Suppr超能文献

内质网形成囊泡所需的COPII复合体Sec23A蛋白上半胱氨酸泛素化位点的鉴定。

Identification of Cysteine Ubiquitylation Sites on the Sec23A Protein of the COPII Complex Required for Vesicle Formation from the ER.

作者信息

Amodio Giuseppina, Margarucci Luigi, Moltedo Ornella, Casapullo Agostino, Remondelli Paolo

机构信息

Dipartimento di Medicina, Chirurgia e Odontoiatria "Scuola Medica Salernitana", Università degli Studi di Salerno, 84084 Baronissi-Salerno, Italy.

Dipartimento di Farmacia, Università degli Studi di Salerno, 84034 Fisciano-Salerno, Italy.

出版信息

Open Biochem J. 2017 Apr 28;11:36-46. doi: 10.2174/1874091X01711010036. eCollection 2017.

Abstract

BACKGROUND

COPII is a multiprotein complex that surrounds carrier vesicles budding from the Endoplasmic Reticulum and allows the recruitment of secretory proteins. The Sec23a protein plays a crucial role in the regulation of the dynamics of COPII formation ensuring the proper function of the secretory pathway.

OBJECTIVE

Since few evidences suggest that ubiquitylation could have a role in the COPII regulation, the present study was aimed to establish whether the Sec23a component of the vesicular envelope COPII could be ubiquitylated.

METHOD

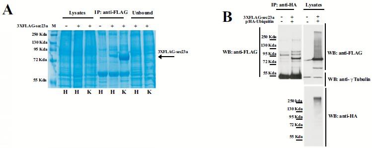
Sec23a ubiquitylation was revealed by co-immunoprecipitation experiments. Recombinant Sec23a was gel-purified and analyzed by mass spectrometry subjected to trypsin proteolysis. Signature peptides were identified by the presence of Gly-Gly remnants from the C-terminus of the ubiquitin attached to the amino acid residues of the substrate. Recombinant Sec23a proteins bearing mutations in the ubiquitylation sites were used to evaluate the effect of ubiquitylation in the formation of COPII.

RESULTS

We identified two cysteine ubiquitylation sites showed at position 432 and 449 of the Sec23a protein sequence. Interestingly, we revealed that the amino acid residues of Sec23a joined to ubiquitin were cysteine instead of the conventional lysine residues. This unconventional ubiquitylation consists of the addition of one single ubiquitin moiety that is not required for Sec23a degradation. Immunofluorescence results showed that Sec23a ubiquitylation might influence COPII formation by modulating Sec23a interaction with the ER membrane. Presumably, this regulation could occur throughout continual ubiquitylation/de-ubiquityliation cycles.

CONCLUSION

Our results suggest a novel regulatory mechanism for the Sec23a function that could be crucial in several pathophysiological events known to alter COPII recycling.

摘要

背景

COPII是一种多蛋白复合物,它围绕着从内质网出芽的运输小泡,并允许分泌蛋白的募集。Sec23a蛋白在调节COPII形成的动力学过程中起着关键作用,确保分泌途径的正常功能。

目的

由于很少有证据表明泛素化可能在COPII调节中起作用,本研究旨在确定COPII囊泡包膜的Sec23a成分是否可以被泛素化。

方法

通过免疫共沉淀实验揭示Sec23a的泛素化。重组Sec23a经凝胶纯化,并通过胰蛋白酶蛋白水解后的质谱分析。通过存在于与底物氨基酸残基相连的泛素C末端的甘氨酸-甘氨酸残基来鉴定特征肽。使用在泛素化位点带有突变的重组Sec23a蛋白来评估泛素化对COPII形成的影响。

结果

我们在Sec23a蛋白序列的第432和449位鉴定出两个半胱氨酸泛素化位点。有趣的是,我们发现与泛素结合的Sec23a的氨基酸残基是半胱氨酸,而不是传统的赖氨酸残基。这种非常规的泛素化包括添加一个单一的泛素部分,这对于Sec23a的降解不是必需的。免疫荧光结果表明,Sec23a的泛素化可能通过调节Sec23a与内质网的相互作用来影响COPII的形成。据推测,这种调节可能通过连续的泛素化/去泛素化循环发生。

结论

我们的结果提示了一种Sec23a功能的新型调节机制,这在已知改变COPII循环的几种病理生理事件中可能至关重要。

https://cdn.ncbi.nlm.nih.gov/pmc/blobs/8dc1/5427705/e8b3991caf1b/TOBIOCJ-11-36_F1.jpg

文献AI研究员

20分钟写一篇综述,助力文献阅读效率提升50倍。

立即体验

用中文搜PubMed

大模型驱动的PubMed中文搜索引擎

马上搜索

文档翻译

学术文献翻译模型,支持多种主流文档格式。

立即体验