Suppr超能文献

感染性主动脉移植物传播的脊柱炎:综述

Spondylitis transmitted from infected aortic grafts: a review.

作者信息

Megaloikonomos Panayiotis D, Antoniadou Thekla, Dimopoulos Leonidas, Liontos Marcos, Igoumenou Vasilios, Panagopoulos Georgios N, Giannitsioti Efthymia, Lazaris Andreas, Mavrogenis Andreas F

机构信息

First Department of Orthopaedics, National and Kapodistrian University of Athens, School of Medicine, ATTIKON University Hospital, Athens, Greece.

Fourth Department of Internal Medicine, National and Kapodistrian University of Athens, School of Medicine, ATTIKON University Hospital, Athens, Greece.

出版信息

J Bone Jt Infect. 2017 Jan 19;2(2):96-103. doi: 10.7150/jbji.17703. eCollection 2017.

Abstract

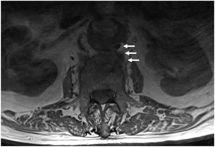
Graft infection following aortic aneurysms repair is an uncommon but devastating complication; its incidence ranges from <1% to 6% (mean 4%), with an associated perioperative and overall mortality of 12% and 17.5-20%, respectively. The most common causative organisms are and ; causative bacteria typically arise from the skin or gastrointestinal tract. The pathogenetic mechanisms of aortic graft infections are mainly breaks in sterile technique during its implantation, superinfection during bacteremia from a variety of sources, severe intraperitoneal or retroperitoneal inflammation, inoculation of bacteria during postoperative percutaneous interventions to manage various types of endoleaks, and external injury of the vascular graft. Mechanical forces in direct relation to the device were implicated in fistula formation in 35% of cases of graft infection. Partial rupture and graft migration leading to gradual erosion of the bowel wall and aortoenteric fistulas have been reported in 30.8% of cases. Rarely, infection via continuous tissues may affect the spine, resulting in spondylitis. Even though graft explantation and surgical debridement is usually the preferred course of action, comorbidities and increased perioperative risk may preclude patients from surgery and endorse a conservative approach as the treatment of choice. In contrast, conservative treatment is the treatment of choice for spondylitis; surgery may be indicated in approximately 8.5% of patients with neural compression or excessive spinal infection. To enhance the literature, we searched the related literature for published studies on continuous spondylitis from infected endovascular grafts aiming to summarize the pathogenesis and diagnosis, and to discuss the treatment and outcome of the patients with these rare and complex infections.

摘要

主动脉瘤修复术后的移植物感染是一种罕见但极具破坏性的并发症;其发生率在<1%至6%之间(平均4%),围手术期死亡率和总体死亡率分别为12%和17.5 - 20%。最常见的致病微生物是[具体微生物1]和[具体微生物2];致病细菌通常源自皮肤或胃肠道。主动脉移植物感染的发病机制主要包括植入过程中无菌技术的失误、各种来源菌血症期间的二重感染、严重的腹膜内或腹膜后炎症、术后经皮干预处理各种类型内漏时细菌的接种以及血管移植物的外部损伤。在35%的移植物感染病例中,与装置直接相关的机械力与瘘管形成有关。据报道,30.8%的病例出现部分破裂和移植物迁移,导致肠壁逐渐侵蚀和主动脉肠瘘。极少情况下,通过连续组织的感染可能影响脊柱,导致脊柱炎。尽管移植物取出和手术清创通常是首选的治疗方法,但合并症和围手术期风险增加可能使患者无法接受手术,从而支持采用保守方法作为治疗选择。相比之下,保守治疗是脊柱炎的首选治疗方法;对于约8.5%有神经受压或脊柱感染过度的患者,可能需要进行手术。为了丰富相关文献,我们检索了相关文献,查找关于感染性血管内移植物所致连续性脊柱炎的已发表研究,旨在总结其发病机制和诊断方法,并讨论这些罕见且复杂感染患者的治疗及预后情况。

https://cdn.ncbi.nlm.nih.gov/pmc/blobs/53f9/5441139/39c64ecd2216/jbjiv02p0096g001.jpg

文献检索

告别复杂PubMed语法,用中文像聊天一样搜索,搜遍4000万医学文献。AI智能推荐,让科研检索更轻松。

立即免费搜索

文件翻译

保留排版,准确专业,支持PDF/Word/PPT等文件格式,支持 12+语言互译。

免费翻译文档

深度研究

AI帮你快速写综述,25分钟生成高质量综述,智能提取关键信息,辅助科研写作。

立即免费体验