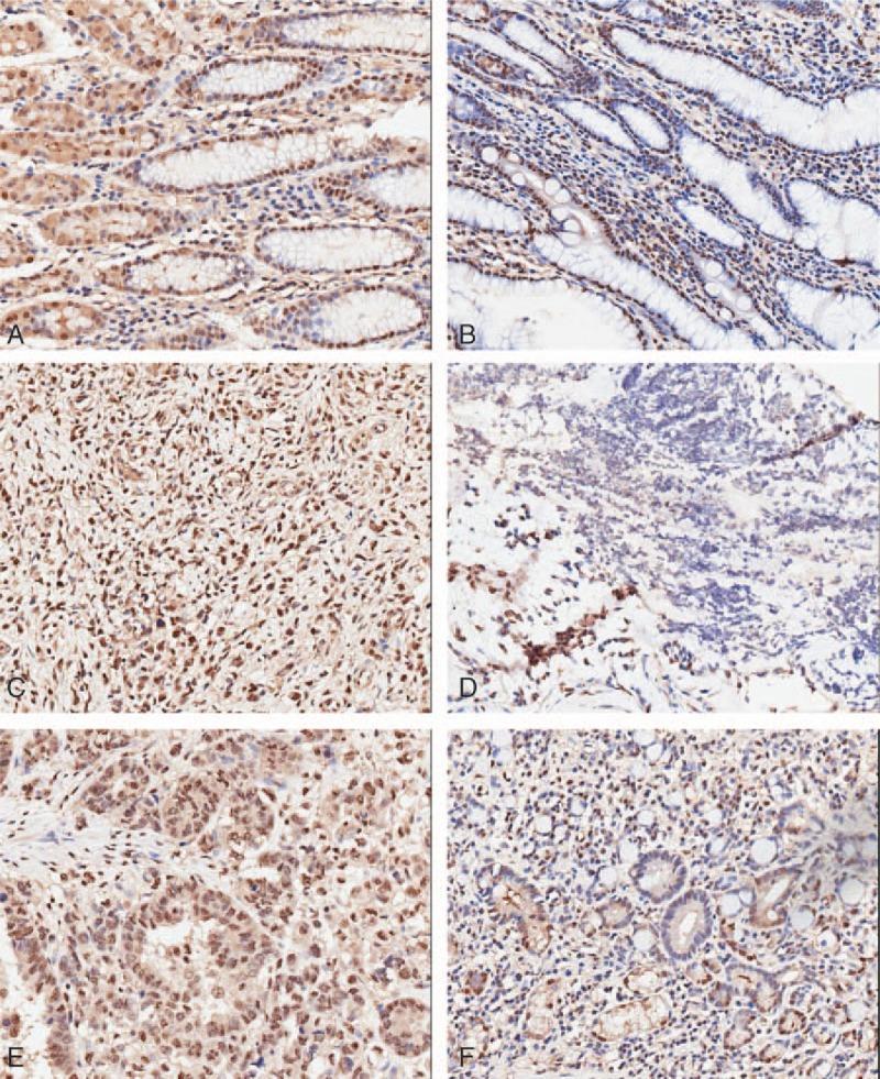
Triosephosphate isomerase (TPI) is highly expressed in many human cancers and is involved in migration and invasion of cancer cells. However, TPI clinicopathological significance and prognostic value in gastric cancer (GC) are not yet well defined. The aim of the present work was to evaluate TPI expression in GC tissue and its prognostic value in GC patients.TPI expression was analyzed in 92 primary GC tissues and 80 adjacent normal mucosa tissues from GC patients undergoing gastrectomy by immunohistochemical analysis of tissue microarrays (TMAs). Univariate and multivariate analyses were performed to investigate TPI prognostic significance in GC patients.Immunohistochemical staining score showed that TPI expression in cancer tissues was significantly higher than in adjacent normal mucosa (P < .001). Univariate analysis revealed that TPI expression, depth of invasion, lympho node metastasis, tumor node metastasis (TNM) stage, and tumor diameter were associated with negative prognostic predictors for overall survival in GC patients (P < .05). High TPI expression represented a significant predictor of shorter survival in GC patients with positive lymphatic metastasis (P = .022) and tumor diameter >5 cm (P = .018). Cox multivariate analysis identified TPI expression, TNM stage, and tumor diameter as independent prognostic factors in GC patients.TPI expression might be considered as a novel prognostic factor to evaluate GC patients' survival.

摘要

磷酸丙糖异构酶(TPI)在许多人类癌症中高表达,并参与癌细胞的迁移和侵袭。然而,TPI在胃癌(GC)中的临床病理意义和预后价值尚未明确界定。本研究的目的是评估TPI在GC组织中的表达及其在GC患者中的预后价值。通过组织芯片(TMA)的免疫组织化学分析,对92例接受胃切除术的GC患者的原发性GC组织和80例相邻正常黏膜组织中的TPI表达进行了分析。进行单因素和多因素分析以研究TPI在GC患者中的预后意义。免疫组织化学染色评分显示,癌组织中的TPI表达明显高于相邻正常黏膜(P<0.001)。单因素分析显示,TPI表达、浸润深度、淋巴结转移、肿瘤淋巴结转移(TNM)分期和肿瘤直径与GC患者总生存的不良预后因素相关(P<0.05)。高TPI表达是淋巴转移阳性(P=0.022)和肿瘤直径>5 cm(P=0.018)的GC患者生存较短的重要预测因素。Cox多因素分析确定TPI表达、TNM分期和肿瘤直径为GC患者的独立预后因素。TPI表达可被视为评估GC患者生存的一个新的预后因素。

https://cdn.ncbi.nlm.nih.gov/pmc/blobs/ff20/5428617/1a09f1d7f34d/medi-96-e6865-g002.jpg

文献检索

告别复杂PubMed语法,用中文像聊天一样搜索,搜遍4000万医学文献。AI智能推荐,让科研检索更轻松。

立即免费搜索

文件翻译

保留排版,准确专业,支持PDF/Word/PPT等文件格式,支持 12+语言互译。

免费翻译文档

深度研究

AI帮你快速写综述,25分钟生成高质量综述,智能提取关键信息,辅助科研写作。

立即免费体验