Sumrein Hamzeh B, Parry Sally D, Ayer Ravi V, Leonard Andrew P
Department of Radiology, Poole Hospital NHS Foundation Trust, Poole, UK.
Department of Gastroenterology, Poole Hospital NHS Foundation Trust, Poole, UK.
BJR Case Rep. 2018 Feb 9;4(2):20170101. doi: 10.1259/bjrcr.20170101. eCollection 2018.
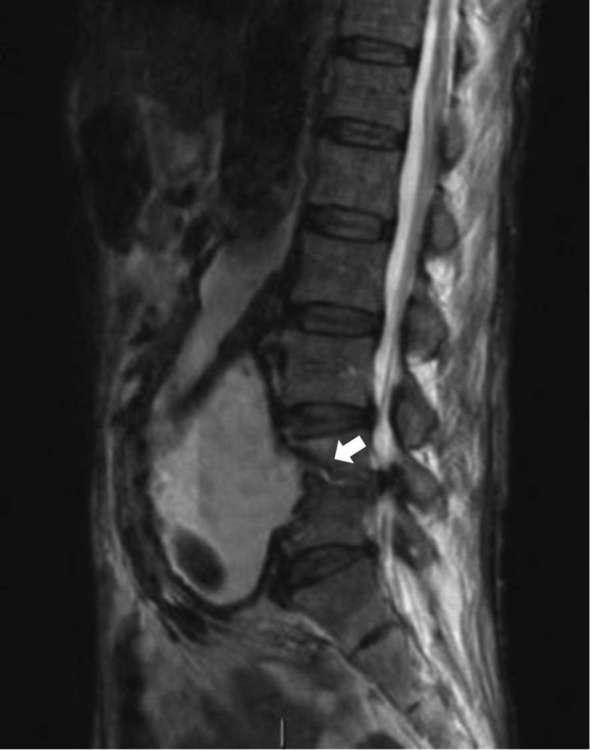
We present the case of a 68-year-old male, who underwent open abdominal aortic graft in August 2016 owing to a ruptured large infrarenal abdominal aneurysm. He subsequently presented 6 months later with back pain, general weakness, reduced mobility and cachexia. He underwent CT, MRI and fluorodeoxyglucose (PDG)-PET spinal imaging, all modalities showing signs of aortic graft infection complicated by L4/5 discitis. The patient was treated conservatively with intravenous antibiotics and spinal brace support, as his general condition did not allow for surgery. Although he showed initial clinical improvement allowing plans for supported discharge, his improvement was not sustained and he died 4 months after admission.