Suppr超能文献

雌激素受体阳性原发性乳腺鳞状细胞癌。

Estrogen receptor-positive primary squamous cell carcinoma of the breast.

作者信息

Pribish Abby M, Saglam Ozlen, Weinfurtner R Jared

机构信息

University of South Florida Morsani College of Medicine, Tampa, FL, USA.

Department of Anatomic Pathology, Moffitt Cancer Center, Tampa, FL, USA.

出版信息

Radiol Case Rep. 2017 Feb 4;12(2):211-214. doi: 10.1016/j.radcr.2017.01.008. eCollection 2017 Jun.

Abstract

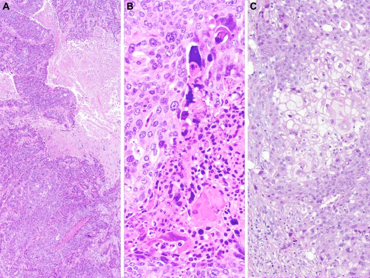
Pure primary squamous cell carcinoma of the breast (SCCB) represents around 0.1% of breast carcinomas. Diagnosis requires independence from adjacent skin without metastatic disease. SCCB is often large at presentation with nonspecific mammographic and ultrasound findings. It is typically hormone receptor negative and aggressive. Mastectomy and adjuvant chemotherapy is the most common treatment, although treatment guidelines are not well established. We present a case of pure primary SCCB detected by high risk screening mammogram and treated with breast conserving surgery, chemotherapy, and radiation. We discuss clinical, radiologic, and pathologic findings.

摘要

乳腺原发性纯鳞状细胞癌(SCCB)约占乳腺癌的0.1%。诊断需要排除邻近皮肤受累且无转移性疾病。SCCB通常在初诊时体积较大,乳房X线摄影和超声检查结果不具特异性。其通常为激素受体阴性且侵袭性强。乳房切除术和辅助化疗是最常见的治疗方法,不过治疗指南尚未完善。我们报告一例通过高危筛查乳房X线摄影发现的原发性纯SCCB病例,该病例接受了保乳手术、化疗和放疗。我们讨论了临床、放射学和病理学检查结果。

https://cdn.ncbi.nlm.nih.gov/pmc/blobs/1155/5417723/bed4b092f7f8/gr1.jpg

相似文献

1
Estrogen receptor-positive primary squamous cell carcinoma of the breast.
Radiol Case Rep. 2017 Feb 4;12(2):211-214. doi: 10.1016/j.radcr.2017.01.008. eCollection 2017 Jun.
3
Primary Squamous Cell Carcinoma of the Breast during Pregnancy: A Case Report.
Case Rep Med. 2011;2011:327029. doi: 10.1155/2011/327029. Epub 2011 Dec 21.
4
Squamous cell carcinoma of the breast.
Am J Case Rep. 2013 Jun 5;14:188-190. doi: 10.12659/AJCR.883934. Print 2013.
6
Are there changes in characteristics and therapy of young patients with early-onset breast cancer in Germany over the last decade?
Arch Gynecol Obstet. 2013 Aug;288(2):379-83. doi: 10.1007/s00404-013-2738-7. Epub 2013 Feb 14.
7
Primary squamous cell carcinoma of the breast: A rare case report.
Rep Pract Oncol Radiother. 2012 Aug 9;17(6):363-6. doi: 10.1016/j.rpor.2012.07.004. eCollection 2012.
8
Treatment of breast cancer.
Am Fam Physician. 2010 Jun 1;81(11):1339-46.
9
Treatment of breast cancer in countries with limited resources.
Breast J. 2003 May-Jun;9 Suppl 2:S67-74. doi: 10.1046/j.1524-4741.9.s2.6.x.
10
Current and Emerging Therapies for HER2-Positive Women With Metastatic Breast Cancer.
J Adv Pract Oncol. 2017 Mar;8(2):164-168. Epub 2017 Mar 1.

引用本文的文献

1
Breast Conservation Therapy for Primary Squamous Cell Carcinoma of the Breast in an Elderly Woman: A Case Report.
Cureus. 2024 May 1;16(5):e59447. doi: 10.7759/cureus.59447. eCollection 2024 May.
2
Primary squamous cell carcinoma of the breast: report of two cases with HER2 overexpression.
Cancer Biol Ther. 2020 Dec 1;21(12):1081-1086. doi: 10.1080/15384047.2020.1838033. Epub 2020 Nov 12.
3
A polymorphism in the lysyl oxidase propeptide domain accelerates carcinogen-induced cancer.
Carcinogenesis. 2018 Jul 3;39(7):921-930. doi: 10.1093/carcin/bgy045.

本文引用的文献

2
A case of rare primary cystic-type squamous cell carcinoma of the breast that could be preoperatively diagnosed.
Asian J Surg. 2017 May;40(3):243-247. doi: 10.1016/j.asjsur.2015.01.009. Epub 2015 Mar 13.
3
Primary squamous cell carcinoma of breast with ipsilateral axillary lymph node metastasis: An unusual case.
Int J Surg Case Rep. 2011;2(7):194-7. doi: 10.1016/j.ijscr.2011.06.006. Epub 2011 Jun 25.
5
Primary pure squamous cell carcinoma of the breast presenting as a breast abscess.
J Plast Reconstr Aesthet Surg. 2009 Jun;62(6):e178-9. doi: 10.1016/j.bjps.2008.09.018. Epub 2008 Dec 5.
6
BRCA1 germline mutation in a woman with metaplastic squamous cell breast cancer.
Onkologie. 2007 Jun;30(6):316-8. doi: 10.1159/000101515. Epub 2007 May 29.
7
Squamous cell carcinoma of the breast.
Eur J Obstet Gynecol Reprod Biol. 2008 Apr;137(2):222-6. doi: 10.1016/j.ejogrb.2007.03.021. Epub 2007 May 3.
9
A case of HER-2(+) squamous cell breast carcinoma: an unusual presentation of an unusual clinical entity.
Eur J Surg Oncol. 2006 Dec;32(10):1250-1. doi: 10.1016/j.ejso.2006.05.008. Epub 2006 Jun 21.

文献AI研究员

20分钟写一篇综述,助力文献阅读效率提升50倍。

立即体验

用中文搜PubMed

大模型驱动的PubMed中文搜索引擎

马上搜索

文档翻译

学术文献翻译模型,支持多种主流文档格式。

立即体验