Suppr超能文献

孤立性子宫粒细胞肉瘤的影像学表现。

Imaging findings of solitary uterine granulocytic sarcoma.

作者信息

Yamane Aya, Sekine Tetsuro, Machida Tadashi, Omori Ikuko, Onda Munehiko, Kumita Shin-Ichiro

机构信息

Department of Radiology, Nippon Medical School, Tokyo, Japan.

Department of Hematology, Nippon Medical School, Tokyo, Japan.

出版信息

Acta Radiol Open. 2017 Mar 28;6(3):2058460117701515. doi: 10.1177/2058460117701515. eCollection 2017 Mar.

Abstract

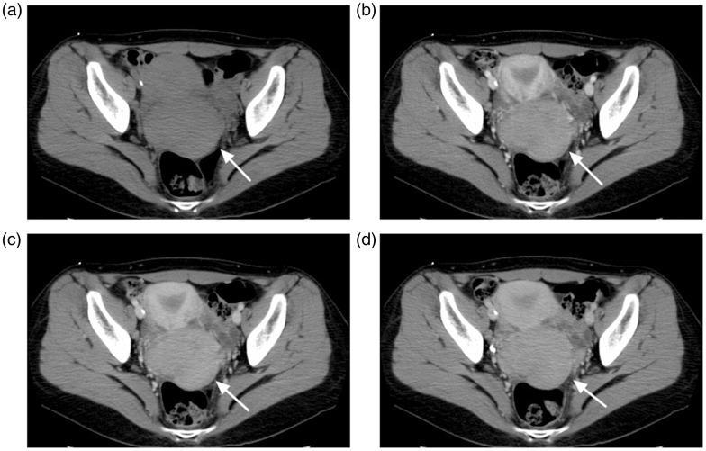
A 29-year old woman with a history of vaginal bleeding was referred to our hospital. Transvaginal ultrasonography revealed a hypervascular cervical mass and malignancy was suspected. Computed tomography (CT), magnetic resonance imaging, and 18-F-fluorodeoxyglucose positron emission tomography/CT were performed. She was finally diagnosed with granulocytic sarcoma based on pathological examination.

摘要

一名有阴道出血病史的29岁女性被转诊至我院。经阴道超声检查发现宫颈有一个血管丰富的肿块,怀疑为恶性肿瘤。进行了计算机断层扫描(CT)、磁共振成像和18-F-氟脱氧葡萄糖正电子发射断层扫描/CT检查。最终根据病理检查诊断为粒细胞肉瘤。

https://cdn.ncbi.nlm.nih.gov/pmc/blobs/2a7d/5405894/235622e0e3ef/10.1177_2058460117701515-fig1.jpg

文献AI研究员

20分钟写一篇综述,助力文献阅读效率提升50倍。

立即体验

用中文搜PubMed

大模型驱动的PubMed中文搜索引擎

马上搜索

文档翻译

学术文献翻译模型,支持多种主流文档格式。

立即体验