Suppr超能文献

髓内延长钉治疗动脉瘤样骨囊肿的愈合反应

Aneurysmal bone cyst healing response with intramedullary lengthening nail.

作者信息

Acan Ahmet Emrah, Basci Onur, Havitcioglu Hasan

机构信息

Muğla Sıtkı Koçman University Training and Research Hospital, Dept. Orthopaedics and Traumatology, Mugla, Turkey.

Dokuz Eylul University Faculty of Medicine, Dept. Orthopaedics and Traumatology, Izmir, Turkey.

出版信息

Acta Orthop Traumatol Turc. 2018 May;52(3):232-235. doi: 10.1016/j.aott.2017.04.005. Epub 2017 May 18.

Abstract

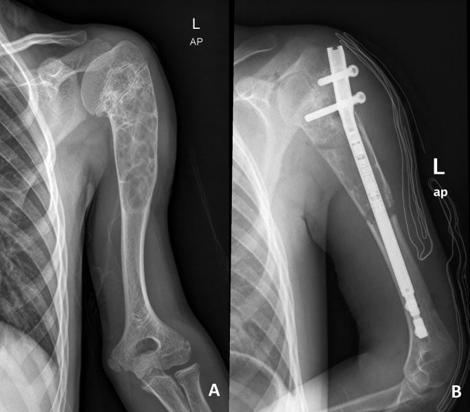
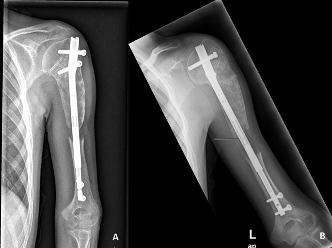
We report the treatment process of a pediatric patient with deformity and shortening in the arm after a recurrent aggressive aneurysmal bone cyst (ABC) in the proximal humerus. The patient was treated with curettage of the lesion and lengthening on an intramedullary nail following an osteotomy just distal to the ABC. The period of lengthening was approximately 50 days. At the end of the treatment the lengthening goal was achieved without any neurovascular complication. There was a minimal loss in shoulder hyperabduction due to the deformity of the humeral head.

摘要

我们报告了一名肱骨近端复发性侵袭性骨囊肿(ABC)后出现手臂畸形和缩短的儿科患者的治疗过程。患者接受了病变刮除术,并在ABC远端进行截骨后,使用髓内钉延长。延长时间约为50天。治疗结束时,达到了延长目标,且未出现任何神经血管并发症。由于肱骨头畸形,肩关节外展功能仅有轻微丧失。

https://cdn.ncbi.nlm.nih.gov/pmc/blobs/a357/6136321/729c053c21dc/gr1.jpg

文献检索

告别复杂PubMed语法,用中文像聊天一样搜索,搜遍4000万医学文献。AI智能推荐,让科研检索更轻松。

立即免费搜索

文件翻译

保留排版,准确专业,支持PDF/Word/PPT等文件格式,支持 12+语言互译。

免费翻译文档

深度研究

AI帮你快速写综述,25分钟生成高质量综述,智能提取关键信息,辅助科研写作。

立即免费体验