Suppr超能文献

伴有部分钙化性心包炎的心外膜冠状动脉外部受压

External Compression of Epicardial Coronary Arteries with Partial Calcific Pericarditis.

作者信息

Khan Zubair Ahmed, Sardar Muhammad Rizwan, Topalian Simon K

机构信息

Department of Cardiovascular Diseases, Cooper University Hospital, Camden, NJ, USA.

Department of Cardiovascular Diseases, Alpert School of Medicine, Brown University, RI, USA.

出版信息

Heart Views. 2017 Jan-Mar;18(1):26-29. doi: 10.4103/1995-705X.206207.

Abstract

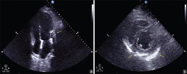
Calcific pericarditis (CP) is a rare disease which results from long-standing pericardial inflammation. Pericardial calcification may completely or partially encase the ventricles, resulting in impaired diastolic filling. We present a case of a 53-year-old male who was incidentally found to have annular CP resulting in external compression of a large territory diagonal branch (D1) reaching the apex with likely chronically occluded left anterior descending artery with collateral circulation from the right coronary artery with hemodynamic compromise on coronary angiography. This was emergently treated with a drug-eluting stent with improved D1 flow and entailed the importance of percutaneous coronary intervention as a viable option in cases of CP resulting in acute hemodynamic compromise.

摘要

钙化性心包炎(CP)是一种由长期心包炎症引起的罕见疾病。心包钙化可能完全或部分包裹心室,导致舒张期充盈受损。我们报告一例53岁男性病例,该患者偶然发现患有环形CP,导致一支到达心尖的大面积对角支(D1)受到外部压迫,左前降支可能长期闭塞,由右冠状动脉提供侧支循环,冠状动脉造影显示有血流动力学障碍。该患者紧急接受了药物洗脱支架治疗,D1血流得到改善,这表明在CP导致急性血流动力学障碍的病例中,经皮冠状动脉介入治疗是一种可行的选择。

https://cdn.ncbi.nlm.nih.gov/pmc/blobs/d97e/5448248/060ac12402c6/HV-18-26-g001.jpg

文献AI研究员

20分钟写一篇综述,助力文献阅读效率提升50倍。

立即体验

用中文搜PubMed

大模型驱动的PubMed中文搜索引擎

马上搜索

文档翻译

学术文献翻译模型,支持多种主流文档格式。

立即体验