Suppr超能文献

手术刀去色素与手术性牙冠延长术改善前牙牙龈美学效果

Scalpel Depigmentation and Surgical Crown Lengthening to Improve Anterior Gingival Esthetics.

作者信息

Chethana K C, Pradeep K

机构信息

Department of Periodontics, Sharavathi Dental College, Shivamogga, Karnataka, India.

Department of Conservative Dentistry and Endodontics, Manipal College of Dental Sciences, Manipal, Karnataka, India.

出版信息

Ann Med Health Sci Res. 2016 Nov-Dec;6(6):385-388. doi: 10.4103/amhsr.amhsr_442_12.

Abstract

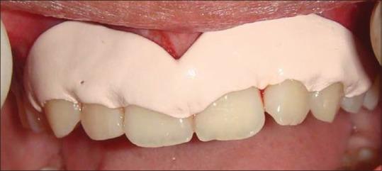
A smile is a mesmerizing expression of joy, success, courtesy and reveals self-confidence. The harmony of the smile is determined not only by the shape, position and the color of teeth, but also by the gingival architecture. Gingival tissues form an important part of what we can consider to be a pleasing smile. The elegance of this pleasant smile could be, affected by highly pigmented gingiva. This gingival pigmentation occurs as a result of melanin granules, which are produced by melanoblast. Although melanin pigmentation does not present a medical problem, demand for cosmetic therapy is commonly sort by people with moderately pigmented gingiva. This case report highlights, a case of excessive gingival display and hyperpigmentation treated with anterior crown lengthening and gingival depigmentation using the scalpel technique.

摘要

微笑是一种迷人的表情,代表着喜悦、成功、礼貌并展现出自信。微笑的协调性不仅取决于牙齿的形状、位置和颜色,还取决于牙龈结构。牙龈组织是构成令人愉悦微笑的重要部分。这种愉悦微笑的优雅可能会受到牙龈色素沉着过度的影响。这种牙龈色素沉着是由成黑素细胞产生的黑色素颗粒所致。尽管黑色素沉着不存在医学问题,但牙龈色素沉着程度中等的人通常会寻求美容治疗。本病例报告重点介绍了一例通过使用手术刀技术进行前牙冠延长术和牙龈脱色术治疗牙龈过度外露和色素沉着的病例。

https://cdn.ncbi.nlm.nih.gov/pmc/blobs/877c/5423340/4aaec641cec7/AMHSR-6-385-g002.jpg

文献检索

告别复杂PubMed语法,用中文像聊天一样搜索,搜遍4000万医学文献。AI智能推荐,让科研检索更轻松。

立即免费搜索

文件翻译

保留排版,准确专业,支持PDF/Word/PPT等文件格式,支持 12+语言互译。

免费翻译文档

深度研究

AI帮你快速写综述,25分钟生成高质量综述,智能提取关键信息,辅助科研写作。

立即免费体验