Suppr超能文献

小脑毛细胞型星形细胞瘤的自发性恶性转化:病例报告

Spontaneous Malignant Transformation of a Pilocytic Astrocytoma of Cerebellum: Case Report.

作者信息

Coelho Joana, Nunes Sofia, Salgado Duarte

机构信息

Department of Pediatric, Hospital de Santa Maria, Lisbon, Portugal.

Department of Pediatric Neurology, Portuguese Oncology Institute of Lisbon, Portugal.

出版信息

Child Neurol Open. 2015 Jan 30;2(1):2329048X14566813. doi: 10.1177/2329048X14566813. eCollection 2015 Jan-Mar.

Abstract

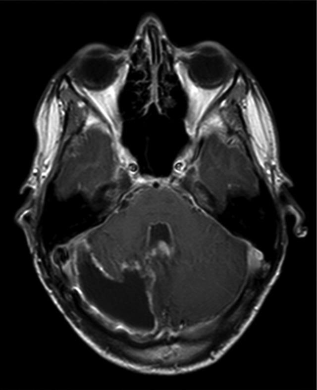
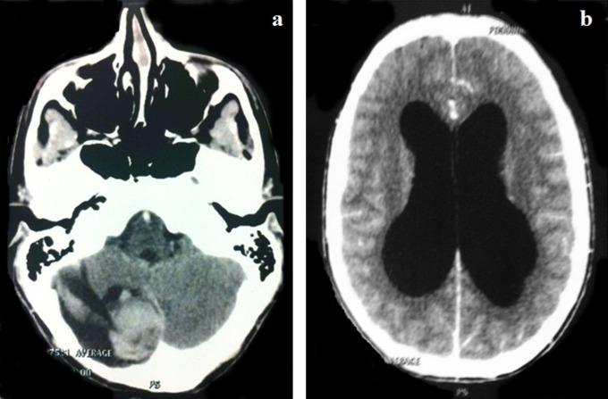
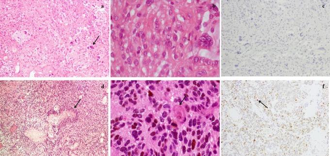
Pilocytic astrocytoma is a slowly growing neoplasia that represents the most frequent cerebral tumor in pediatric age. Malignant transformation is rare and it is usually related to previous radiotherapy. The authors describe a case of a spontaneous malignant transformation of a pilocytic astrocytoma. A 3-year-old boy was diagnosed with a cerebellar hemisphere tumor. He was submitted to a complete excision of the lesion, and histological findings were consistent with pilocytic astrocytoma. It was negative for p53. Twelve years later he presented with a local recurrence. Histopathological diagnosis was glioblastoma and it was positive for p53. Death from disease progression occurred 16 months after the diagnosis of glioblastoma. This case suggests that patients with pilocytic astrocytoma need closer follow-up and further genotypic studies in order to provide clues to clinical behavior. Such understanding can allow us to stratify treatment accordingly and to proceed to more aggressive treatment when necessary.

摘要

毛细胞型星形细胞瘤是一种生长缓慢的肿瘤,是儿童期最常见的脑肿瘤。恶性转化罕见,通常与先前的放疗有关。作者描述了一例毛细胞型星形细胞瘤自发恶性转化的病例。一名3岁男孩被诊断为小脑半球肿瘤。他接受了病变的完全切除,组织学检查结果符合毛细胞型星形细胞瘤。p53检测为阴性。12年后,他出现局部复发。组织病理学诊断为胶质母细胞瘤,p53检测为阳性。胶质母细胞瘤诊断16个月后,患者因疾病进展死亡。该病例表明,毛细胞型星形细胞瘤患者需要更密切的随访和进一步的基因分型研究,以便为临床行为提供线索。这样的了解可以使我们据此对治疗进行分层,并在必要时采取更积极的治疗措施。

https://cdn.ncbi.nlm.nih.gov/pmc/blobs/493d/5417029/dd1a45158ac2/10.1177_2329048X14566813-fig1.jpg

文献检索

告别复杂PubMed语法,用中文像聊天一样搜索,搜遍4000万医学文献。AI智能推荐,让科研检索更轻松。

立即免费搜索

文件翻译

保留排版,准确专业,支持PDF/Word/PPT等文件格式,支持 12+语言互译。

免费翻译文档

深度研究

AI帮你快速写综述,25分钟生成高质量综述,智能提取关键信息,辅助科研写作。

立即免费体验