Mitropoulou Georgia, Zizi-Sermpetzoglou Adamantia, Moschouris Hippokrates, Kountourogiannis Athanasios, Myoteri Despoina, Dellaportas Dionysios
Pathology Department, "Agia Sofia" Children's Hospital, Athens, Greece.
Pathology Department, "Tzaneion" General Hospital, Piraeus, Greece.
Case Rep Oncol Med. 2017;2017:5901503. doi: 10.1155/2017/5901503. Epub 2017 May 11.
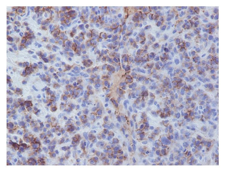
Plasmacytoma is an uncommon plasma cell neoplasm and its localized form is solitary plasmacytoma of the bone and solitary extramedullary plasmacytoma. Solitary plasmacytoma of the mesentery is extremely rare, reported only in a handful of cases.
A 47-year-old man with nonspecific abdominal complains was found to have an ill-defined mass on his mesenteric root. Laparoscopic biopsy and stepwise histopathological examination revealed a mesenteric plasmacytoma, and extensive imaging and laboratory investigations led to the diagnosis of the solitary mesenteric plasmacytoma. The patient underwent definitive radiotherapy and remains under remission one year later.
Plasma cell dyscrasias include a variant of proliferative disease, characterized by clonal expansion of bone marrow plasma cells, producing a massive quantity of monoclonal immunoglobulin called paraprotein or M-protein. Solitary extramedullary plasmacytoma accounts for only 3-5% of all plasma cell neoplasms. Meticulous adherence to the established diagnostic criteria helps the clinician to set the correct, yet very unusual and unexpected diagnosis.
浆细胞瘤是一种罕见的浆细胞肿瘤,其局限性形式为骨孤立性浆细胞瘤和孤立性髓外浆细胞瘤。肠系膜孤立性浆细胞瘤极为罕见,仅在少数病例中有报道。
一名47岁有非特异性腹部不适主诉的男性被发现肠系膜根部有一个边界不清的肿块。腹腔镜活检及逐步组织病理学检查显示为肠系膜浆细胞瘤,广泛的影像学和实验室检查确诊为孤立性肠系膜浆细胞瘤。该患者接受了根治性放疗,一年后仍处于缓解期。
浆细胞异常增生包括一系列增殖性疾病,其特征为骨髓浆细胞的克隆性扩增,产生大量称为副蛋白或M蛋白的单克隆免疫球蛋白。孤立性髓外浆细胞瘤仅占所有浆细胞肿瘤的3% - 5%。严格遵循既定的诊断标准有助于临床医生做出正确但非常罕见且出乎意料的诊断。