Suppr超能文献

白三烯B4与孟鲁司特在大鼠移植相关性闭塞性细支气管炎中的作用

LTB4 and montelukast in transplantation-related bronchiolitis obliterans in rats.

作者信息

Tu Zheng-Liang, Zhou Zhen-Yu, Xu Hai-Chao, Cao Jin-Lin, Ye Peng, Wang Lu-Ming, Lv Wang, Hu Jian

机构信息

Department of Thoracic Surgery, the First Affiliated Hospital, College of Medicine, Zhejiang University, NO. 79 Qingchun Road, Hangzhou, 310003, China.

出版信息

J Cardiothorac Surg. 2017 May 25;12(1):43. doi: 10.1186/s13019-017-0605-5.

Abstract

BACKGROUND

Lung transplantation is the only effective treatment for end-stage lung diseases. Bronchiolitis obliterans, which is known as non-infectious chronic lung allograft dysfunction (CLAD) in the new classification, is the greatest threat to long-term survival after lung transplantation. This study investigated the role of leukotriene B4 (LTB4) and montelukast in transplantation-related bronchiolitis obliterans and discussed the pathophysiological significance of LTB4 in chronic rejection.

METHODS

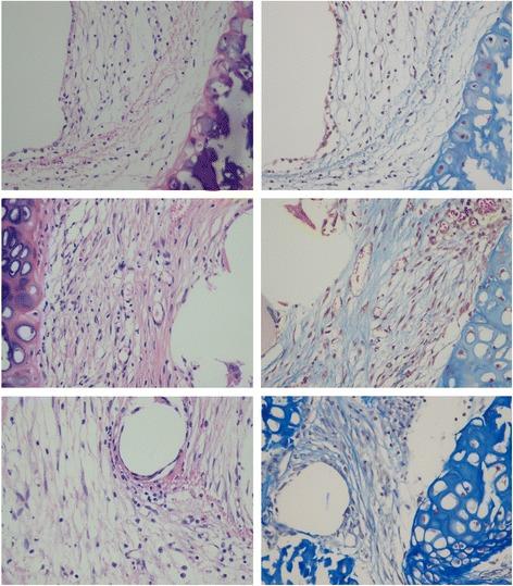
Rats were randomly divided into an experimental group (montelukast), a positive control group (dexamethasone), and a blank control group (normal saline solution; NS). Each piece of trachea removed from a F344 rat was transplanted into a Lewis rat through a 5-mm incision at the episternum by subcutaneous embedding. The recipients were treated with gastric lavage with 3 mg/kg · d montelukast suspension, 1 mg/kg · d dexamethasone, and 1 mL/kg · d NS, respectively, in each group. On Day 28, peripheral blood was drawn to measure the white blood cell counts and plasma LTB4 levels. The donor specimens were stained by H-E and Masson, and their organizational structure and extent of fibrosis were visually assessed. The measurement data were compared using one-way analysis of variance, and the categorical data were compared using the chi-square test. A P value of less than 0.05 was considered to indicate statistical significance.

RESULTS

The white blood cell counts of the montelukast, dexamethasone, and NS groups were (16.0 ± 4.2) × 10/L, (19.5 ± 11.6) × 10/L, and (25.8 ± 3.6) × 10/L; no statistical significance was found (P = 0.101). The concentrations of LTB4 were 2230 ± 592 pg/mL, 1961 ± 922 pg/mL, and 3764 ± 1169 pg/mL, and statistical significance was found between the NS group and each of the others (P = 0.009). The percentages of tracheal occlusion were 73.6% ± 13.8%, 23.4% ± 3.2%, and 89.9% ± 11.3%, and statistical significance was found among the three groups (P = 0.000).

CONCLUSIONS

The study established a model to simulate bronchiolitis obliterans after clinical lung transplantation. Oral administration of montelukast reduced plasma LTB4 levels in rats and played a preventive role against tracheal fibrosis after transplantation. This suggests that LTB4 may be involved in bronchiolitis obliterans after pulmonary transplantation. This study indicates a new direction for research into the prevention and treatment of bronchiolitis obliterans after lung transplantation.

摘要

背景

肺移植是终末期肺部疾病的唯一有效治疗方法。闭塞性细支气管炎在新分类中被称为非感染性慢性肺移植功能障碍(CLAD),是肺移植后长期生存的最大威胁。本研究探讨白三烯B4(LTB4)和孟鲁司特在移植相关闭塞性细支气管炎中的作用,并讨论LTB4在慢性排斥反应中的病理生理意义。

方法

将大鼠随机分为实验组(孟鲁司特)、阳性对照组(地塞米松)和空白对照组(生理盐水;NS)。从F344大鼠取出的每段气管通过胸骨上5mm切口皮下植入移植到Lewis大鼠体内。每组受体分别用3mg/kg·d孟鲁司特混悬液、1mg/kg·d地塞米松和1mL/kg·d NS进行灌胃处理。在第28天,采集外周血测量白细胞计数和血浆LTB4水平。对供体标本进行苏木精-伊红(H-E)和马松(Masson)染色,直观评估其组织结构和纤维化程度。计量资料采用单因素方差分析进行比较,计数资料采用卡方检验进行比较。P值小于0.05被认为具有统计学意义。

结果

孟鲁司特组、地塞米松组和NS组的白细胞计数分别为(16.0±4.2)×10/L、(19.5±11.6)×10/L和(25.8±3.6)×10/L;未发现统计学意义(P = 0.101)。LTB4浓度分别为2230±592 pg/mL、1961±922 pg/mL和3764±1169 pg/mL,NS组与其他两组之间存在统计学意义(P = 0.009)。气管闭塞百分比分别为73.6%±13.8%、23.4%±3.2%和89.9%±11.3%,三组之间存在统计学意义(P = 0.000)。

结论

本研究建立了模拟临床肺移植后闭塞性细支气管炎的模型。口服孟鲁司特可降低大鼠血浆LTB4水平,并对移植后气管纤维化起到预防作用。这表明LTB4可能参与肺移植后闭塞性细支气管炎的发生。本研究为肺移植后闭塞性细支气管炎的防治研究指明了新方向。

https://cdn.ncbi.nlm.nih.gov/pmc/blobs/4a9e/5445521/53f5dcefd494/13019_2017_605_Fig1_HTML.jpg

文献AI研究员

20分钟写一篇综述,助力文献阅读效率提升50倍。

立即体验

用中文搜PubMed

大模型驱动的PubMed中文搜索引擎

马上搜索

文档翻译

学术文献翻译模型,支持多种主流文档格式。

立即体验