Suppr超能文献

牙签性脑膜炎

Toothpick meningitis.

作者信息

Zhou Qiao, Singh Neera, Monteforte Bradley

机构信息

Eastern Virginia Medical School, 700 W Olney Rd, Norfolk, VA 23510, USA.

出版信息

Radiol Case Rep. 2017 Feb 15;12(2):265-268. doi: 10.1016/j.radcr.2016.10.011. eCollection 2017 Jun.

Abstract

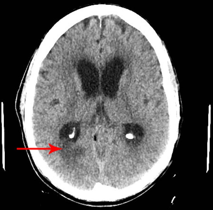
A 66-year-old male with a history of hypertension, back pain, diverticulosis and anal fistula presents with acute onset syncopal episodes, worsening back pain, and altered mental status. The patient exhibited considerable leukocytosis but was hemodynamically stable. CT imaging of the head revealed a gas pattern in the posterior fossa and velum interpositum. CT imaging of the abdomen and pelvis revealed a needle-like foreign body traversing the left sacrum to the sigmoid colon. A lumbar puncture revealed meningitis. Flexible sigmoidoscopies were performed without successful visualization of the foreign body. An explorative laparoscopy was successfully performed, enabling retrieval of what was determined to be a wooden toothpick. The patient remained hemodynamically stable with persistent altered mental status and was eventually discharged after completion of antibiotics on day 47 of hospitalization. This case illustrates a rare complication of ingesting a sharp foreign body that was identified by CT of the brain and abdomen/pelvis with successful surgical repair.

摘要

一名66岁男性,有高血压、背痛、憩室病和肛瘘病史,现出现急性发作的晕厥、背痛加重及精神状态改变。患者白细胞显著增多,但血流动力学稳定。头部CT成像显示后颅窝和中间帆有气体影。腹部和盆腔CT成像显示一个针状异物穿过左骶骨至乙状结肠。腰椎穿刺显示为脑膜炎。进行了乙状结肠镜检查,但未成功看到异物。成功进行了探索性腹腔镜检查,取出了一根木质牙签。患者血流动力学稳定,但精神状态持续改变,住院第47天完成抗生素治疗后最终出院。该病例说明了摄入尖锐异物的一种罕见并发症,通过脑部及腹部/盆腔CT得以确诊,并成功进行了手术修复。

https://cdn.ncbi.nlm.nih.gov/pmc/blobs/7bd4/5417632/b618bb1dd308/gr1.jpg

文献AI研究员

20分钟写一篇综述,助力文献阅读效率提升50倍。

立即体验

用中文搜PubMed

大模型驱动的PubMed中文搜索引擎

马上搜索

文档翻译

学术文献翻译模型,支持多种主流文档格式。

立即体验